Press — 2026-03-06

/var/www/iraniandaily.com/articles/2026/03/06

Found 557 article(s).

thumbnail

Eric Trump Says JPMorgan, Wells Fargo And Bank of America Trying To Block Americans From Getting Higher Yields On Savings By Sabotaging Clarity Act

Source: yahoo — Published: 2026-03-07T20:51:33.000Z — Original
Benzinga and Yahoo Finance LLC may earn commission or revenue on some items through the links below. Eric Trump, co-founder of the World Liberty Financial platform, stepped up his attack on U.S. banking giants on Wednesday, accusing them of “desperately targeting” the cryptocurrency industry. Trump …
thumbnail

Anthropic just mapped out which jobs AI could potentially replace. A ‘Great Recession for white-collar workers’ is absolutely possible

Source: yahoo — Published: 2026-03-07T20:47:51.000Z — Original
The invention of electricity made menial jobs like the lamplighter, the elevator operator, and the knocker-up, the human equivalent to the modern alarm clock, irrelevant. The computer rendered the data entry clerk, the switchboard operator, and file clerks obsolete. Anthropic, the artificial intelli…
thumbnail

US oil prices notch biggest weekly surge since at least 1985 as Iran war disrupts Strait of Hormuz

Source: yahoo — Published: 2026-03-07T00:06:31.000Z — Original
US oil prices notched their biggest weekly gain since at least 1985 on Friday as the conflict headed toward the one-week mark and the critical Strait of Hormuz remained essentially closed off to through-traffic. US benchmark West Texas Intermediate crude (CL=F) gained over 38% since the close of tra…
thumbnail

Costco takes big step to fix one of members’ biggest complaints

Source: yahoo — Published: 2026-03-06T23:54:00.000Z — Original
As a 20-year Costco member, there are clearly many things I love about the store. If I didn't, I wouldn't keep paying a membership fee year after year. Some of my favorite Costco membership perks are the bulk savings, the cheap food court eats, and the option to bring back virtually any item for a f…
thumbnail

Cuba closes Quito embassy after Ecuador’s Daniel Noboa expels its diplomats

Published: 2026-03-06T23:51:31Z — Original
Noboa’s government gave Cuba’s diplomats 48 hours to leave Ecuador, though it did not provide an explanation for the expulsion. Share Save Cuba has shuttered its embassy in the Ecuadorian capital of Quito, after it was given 48 hours to withdraw its diplomatic personnel. In a communique published on…
thumbnail

Why Turning Point Brands Stock Collapsed This Week

Source: yahoo — Published: 2026-03-06T23:51:20.000Z — Original
Shares of Turning Point Brands (NYSE: TPB) sank 33% this week, according to data from S&P Global Market Intelligence. A fast-growing player in the nicotine pouch space, Turning Point Brands missed on its earnings expectation in Q4 and is projecting weak guidance for 2026, according to Wall Street. T…
thumbnail

Why Marvell Stock Soared Today

Source: yahoo — Published: 2026-03-06T23:44:16.000Z — Original
Shares of Marvell Technology (NASDAQ: MRVL) popped on Friday after the semiconductor maker reported robust earnings growth and issued an upbeat forecast for the year ahead. By the close of trading, Marvell's stock price was up more than 18%. Will AI create the world's first trillionaire? Our team ju…
thumbnail

Drone evades defences, ignites fire at southern Iraq oil facility

Published: 2026-03-06T23:43:53+00:00 — Original
Drone evades defences, ignites fire at southern Iraq oil facility A drone evaded defences for a second time in one day and ignited a massive fire at an oil facility for foreign companies in southern Iraq’s Basra province. Offices and warehouses for Halliburton and KBR are reportedly affected. Share …
thumbnail

New Yorkers can now pay mortgage with Bitcoin

Source: yahoo — Published: 2026-03-06T23:39:31.000Z — Original
Bitcoin (BTC) has come a long way from being used to buy coffee or a burger.  Now, it is slowly making its way into much bigger parts of everyday life, including mortgage payments. A major regulatory approval in New York is helping push that shift forward. Strike, a Bitcoin-based payments platform, …
thumbnail

Booking CFO Touts 9/9/15 2026 Outlook, Expands Agentic AI Push at Morgan Stanley TMT

Source: yahoo — Published: 2026-03-06T23:35:53.000Z — Original
Booking’s CFO set 2026 guidance above its medium-term plan at “9/9/15” (gross bookings/revenue/EPS), after 2025 beat the framework, and scaled a self-funded reinvestment program to $700 million in 2026 expected to drive about $400 million of incremental revenue and roughly $300 million net impact wh…
thumbnail

Real Madrid beat Celta Vigo to close on Barcelona with Valverde late goal

Published: 2026-03-06T23:34:21Z — Original
Federico Valverde scores in injury-time as Real Madrid win 2-1 at Celta Vigo to maintain their La Liga title chase. Share Save Federico ‌Valverde’s deflected effort four ⁠minutes ⁠into added time earned Real Madrid a hard-fought 2-1 victory ⁠at Celta Vigo in La Liga, ending a run ⁠of two successive …
thumbnail

The Best Shampoos For A Dry Scalp During Winter, According To A Dermatologist

Source: buzzfeed — Published: 2026-03-06T23:31:02.000Z — Original
We hope you love our recommendations! While every product is independently chosen by our editors, BuzzFeed and our publishing partners may collect a share of sales or other compensation from the links on this page. You can read more about how our affiliate partnerships work in our Editorial Standard…
thumbnail

Amid oil shock uncertainty, Fed's Hammack says central bank must lower inflation

Source: yahoo — Published: 2026-03-06T23:30:35.000Z — Original
By Michael S. Derby NEW YORK, March 6 (Reuters) - Federal Reserve Bank of Cleveland President Beth Hammack said on Friday that while she expects inflation pressures to moderate, if they are not easing later this year the U.S. central bank may have to weigh tighter monetary policy to ensure price pre…
thumbnail

Iranian UN ambassador condemns US-Israeli ‘criminal war’

Published: 2026-03-06T23:14:05+00:00 — Original
Iranian UN ambassador condemns US-Israeli ‘criminal war’ Iranian Ambassador to the United Nations Amir-Saeid Iravani urged the UN Security Council to act “firmly, clearly, and without delay” to stop the joint US-Israeli war on his country. “Today it is Iran” being attacked, he warned, but “tomorrow …
thumbnail

Flick confident Barcelona can overcome injury issues in La Liga title push

Published: 2026-03-06T23:12:57Z — Original
Barcelona were thumped in the Copa del Rey semifinal but return to La Liga on Saturday, where they sit clear of Real. Share Save Who: Athetlic Bilbao vs Barcelona What: La Liga Where: San Mames, Bilbao, Spain When: Saturday, March 7, at 9pm (20:00 GMT) How to follow: Al Jazeera’s live coverage begin…
thumbnail

Iran's Guards challenges Trump to have US Navy escort oil tankers in Strait of Hormuz

Source: yahoo — Published: 2026-03-06T23:05:20.000Z — Original
March 6 (Reuters) - A spokesperson for Iran’s Revolutionary Guards challenged U.S. President ‌Donald Trump to deploy U.S. naval ‌vessels to escort oil tankers through the Strait of ​Hormuz, Iranian state media reported on Friday. The U.S. Navy could begin escorting oil tankers through the Strait of …
thumbnail

Sorry, But If You Remember “IDK, My BFF Jill,” It’s Time For You To Get Into These 32 Products

Source: buzzfeed — Published: 2026-03-06T23:01:02.000Z — Original
We hope you love our recommendations! While every product is independently chosen by our editors, BuzzFeed and our publishing partners may collect a share of sales or other compensation from the links on this page. You can read more about how our affiliate partnerships work in our Editorial Standard…
thumbnail

Georgia student found dead in rolled up gym mat; family seeking $10 billion

Source: yahoo — Published: 2026-03-06T22:55:30.000Z — Original
Earlier this week, a federal judge dismissed a $1 billion lawsuit filed by Kendrick Johnson’s family. Less than 24 hours later, his parents filed a civil rights complaint against the federal court seeking $10 billion. In January 2013, Johnson was found dead in a rolled-up wrestling mat at Lowndes Co…
thumbnail

How Ella Quittner Tested 24 Everyday Recipes To Find The Absolute Best Way To Cook Them

Source: buzzfeed — Published: 2026-03-06T22:54:43.000Z — Original
Because yes, whipping cream in a martini shaker might blow your mind. As a Tasty contributor, I dig deeper into the science, culture, and practicalities of cuisine. If you're also obsessed with finding the best recipes, you can order Ella's cookbook here.
thumbnail

The Internet Is Having A Field Day After Colbert Roasted Kristi Noem's Firing

Source: buzzfeed — Published: 2026-03-06T22:47:48.000Z — Original
If you must know, I based my entire personality on Seasons 2-5 of "Girls," and I'm a huge gamer.
thumbnail

From a £1bn dream to a brutal collapse: How Brewdog hit the rocks

Published: 2026-03-06T22:45:21.225Z — Original
"All self-respecting captains go down with their ships," James Watt declared in his finance memoir Business for Punks in 2015. But as the beer company he transformed from a garage start-up into a billion-pound behemoth foundered and slipped into administration last week, Watt was no longer at the he…
thumbnail

Only Sherlock Himself Could Get 18/18 On This Mysterious Trivia Quiz

Source: buzzfeed — Published: 2026-03-06T22:31:02.000Z — Original
Want to get your very own quizzes and posts featured on BuzzFeed’s homepage and app?
thumbnail

Conservative Christian college in Michigan announces Erika Kirk as 2026 commencement speaker

Source: yahoo — Published: 2026-03-06T22:23:00.000Z — Original
A conservative Christian college in Michigan announced a big name for their 2026 graduation ceremony commencement speaker. Hillsdale College announced Friday that Turning Point USA CEO Erika Kirk will give the commencement speech during graduation on May 9. She is the widow of conservative activist …
thumbnail

Florida teacher faces termination after failing to report 2 students' alleged sex act, district says

Source: yahoo — Published: 2026-03-06T22:22:18.000Z — Original
The Brief Brevard Public Schools is recommending the termination of a teacher at Space Coast Jr./Sr. High School who allegedly failed to report a sexual encounter between two students occurring under his supervision in September 2025. The district, which only learned of the incident last week, asser…
thumbnail

$31.6M Ethereum Leaves Exchanges as Supply Hits Multi-Year Lows – Is a Price Reversal Coming?

Source: yahoo — Published: 2026-03-06T22:22:00.000Z — Original
Ethereum just saw a noticeable shift in liquidity, which might affect ETH price positively. About $31.6 million worth of ETH left centralized exchanges in a single day, pushing exchange reserves down to multi-year lows. Moves like this usually mean coins are being pulled into long-term storage rathe…
thumbnail

US-Israel war with Iran: B-1 Lancer bomber lands at RAF Fairford

Published: 2026-03-06T22:21:53.765Z — Original
A huge US bomber capable of carrying 24 cruises missiles has landed in the UK. The 146ft (44.5m) B-1 Lancer arrived at RAF Fairford in Gloucestershire on Friday. It comes after Sir Keir Starmer granted the US permission to use British military bases but only for defensive strikes on Iranian missile …
thumbnail

Harry Styles Just Opened A Pop-Up For His New Album, And My Wallet (And Sanity) Are Recovering

Source: buzzfeed — Published: 2026-03-06T22:19:11.000Z — Original
This pop-up is SO good, you might want to mentally prepare your wallet. As a full-time writer at BuzzFeed Canada, I cover all things pop culture and food. I even went to the original telephone booth from One Direction's Take Me Home album in London!
thumbnail

NBC Staffers Reportedly Hoped Savannah Guthrie Wouldn’t Return Amid Tragedy: ‘You Can’t Trust Anyone’

Source: yahoo — Published: 2026-03-06T22:14:28.000Z — Original
Savannah Guthrie returned to New York and visited colleagues at NBC’s Today earlier this week, but a new report claims some hoped she’d never come back. On Thursday, March 5, a spokesperson for the morning show said that the 54-year-old anchor “plans to return” to the network at some point, even tho…
thumbnail

Mexico’s Sheinbaum pledges robust World Cup security in visit to Jalisco

Published: 2026-03-06T22:13:06Z — Original
The Mexican president says 100,000 security personnel will be deployed during upcoming football tournament. Share Save President Claudia Sheinbaum has unveiled a plan to deploy as many as 100,000 members of Mexico’s security forces during the 2026 FIFA World Cup. Sheinbaum made the announcement duri…
thumbnail

Cotton Rallies on Friday

Source: yahoo — Published: 2026-03-06T22:08:35.000Z — Original
Cotton futures posted 1 to 24 point gains across the board on Friday, as May was still down 141 points this week. Support came via the outside factors. Crude oil was up $10.22 on the day to $91.23. The US dollar index was back down $0.409 at $98.900. USDA Export Sales data from Thursday showed total…
thumbnail

Corn Rallies into the Weekend

Source: yahoo — Published: 2026-03-06T22:08:34.000Z — Original
Corn futures posted gains of 3 ¾ to 8 ¼ cents across the board on Friday, as May managed a 12 cent gain on the week and December up 15. Crude oil futures continued the rally and spillover support into Friday, up $10.22 as President Trump indicated the strikes would continue until an ‘unconditional s…
thumbnail

Soybeans Heads into the Weekend with a Rally

Source: yahoo — Published: 2026-03-06T22:08:34.000Z — Original
Soybeans rallied 16 ¾ to 21 ½ cents in the old crop contracts on Friday, as other contracts were 5 to 12 ½ cents higher. May beans were up 30 cents this week, as November rallied 18 ½ cents. The cmdtyView national average Cash Bean price was up 21 1/4 cents at $11.27 3/4.  Soymeal futures found some…
thumbnail

Wheat Rallies into the Friday Close

Source: yahoo — Published: 2026-03-06T22:08:34.000Z — Original
The wheat complex is continued the rally into Friday, with contracts up sharply across the three markets. Chicago SRW futures were up 24 ½ to 33 cents at the close, as May was 25 ¼ cents higher this week. KC HRW futures were 23 ½ to 31 cents in the green on the day, with Mayu rallying 43 cents this …
thumbnail

Qatar partially reopens airspace as Iranian strikes continue to hit Gulf

Published: 2026-03-06T22:08:19Z — Original
Evacuation and cargo flights to resume but scheduled services still suspended as US-Israeli war on Iran continues. Share Save Qatar has partially reopened its airspace days after Iranian missile and drone strikes forced the country to ground all flights as a United States-Israeli military campaign a…
thumbnail

Trump wants to pick Iran's new leader - will a hostile regime under fire agree?

Published: 2026-03-06T22:06:42.171Z — Original
The US president who likes to keep the world guessing about his endgame in Iran is now telling the world what he wants. In a war widely described as his "war of choice", Donald Trump says he also wants to choose who will rule Iran now that its Supreme Leader Ayatollah Ali Khamenei, and dozens of oth…
thumbnail

Why did the US torpedo Iran’s ‘prize’ warship?

Published: 2026-03-06T22:04:02+00:00 — Original
Why did the US torpedo Iran’s ‘prize’ warship? Sri Lanka is evacuating sailors from an Iranian ship, just two days after the US sunk Iran’s prize destroyer off the coast of Galle, killing more than 100 sailors. But why target the IRIS Dena? Soraya Lennie explains. Share Save
thumbnail

30 Products From Walmart That’ll Make Your Parents Say, “Parenting Is So Much Easier Now.”

Source: buzzfeed — Published: 2026-03-06T22:01:02.000Z — Original
We hope you love our recommendations! While every product is independently chosen by our editors, BuzzFeed and our publishing partners may collect a share of sales or other compensation from the links on this page. You can read more about how our affiliate partnerships work in our Editorial Standard…
thumbnail

Venezuela's Gas Potential Could Overshadow Its Famous Oil Reserves

Source: yahoo — Published: 2026-03-06T22:00:00.000Z — Original
Following the United States intervention in Venezuela on 3rd January, which brought an end to President Nicolás Maduro’s 13-year dictatorship, all eyes have been on the South American country’s oil industry. Once one of the world’s biggest oil producers, output has waned in recent years. However, wi…
thumbnail

Will Proba-3 phone home? European solar-eclipse satellite goes dark

Source: yahoo — Published: 2026-03-06T22:00:00.000Z — Original
When you buy through links on our articles, Future and its syndication partners may earn a commission. Europe has lost contact with one of its two Proba-3 spacecraft, after an anomaly caused the vehicle to lose orientation. The European Space Agency's (ESA) Proba-3 mission launched to Earth orbit fr…
thumbnail

People are tracking this shepherd fleeing Israeli strikes in Lebanon

Published: 2026-03-06T21:50:17+00:00 — Original
People are tracking this shepherd fleeing Israeli strikes in Lebanon People are tracking a shepherd who has been walking with his herd for days across Lebanon, fleeing Israeli strikes in the south of the country. Share Save
thumbnail

I'm Cackling At These 46 Funny Tweets This Week, And That's REALLY Saying Something Right Now

Source: buzzfeed — Published: 2026-03-06T21:49:56.000Z — Original
"when DMX said 'y'all gon make me lose my mind' he was probably at work." I'm an LA-based trending news writer covering health, politics, and internet culture. Boss offered me up to do something on a call and I didn’t realize I wasn’t muted and said “why don’t you just fucking do it” and everyone go…
thumbnail

Stocks Retreat on Inflation Concerns and a Weak US Job Market

Source: yahoo — Published: 2026-03-06T21:42:07.000Z — Original
The S&P 500 Index ($SPX) (SPY) on Friday closed down -1.33%, the Dow Jones Industrial Average ($DOWI) (DIA) closed down -0.95%, and the Nasdaq 100 Index ($IUXX) (QQQ) closed down -1.51%.  March E-mini S&P futures (ESH26) fell -1.39%, and March E-mini Nasdaq futures (NQH26) fell -1.58%. Stock indexes…
thumbnail

Claar Advisors Initiates Stake in Callaway as Golf Equipment Demand Remains Strong

Source: yahoo — Published: 2026-03-06T21:41:48.000Z — Original
In a filing with the Securities and Exchange Commission dated February 17, 2026, Claar Advisors LLC reported establishing a new position in Callaway Golf Company (NYSE:CALY)during the fourth quarter of 2025. The fund acquired 626,689 shares and the new holding contributed a $7.31 million increase in…
thumbnail

I Just Discovered These 8 Times Movies Had Sickening Mistreatment Going On Behind The Scenes

Source: buzzfeed — Published: 2026-03-06T21:40:36.000Z — Original
"41% of the cast and crew of the film developed cancer after the film wrapped." Warning: This post discusses sexual assault, drug use, animal abuse, and child death. With two weeks of shooting left, Lee was on a night shoot with actor Michael Massee. Massee pulled the trigger on a prop gun thinking …
thumbnail

Major central bank urges to keep 1 week’s worth of cash at home for food, meds for ‘worst case’ of war. What you can do

Source: yahoo — Published: 2026-03-06T21:35:00.000Z — Original
Moneywise and Yahoo Finance LLC may earn commission or revenue through links in the content below. With geopolitical tensions rising around the world, one European country is urging its citizens to prepare for potential disruptions by keeping enough cash at home. On Wednesday, the Riksbank — Sweden’…
thumbnail

Winter Paralympics 2026: Russia and Belarus athletes parade behind national flags in opening ceremony

Published: 2026-03-06T21:32:11.065Z — Original
The 2026 Games mark the first time a Russian flag has been flown at a Paralympics since Sochi 2014 Athletes from Russia and Belarus marched behind their nations' flags at the opening ceremony of the Milan-Cortina Winter Paralympics as the 50th anniversary edition of the Games officially got under wa…
thumbnail

As Crude Oil Prices Spike Amid U.S.-Iran Conflict, Warren Buffett Once Warned that the Government Is ‘Exceptional’ at ‘Printing Money and Creating Promises’ But Can’t ‘Print Gold or Create Oil’

Source: yahoo — Published: 2026-03-06T21:31:17.000Z — Original
As the conflict between the United States and Iran intensifies, the global economy is once again facing volatile market conditions. Prices of oil are sparking, and investors are fleeing into shock-absorber assets such as oil and gold (GCK26). In his 1979 shareholder letter, Warren Buffett stated tha…
thumbnail

US issues limited licence for Venezuelan gold following high-level visit

Published: 2026-03-06T21:31:09Z — Original
The licence follows a push from US President Donald Trump to open Venezuela’s resource sector to international investment. Share Save The United States government has authorised a limited licence for the export of Venezuelan gold, following a high-level meeting to expand mining in the country. On Fr…
thumbnail

Cathie Wood Buys What This Billionaire Is Selling: Ark Adds Amazon And Alibaba Stock, Dumps This Chip Giant

Source: yahoo — Published: 2026-03-06T21:30:18.000Z — Original
On Wednesday, Cathie Wood-led Ark Invest made significant trades involving Amazon.com Inc., Alibaba Group Holding Ltd., Joby Aviation Inc., Taiwan Semiconductor Manufacturing Co Ltd., and Nextdoor Holdings Inc.. These trades reflect Ark’s strategic positioning in the evolving market landscape. Ark I…
thumbnail

Docs: Breckenridge teens accused of lying to police by saying they walked in on friend suffering from gunshot

Source: yahoo — Published: 2026-03-06T21:28:30.000Z — Original
BRECKENRIDGE, Texas (KTAB/KRBC) – Three Breckenridge teens are accused of lying to police by saying they walked in on their friend suffering from a gunshot wound. Mark Campbell, Jr., Tylen Collins, and Oliziah Reyes were all booked into the Stephens County Jail Thursday for Making a False Report to …
thumbnail

Robinhood supports Trump accounts for every newborn, CEO says

Source: yahoo — Published: 2026-03-06T21:12:51.000Z — Original
Robinhood (HOOD) wants to capture the next generation of investors before they can crawl. Speaking directly to President Trump at a White House summit regarding the "Trump Accounts" Initiative, Robinhood CEO Vladimir Tenev said the trading platform is "ready to support the program." The company poss…
thumbnail

This Penny Stock Is Soaring on a New Drone Contract Win. Should You Buy Peraso Here Amid U.S.-Iran War?

Source: yahoo — Published: 2026-03-06T21:10:49.000Z — Original
Peraso (PRSO) shares more than doubled on Friday after the San Jose-headquartered firm said it has secured a sizable defense contract from InTACT. The defense contractor has picked PRSO’s 60 GHz mmWave technology for next-generation drone Identification Friend or Foe (IFF) systems, it revealed in a …
thumbnail

EU countries joining US, Israel attacks would become Iran's "legitimate target", Deputy Minister says

Source: yahoo — Published: 2026-03-06T21:05:05.000Z — Original
PARIS, March 6 (Reuters) - European Union member states that join the U.S. ‌and Israel attacks on Iran ‌would become "legitimate targets" for Iran, Deputy Foreign ​Minister Majid Takht-Ravanchi said in an interview with TV station France 24. "Any country that joins in the aggression ‌against Iran, ⁠…
thumbnail

32 Cozy Things For Anyone Who’s Already In Pajamas By 6 PM

Source: buzzfeed — Published: 2026-03-06T21:01:04.000Z — Original
We hope you love our recommendations! While every product is independently chosen by our editors, BuzzFeed and our publishing partners may collect a share of sales or other compensation from the links on this page. You can read more about how our affiliate partnerships work in our Editorial Standard…
thumbnail

The universe is humming with ripples in spacetime: Scientists just doubled our catalog of black hole and neutron star collisions

Source: yahoo — Published: 2026-03-06T21:00:00.000Z — Original
When you buy through links on our articles, Future and its syndication partners may earn a commission. Our catalog of spacetime ripples "heard" by gravitational wave detectors here on Earth has doubled, scientists say, with newly discovered sources ranging from wobbly black hole mergers to the heavi…
thumbnail

Keke Palmer Got Painfully Real About The "Dehumanization" Of Being A Child Star

Source: buzzfeed — Published: 2026-03-06T20:49:02.000Z — Original
"Being an artist became a way out for my family." If you must know, I based my entire personality on Seasons 2-5 of "Girls," and I'm a huge gamer.
thumbnail

Meghan's lifestyle brand As ever and Netflix end partnership

Published: 2026-03-06T20:47:27.806Z — Original
The Duchess of Sussex's lifestyle brand has ended its partnership with Netflix, it has been announced. As ever was launched by Meghan last year and supported financially by the streaming giant, in a separate deal to that of her TV content. On Friday, both As ever and Netflix released statements conf…
thumbnail

Strikes on Iran to last ‘four to six weeks’, White House says

Published: 2026-03-06T20:46:20+00:00 — Original
Strikes on Iran to last ‘four to six weeks’, White House says White House Press Secretary Karoline Leavitt says the US expects the war on Iran to last “about four to six weeks”, adding that the US has enough ammunition to achieve its objectives “and beyond”. Share Save
thumbnail

US and Israel attacking Iran at ‘record pace’, war monitor says

Published: 2026-03-06T20:37:21Z — Original
Airwars says first days of US-Israeli Iran strikes ‘hit significantly more targets than any campaign in recent decades’. Share Save The United States and Israel have attacked Iran at a pace that far surpasses other recent conflicts, research group Airwars says, as the US and Israeli governments have…
thumbnail

Human rights court orders reparations for forced sterilisation case in Peru

Published: 2026-03-06T20:31:37Z — Original
The Inter-American Court of Human Rights says Peru must pay the family of a woman who died as a result of forced sterilisation. Share Save The Inter-American Court of Human Rights (IACHR) has ordered Peru to pay reparations to the family of Celia Ramos, a mother of three whose death resulted from a …
thumbnail

The Ulta 21+ Days Of Beauty Event Is Bringing Daily And Weekly Deals To Your Life

Source: buzzfeed — Published: 2026-03-06T20:24:56.000Z — Original
We hope you love our recommendations! While every product is independently chosen by our editors, BuzzFeed and our publishing partners may collect a share of sales or other compensation from the links on this page. You can read more about how our affiliate partnerships work in our Editorial Standard…
thumbnail

Oracle and OpenAI drop Texas data center expansion plan, Bloomberg News reports

Source: yahoo — Published: 2026-03-06T20:18:20.000Z — Original
March 6 (Reuters) - Oracle and OpenAI have abandoned plans to expand a flagship artificial intelligence data center in Texas after negotiations dragged ‌over financing and OpenAI's changing needs, Bloomberg News reported on Friday, ‌citing people familiar with the matter. The plan is part of the Sta…
thumbnail

Spanish politician slams those using ‘feminism’ as excuse for Iran war

Published: 2026-03-06T20:02:44+00:00 — Original
Spanish politician slams those using ‘feminism’ as excuse for Iran war “This is how the right defends the rights of Iranian women: by celebrating the murder of 160 girls.” Spanish politician Manuela Bergerot criticised what she called the hypocrisy of supporting US and Israeli attacks on Iran while …
thumbnail

42 "So Good You'll Want To Use The Next-Day Shipping Option" Amazon Finds

Source: buzzfeed — Published: 2026-03-06T20:01:03.000Z — Original
We hope you love our recommendations! While every product is independently chosen by our editors, BuzzFeed and our publishing partners may collect a share of sales or other compensation from the links on this page. You can read more about how our affiliate partnerships work in our Editorial Standard…
thumbnail

Conservative peer quits after Lords probe into PPE deals

Published: 2026-03-06T19:57:32.113Z — Original
Tory peer Lord Chadlington is to quit the Conservatives and retire from the House of Lords following a recommendation he be suspended from Parliament for a year. It comes after an investigation found he breached the Lords code of conduct over his role in assisting a subsidiary of a company he chaire…
thumbnail

Messi criticised for applauding Trump amid US attacks on Iran

Published: 2026-03-06T19:56:35+00:00 — Original
Messi criticised for applauding Trump amid US attacks on Iran Lionel Messi has been criticised for meeting US President Donald Trump and applauding his latest brief on the Iran war at a White House event honouring the Argentinian superstar and his Inter Miami team. Share Save
thumbnail

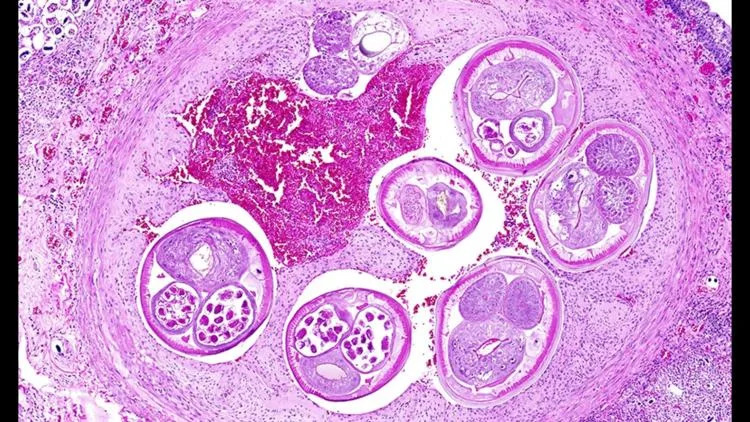
Brain-infecting worms, known as 'rat lungworm,' detected in San Diego County

Source: yahoo — Published: 2026-03-06T19:51:07.000Z — Original
Brain-eating worms known as 'rat lungworm' have been found in San Diego County, the first time the parasitic worms have been found in any state west of Texas. According to new research from the CDC, the parasite, Angiostrongylus cantonensis, better known as rat lungworm, was first detected in a 7-ye…
thumbnail

19 Ridiculous Signs People Spotted This Week That Are Guaranteed To Make You Howl

Source: buzzfeed — Published: 2026-03-06T19:44:22.000Z — Original
"My girlfriend asked me to stop singing 'Wonderwall.' I said MAYBE." As a Senior Writer and Content Creator for BuzzFeed and Tasty, I specialize in lifestyle reporting, viral human-interest stories, and travel/food media.
thumbnail

What the world is getting wrong about what Iranians think

Published: 2026-03-06T19:42:36+00:00 — Original
The US-Israeli war on Iran is exposing deep divisions among Iranians in the diaspora and in Iran. From inside Iran to the diaspora, Iranians are deeply divided about their country’s future. With Ayatollah Ali Khamenei gone and Reza Pahlavi, the son of the former shah, waiting in the wings, what do c…
thumbnail

JP Morgan Raises Target Price on Palomar (PLMR) to $160

Source: yahoo — Published: 2026-03-06T19:39:47.000Z — Original
Palomar Holdings Inc. (NASDAQ:PLMR) is one of the 15 Most Undervalued NASDAQ Stocks to Buy According to Wall Street Analyst. JPMorgan, on February 23, slightly increased its target price on Palomar by 3.2% to $160 (from $155) and retained the firm’s Overweight call on the stock. The price increase o…
thumbnail

Wells Fargo Neutral on Urban Outfitters (URBN)

Source: yahoo — Published: 2026-03-06T19:38:54.000Z — Original
Urban Outfitters Inc. (NASDAQ:URBN) is one of the 15 Most Undervalued NASDAQ Stocks to Buy According to Wall Street Analyst. Wells Fargo, on February 26, reduced its target price on Urban Outfitters by 6.3% to $75 (from $80), while retaining the firm’s Equal Weight call on the stock. The firm liked …
thumbnail

LKQ Has Outperform Rating on LKQ Corporation (LKQ)

Source: yahoo — Published: 2026-03-06T19:38:46.000Z — Original
LKQ Corporation (NASDAQ:LKQ) is one of the 15 Most Undervalued NASDAQ Stocks to Buy According to Wall Street Analyst. Barrington, on February 24, increased its target price range on LKQ Corp. by ~12% to $45 to $50 (from a previous range of $40 to $45) and retained the firm’s Outperform call on the s…
thumbnail

Rothschild Downgrades American Airlines (AAL) to Neutral, Due To Higher Oil Prices

Source: yahoo — Published: 2026-03-06T19:38:15.000Z — Original
American Airlines Group Inc. (NASDAQ:AAL) is one of the 15 Most Undervalued NASDAQ Stocks to Buy According to Wall Street Analyst. Rothschild & Co Redburn, on March 5, downgraded its call on American Airlines to a Neutral (from Buy), with a $12.50 target price. The firm cited the US-Iran war, which …
thumbnail

Divorce Lawyers Are Sharing The Most Cruel Thing They've Seen Someone Do To Their Ex Partner, And Wow

Source: buzzfeed — Published: 2026-03-06T19:37:02.000Z — Original
"The dad fell in love with the therapist and they hooked up." "He was still paying for all the bills at the house he wasn’t living in because one of his kids was still living there too. One day, the water department came to the office kinda panicked looking for him; they'd used property records to t…
thumbnail

US to reinsure maritime losses in Gulf up to about $20 billion, agency says

Source: yahoo — Published: 2026-03-06T19:36:08.000Z — Original
WASHINGTON, March 6 (Reuters) - The U.S. will provide reinsurance for losses up to $20 billion in ‌the Gulf region, to help provide confidence ‌for oil and gas shippers during the war on Iran, the ​U.S. International Development Finance Corporation said on Friday. President Donald Trump on Tuesday o…
thumbnail

History in sight for both India and New Zealand in T20 World Cup final

Published: 2026-03-06T19:33:30Z — Original
India aim to become first side to win three T20 World Cup titles, while New Zealand seek maiden crown in 2026 final. Share Save Who: India vs New Zealand What: ICC 2026 Men’s T20 World Cup final Where: Narendra Modi Stadium, Ahmedabad, India When: Sunday, March 6, 7pm (13:30 GMT) How to follow: Al J…
thumbnail

Your Instincts And Loyalty Will Reveal Which "Peaky Blinders" Character You Are

Source: buzzfeed — Published: 2026-03-06T19:31:01.000Z — Original
Loyalty, power, and strategy decide everything. Want to get your very own quizzes and posts featured on BuzzFeed’s homepage and app?
thumbnail

Iran’s future will be determined by Iranians, not Trump, officials say

Published: 2026-03-06T19:29:26Z — Original
Ghalibaf says Iran’s fate will not be decided by ‘Epstein’s gang’ as Trump pushes for role in choosing supreme leader. Share Save Iranian officials have rejected Donald Trump’s push to be involved in the selection of the country’s next leader, insisting that only Iranians can decide the future of th…
thumbnail

World Cup 2026: Co-hosts Mexico plan to deploy 100,000 security personnel

Published: 2026-03-06T19:24:59.292Z — Original
There is less than 100 days until the start of the 2026 World Cup in Canada, Mexico and the United States World Cup co-hosts Mexico have announced plans to deploy nearly 100,000 security personnel to protect fans at this summer's tournament, amid ongoing drug cartel violence in the country. Mexico, …
thumbnail

Sugar Prices Jump as Crude Oil Surges

Source: yahoo — Published: 2026-03-06T19:24:35.000Z — Original
May NY world sugar #11 (SBK26) on Friday closed up +0.38 (+2.77%), and May London ICE white sugar #5 (SWK26) closed up +8.00 (+1.97%). Sugar prices settled sharply higher on Friday amid soaring crude oil prices.  WTI crude oil (CLJ26) surged more than +12% on Friday to a 2.5-year high, which benefit…
thumbnail

Do You Have A Storybook Soul? Embark On A Fairy-Tale Quest To See What Lies Within You

Source: buzzfeed — Published: 2026-03-06T19:21:02.000Z — Original
Want to get your very own quizzes and posts featured on BuzzFeed’s homepage and app?
thumbnail

Will the Iran War Trigger a 2025-Like Rally in Netflix Stock?

Source: yahoo — Published: 2026-03-06T19:17:25.000Z — Original
While the broader markets have been under pressure and tech stocks have particularly fallen hard this year, Netflix is up almost 20% over the last month. In my previous article, I had noted that NFLX’s risk-reward was looking attractive. With the stock up sharply from those levels, let’s explore whe…
thumbnail

29 Hilarious Things Parents Tweeted This Week That Made Me Giggle Until Coffee Came Out Of My Nose

Source: buzzfeed — Published: 2026-03-06T19:16:13.000Z — Original
"It was the best of times, it was the accidentally-pushed-the-elevator-button-before-offering-to-let-your-toddler-push-it of times." As a Senior Lifestyle editor at BuzzFeed, I cover stories about health, home, politics, and relationships, with a special focus on work and money.
thumbnail

Russia has provided Iran with information that can help Tehran strike US military, AP sources say

Source: yahoo — Published: 2026-03-06T19:13:21.000Z — Original
WASHINGTON (AP) — Russia has provided Iran with information that could help Tehran strike American warships, aircraft and other assets in the region, according to two officials familiar with U.S. intelligence on the matter. The officials, who were not authorized to comment publicly on the sensitive …
thumbnail

Air cargo shippers scramble to mitigate Iran war impacts

Source: yahoo — Published: 2026-03-06T19:10:38.000Z — Original
Businesses are rushing to secure alternative airlift for cargo shipments and bracing for higher freight rates and surcharges from airlines as continued airspace and airport closures in the Middle East due to the Iran war constrain aircraft availability and force lengthy detours, effectively reducing…
thumbnail

1 Defense Stock Cathie Wood Is Buying Now as the U.S.-Israel War on Iran Heats Up

Source: yahoo — Published: 2026-03-06T19:09:43.000Z — Original
Last weekend, the U.S. and Israel launched widespread strikes on Iran, killing Supreme Leader Ayatollah Ali Khamenei after his 36-year rule. Iran struck back, hitting U.S. bases in the Middle East and killing five American troops, with the current total at six. President Trump warned the war could g…
thumbnail

Tigress Financial Thinks Nvidia Stock Can Climb to $360. Should You Buy the Dip Now?

Source: yahoo — Published: 2026-03-06T19:05:44.000Z — Original
Nvidia (NVDA) stock has pulled back from recent highs, but one Wall Street firm believes the long-term story is far from over. It is hardly surprising that Tigress Financial is growing even more confident in Nvidia. The firm recently lifted its price target on NVDA stock to $360 from $350 and reiter…
thumbnail

Pennsylvania distribution center’s closure to affect 400+ employees

Source: yahoo — Published: 2026-03-06T19:04:49.000Z — Original
SCHUYLKILL COUNTY, Pa. (WHTM) — A major retailer will soon be closing another one of its distribution centers in Pennsylvania, which will result in more than 400 layoffs. abc27 news previously reported when Saks Global, which is the parent company for the luxury department store Saks Fifth Avenue, f…
thumbnail

Mars orbiters witness solar superstorm striking the Red Planet: 'The timing was extremely lucky'

Source: yahoo — Published: 2026-03-06T19:02:56.000Z — Original
When you buy through links on our articles, Future and its syndication partners may earn a commission. Two European Space Agency Mars-orbiting missions, the Mars Express and ExoMars Trace Gas Orbiter spacecraft, watched as a powerful solar "superstorm" that ravaged Earth also struck the Red Planet. …
thumbnail

Gap CEO: Wealthy shoppers flock to brand as stock dips on mixed Q4 results

Source: yahoo — Published: 2026-03-06T19:02:55.000Z — Original
Gap Inc. (GAP) claims it’s back. Investors aren't buying the big claim yet. "More high-income consumers are choosing Gap," CEO Richard Dickson told Yahoo Finance, noting the namesake brand is reclaiming its pop-culture status through red carpent moments and celebrity collaborations. The pivot toward…
thumbnail

Heat waves that spark damaging droughts are happening more frequently, study finds

Source: yahoo — Published: 2026-03-06T19:02:23.000Z — Original
WASHINGTON (AP) — Heat waves that lead to sudden and damaging drought are spreading across the globe at an accelerating rate, highlighting how climate change-fueled extremes can build dangerously off each other, a new study found. Researchers from South Korea and Australia looked at compound extreme…
thumbnail

Spacecraft's impact changed asteroid's orbit around the sun in a save-the-Earth test, study finds

Source: yahoo — Published: 2026-03-06T19:01:09.000Z — Original
CAPE CANAVERAL, Fla. (AP) — An asteroid that NASA used for target practice a few years ago was nudged into a slightly different route around the sun, findings that could help divert a future incoming killer space rock, scientists reported Friday. It’s the first time that a celestial body’s orbit aro…
thumbnail

Just 31 TikTok-Approved Items That Are Begging You To Add To Cart

Source: buzzfeed — Published: 2026-03-06T19:01:02.000Z — Original
We hope you love our recommendations! While every product is independently chosen by our editors, BuzzFeed and our publishing partners may collect a share of sales or other compensation from the links on this page. You can read more about how our affiliate partnerships work in our Editorial Standard…
thumbnail

CFO Gets Prison Time After Losing $35 Million of Company Money in Crypto Side Hustle

Source: yahoo — Published: 2026-03-06T19:00:51.000Z — Original
A Washington man has been sentenced to two years in prison after diverting $35 million in funds from his former employer to his own DeFi platform—and losing nearly all of it. Nevin Shetty, 42, was found guilty of wire fraud last November for taking and misusing funds from the private software compan…
thumbnail

James Webb Space Telescope Captures Amazing View Of Two Dwarf Galaxies

Source: yahoo — Published: 2026-03-06T19:00:00.000Z — Original
The James Webb Space Telescope has captured a view of dwarf galaxies NGC 4490 and NGC 4485, located about 24 million light-years away in the constellation Canes Venatici. Credit: ESA/Webb, NASA & CSA, A. Adamo (Stockholm University), G. Bortolini, and the FEAST JWST team, N. Bartmann (ESA/Webb) | ed…
thumbnail

Why the Nasdaq Is Holding Up Better Than the Dow and S&P 500 On Friday

Source: yahoo — Published: 2026-03-06T18:58:31.000Z — Original
After a wobbly week, Wall Street turned away from risky investments again on Friday. The sell-off that started earlier in the week hit the accelerator right out of the opening gate. It also bounced back mid-morning, just like it did on Tuesday. By lunchtime ET, the three leading indexes were down by…
thumbnail

Austraila: Fatbikes are wreaking havoc in Sydney's wealthy beach suburbs

Published: 2026-03-06T18:56:47.541Z — Original
One of the first things you might see in Manly, home to some of Sydney's most popular beaches, are groups of carefree teenagers in swimwear riding illegal e-bikes. Weaving in and out of traffic and careening along footpaths, they're an increasingly familiar sight, infuriating many locals. "I see the…
thumbnail

Trump Administration's Embattled FDA Vaccine Chief Is Leaving For The Second Time

Source: huffpost — Published: 2026-03-06T18:56:33-0500 — Original
WASHINGTON (AP) — The Food and Drug Administration’s embattled vaccine chief, Dr. Vinay Prasad, is once again leaving the agency — the second time in less than a year that he’s departed after controversial decisions involving the review of vaccinations and specialty drugs for rare diseases. FDA Comm…
thumbnail

US customs agency says it is not yet able to reimburse tariff costs

Published: 2026-03-06T18:56:10Z — Original
The US agency says a system being worked out to mediate the disbursement of $166bn in tariff costs to more than 330,000 importers. Share Save The United States Customs and Border Protection (CBP) agency has announced it will need an additional 45 days to set up a system to process refund requests fo…
thumbnail

If Tesla Stock Doubled Again, How Much Richer Could the Average Investor Become?

Source: yahoo — Published: 2026-03-06T18:55:05.000Z — Original
For investors who have followed Tesla over the years, the idea of another major rally is not far-fetched. The stock has already delivered multiple jaw dropping runs, rewarding those who held through volatility and ignored the noise. Still, imagining Tesla doubling again from recent levels raises an …
thumbnail

Better Nuclear Energy Stock: NuScale Power (SMR) vs. Oklo (OKLO)

Source: yahoo — Published: 2026-03-06T18:54:22.000Z — Original
NuScale Power (NYSE: SMR) and Oklo (NYSE: OKLO) are both trying to shake up the nuclear energy market with smaller and more scalable reactors. Last July, I compared these two stocks and claimed NuScale was a better buy because it was generating more revenue and its stock looked more reasonably value…
thumbnail

1 Growth Stock Under $25 With 122% Upside Potential

Source: yahoo — Published: 2026-03-06T18:53:42.000Z — Original
Investors may be hesitant to put fresh money into stocks now as market volatility surges. The CBOE Volatility Index is one of the most widely used indicators to measure market risk and investor sentiment. Recently, it climbed above 20 and briefly spiked near 28, its highest level of 2026 so far, dri…
thumbnail

Trump sets sights on NIL regulation, SCORE Act at college sports roundtable, teases another executive order

Source: foxnews — Published: 2026-03-06T18:52:39-05:00 — Original
President Donald Trump hosted numerous sports figures at the White House Friday for a college sports roundtable to discuss potential regulations regarding NIL and transferring. President Donald Trump hosted a college sports roundtable Friday to examine solutions to key challenges, including NCAA aut…
thumbnail

Daryl Hannah Calls Out Ryan Murphy’s “Love Story” As “Tragedy-Exploiting” And Misogynistic

Source: buzzfeed — Published: 2026-03-06T18:50:17.000Z — Original
"It’s appalling to me that I even have to defend myself against a television show." As the Managing Editor of Streaming at BuzzFeed, I cover all things entertainment, and especially love to nerd out on all things Disney.
thumbnail

Seth MacFarlane Uses AI To Turn Himself Into Creepy Bill Clinton Clone

Source: huffpost — Published: 2026-03-06T18:48:34-0500 — Original
The latest installment of the show about everyone’s favorite foul-mouthed CGI bear, “Ted,” premiered on Peacock on Thursday, and fans noticed a presidential cameo that turned out to be the series creator, Seth MacFarlane, employing the use of AI for one hell of a Bill Clinton impersonation. In the s…
thumbnail

Zelenskyy visits front line as Ukraine and Russia swap 500 prisoners each

Published: 2026-03-06T18:48:19Z — Original
Completion of two-day POW exchange one of few tangible results as peace talks stall amid Middle East turmoil. Share Save Ukrainian President Volodymyr Zelenskyy said he had visited the eastern front line as Ukraine and Russia ⁠completed a two-day prisoner-of-war swap, exchanging 500 soldiers each. T…
thumbnail

CCTV video captures moment strike lands next to boys’ school in Iran

Published: 2026-03-06T18:45:10+00:00 — Original
CCTV video captures moment strike lands next to boys' school in Iran CCTV video showing the moment a missile struck next to a boys’ school in Iran’s Qazvin, causing panic amongst students and staff, has been released by IRGC-affiliated media. Iran blamed the attack, which reportedly took place durin…
thumbnail

Man accused of Iran-backed Trump assassination plot compared his plan to Butler shooting: FBI

Source: foxnews — Published: 2026-03-06T18:39:35-05:00 — Original
Former Army special operations intel analyst Brett Velicovich and former Navy Capt. Brent Sadler discuss worries over U.S. munition stockpiles on ‘The Story.’ A Pakistani man convicted on Friday of plotting to assassinate President Donald Trump and other politicians told an FBI agent he thought Iran…
thumbnail

The Del Vecchio Inheritance War Is Heading Toward a Billion-Dollar Deal

Source: yahoo — Published: 2026-03-06T18:38:19.000Z — Original
Europe’s biggest corporate fortunes often look stable from the outside. Inside the family boardroom, they can be anything but. Now the heirs of Luxottica founder Leonardo Del Vecchio appear to be edging toward a deal that could settle a long-running succession battle and consolidate power over the h…
thumbnail

Iran shares video of Tehran primary school after attack

Published: 2026-03-06T18:37:50+00:00 — Original
Iran shares video of Tehran primary school after attack A school in Tehran has been struck in US-Israeli attacks, according to Iranian Ministry of Foreign Affairs spokesperson Esmaeil Baghaei. Baghaei shared a video purportedly showing the aftermath without elaborating on the circumstances or the nu…
thumbnail

Fed's Hammack says interest rates likely on hold for some time

Source: yahoo — Published: 2026-03-06T18:35:41.000Z — Original
NEW YORK, March 6 (Reuters) - Federal Reserve Bank of Cleveland President Beth Hammack said Friday she sees no imminent need to change the stance of monetary policy in ‌an economy where inflation is still “too high.” Given the Fed’s need to balance “elevated” inflation and a “softening” ‌job market,…
thumbnail

Here Are 2 Shows And 1 Movie You NEED To Watch This Weekend, Plus More TV And Movie News

Source: buzzfeed — Published: 2026-03-06T18:31:02.000Z — Original
This week in TV and movie news, Pixar delivers one of its best new movies in recent years, Shailene Woodley joins Sterling K. Brown in "Paradise" (and makes me sob), and so much more. As a Senior Talent Booker and Producer at BuzzFeed, you can typically catch me flailing about the buzziest TV shows …
thumbnail

Unusual Options Activity Suggests the Smart Money Is Bullish About Rio Tinto Stock Despite Glencore Deal Collapse

Source: yahoo — Published: 2026-03-06T18:30:02.000Z — Original
As we head into the weekend and the second week of the Iran war, options volume is higher than usual. That’s not unexpected. If there’s one thing I’ve learned about the options market, it's that traders love volatility. In Thursday’s trading, the options volume was 66.03 million, about seven million…
thumbnail

Cotton Posting Friday Gains

Source: yahoo — Published: 2026-03-06T18:29:28.000Z — Original
Cotton futures are trading with 15 to 20 point gains across most contracts on Friday. Support s coming via the outside factors. Crude oil is up $10.10 on the day to $91.11. The US dollar index was back down $0.349 at $98.960 USDA Export Sales data from Thursday showed total commitments of 8.904 mill…
thumbnail

Wheat Rally Continues on Friday

Source: yahoo — Published: 2026-03-06T18:29:28.000Z — Original
The wheat complex is continued the rally into Friday, with contracts up sharply across the three markets. Chicago SRW futures are up 25 to 28 cents at the close. KC HRW futures are 20 to 27 cents in the green so far on the day. MPLS spring wheat is 18 to 20 cents higher at midday. Crude oil futures …
thumbnail

Corn Rally Pushes Higher on Friday

Source: yahoo — Published: 2026-03-06T18:29:27.000Z — Original
Corn futures are showing 4 to 7 cent gains so far on Friday. There were 5 deliveries against March corn futures overnight. Crude oil futures are up $10.10 at midday to continue the spillover support. The CmdtyView national average Cash Corn price is up 4 1/4 cents to $4.16. Export Sales data shows t…
thumbnail

Trump admin hits back at ex-California mayor's call for federal guaranteed income as cities hand out cash

Source: foxnews — Published: 2026-03-06T18:27:14-05:00 — Original
State Sen. Paul Bettencourt told Fox News Digital that a guaranteed income program should be unconstitutional and wants Attorney General Ken Paxton to weigh in. The Trump administration punched back at the founder of the Mayors for a Guaranteed Income organization, saying that Democratic mayors shou…
thumbnail

"Straight Bars": People Are Reacting After Zara Larsson Defended Her Viral Abortion Joke

Source: buzzfeed — Published: 2026-03-06T18:22:40.000Z — Original
"Why is it only morally okay when women have to suffer?" I'm a Senior Staff Writer at BuzzFeed covering pop culture, entertainment, and politics.
thumbnail

Miami developer accused of $85M fraud scheme, blowing investor cash on yacht, Rolex

Source: foxnews — Published: 2026-03-06T18:17:38-05:00 — Original
Fox News Flash top headlines are here. Check out what's clicking on FoxNews.com. A federal indictment unsealed on Friday charged a Florida real estate developer with orchestrating an $85 million fraud scheme, failing to pay millions in taxes, and lying to financial institutions to purchase a luxury …
thumbnail

WNBA star Arike Ogunbowale arrested in Miami during Unrivaled championship celebration

Source: foxnews — Published: 2026-03-06T18:15:05-05:00 — Original
Fox News Flash top sports headlines are here. Check out what's clicking on FoxNews.com. Arike Ogunbowale, a four-time WNBA All-Star and Unrivaled league standout, was taken into police custody early Thursday after an alleged altercation at a Miami nightclub, police records showed. Miami-Dade officer…
thumbnail

Snow coming to Lane County next week. Here's where and when

Source: yahoo — Published: 2026-03-06T18:14:58.000Z — Original
Portions of eastern Lane County, including Oakridge and Blue River, will see snow on March 10, the National Weather Service predicts. The NWS said there’s a 60-80% chance more than 2 inches of snow will fall in portions of Oregon above 1,000 feet in the Cascade foothills, such as Oakridge and McKenz…
thumbnail

Video shows explosions near Tehran’s Azadi Tower

Published: 2026-03-06T18:14:53+00:00 — Original
Video shows explosions near Tehran’s Azadi Tower A video has been released showing huge explosions near Tehran’s Azadi Tower. The US and Israel are continuing to target locations across Iran as the war enters its seventh day. Share Save
thumbnail

Fired Michigan coach Sherrone Moore reaches plea deal in case over alleged break-in at mistress's home

Source: foxnews — Published: 2026-03-06T18:10:27-05:00 — Original
Fox News correspondent Garrett Tenney has the latest on former Michigan head football coach Sherrone Moore's fall from grace on 'Special Report.' Sherrone Moore, who was fired as Michigan's head football coach in December, pleaded no contest to two misdemeanors in a deal to resolve a felony criminal…
thumbnail

Spanberger lashes out at Pentagon after Hegseth pulls colleges’ support over woke ‘ideologies’

Source: foxnews — Published: 2026-03-06T18:07:45-05:00 — Original
Secretary of War Pete Hegseth addresses concerns around homeland security as former DHS Secretary Kristi Noem was fired while war ensues in Iran. Virginia Gov. Abigail Spanberger hit back at Secretary of War Pete Hegseth after the Pentagon announced it would cut ties and funding relationships with n…
thumbnail

‘Assault on children’: Calls grow for probe into Iran girls’ school attack

Published: 2026-03-06T18:04:51Z — Original
‘No excuse for killing girls in a classroom,’ UN experts say, amid push for justice after Minab primary school assault. Share Save Calls are growing for an independent investigation into an attack on a girls’ school in southern Iran that killed 165 young pupils this week, with United Nations experts…
thumbnail

Barbary lion: Two of the world's rarest lions put to sleep at zoo

Published: 2026-03-06T18:04:17.570Z — Original
Two of the world's rarest lions have died at a zoo. The Barbary lionesses, Thheiba and Fidda, were 22 years old and were the remaining two females at Belfast Zoo. The zoo said they will be "fondly remembered" by staff and visitors. Barbary lions are now extinct in the wild. They were previously hous…
thumbnail

Four illegal immigrants linked to MS-13 indicted for allegedly murdering 14-year-old boy in Maryland park

Source: foxnews — Published: 2026-03-06T18:02:22-05:00 — Original
Fox News Flash top headlines are here. Check out what's clicking on FoxNews.com. Four illegal migrants, who are members of the notorious MS-13 gang, have been indicted after they allegedly brutally murdered a 14-year-old boy in a Maryland park. Jose Merlos-Majano, 18, Alan Josai Garcia-Padilla, 21, …
thumbnail

19 "Bridgerton" Season 4 Has Secret Details That Will Completely Change How You Watch The Show

Source: buzzfeed — Published: 2026-03-06T18:01:10.000Z — Original
Oh, so that's why they made that Lady Whistledown call. I’m an award-winning writer and editor living in New York City, where I currently work at BuzzFeed as the Senior Lifestyle Editor. 🐝 There are obviously MASSIVE spoilers ahead for Bridgerton Season 4! 🐝 Some of the songs from the soundtrack inc…
thumbnail

32 Products With Results So Mind-Blowing, You'll Wonder If Your Eyes Are Playing Tricks On You

Source: buzzfeed — Published: 2026-03-06T18:01:02.000Z — Original
We hope you love our recommendations! While every product is independently chosen by our editors, BuzzFeed and our publishing partners may collect a share of sales or other compensation from the links on this page. You can read more about how our affiliate partnerships work in our Editorial Standard…
thumbnail

NPR reporter stunned by Venezuela visit, locals say 'a weight has been lifted' after Maduro's removal

Source: foxnews — Published: 2026-03-06T18:00:43-05:00 — Original
Exclusive: FOX Business correspondent Edward Lawrence has the latest on Interior Secretary Doug Burgum's visit to Venezuela to forge rare earth mineral and energy deals on 'America Reports.' NPR correspondent Eyder Peralta was amazed during a segment Friday by his recent trip to Venezuela following …
thumbnail

Super Bowl MVP Kenneth Walker III is poised for free agency after the Seahawks' franchise tag decision

Source: foxnews — Published: 2026-03-06T17:59:01-05:00 — Original
Trent Dilfer joins Colin Cowherd to discuss Sam Darnold’s struggles and how he overcame them, Fernando Mendoza’s value as the first overall pick and whether the Seattle Seahawks have the blueprint for NFL success. For just the fourth time in the past three decades, the reigning Super Bowl MVP will l…
thumbnail

Withheld Jeffrey Epstein files with accusations against Trump released by justice department

Published: 2026-03-06T17:58:33.514Z — Original
FBI documents summarising interviews with a woman who made unsubstantiated claims of sexual assault against Donald Trump have been released as part of the US Department of Justice's (DOJ) trove of Epstein files. The release follows reports that the documents were missing from the DOJ's database, pro…
thumbnail

NHL star Evgeni Malkin ejected for slashing opponent across the face, could face suspension

Source: foxnews — Published: 2026-03-06T17:57:16-05:00 — Original
Fox News Flash top sports headlines are here. Check out what's clicking on FoxNews.com. Pittsburgh Penguins star Evgeni Malkin lost his cool during the second period of the team’s 5-1 loss to the Buffalo Sabres on Thursday at PPG Paints Arena, and slashed Rasmus Dahlin across the face. After the whi…
thumbnail

White House posts ‘American justice’ video days after Iran school attack

Published: 2026-03-06T17:51:59+00:00 — Original
White House posts 'American justice' video days after Iran school attack The White House is facing criticism for posting a video montage mixing footage from the Iran war with films and cartoons, a day after a US military probe found its forces were ‘likely responsible’ for an attack on an Iranian gi…
thumbnail

Yankees star Jazz Chisholm booed during World Baseball Classic in Great Britain-Mexico game

Source: foxnews — Published: 2026-03-06T17:46:34-05:00 — Original
David Ortiz, Derek Jeter, and Alex Rodriguez reflect on their memories from the World Baseball Classic, while Kevin Burkhardt joins the discussion as the tournament prepares for its 2026 return to FOX. New York Yankees star infielder Jazz Chisholm Jr. was booed during introductions for the World Bas…
thumbnail

GREGG JARRETT: Democrat war powers vote was an unconstitutional way to halt Iran strikes

Source: foxnews — Published: 2026-03-06T17:43:23-05:00 — Original
The IDF announced it has dismantled former Iranian Supreme Leader Ayatollah Ali Khamenei’s underground military bunker in Tehran. The Senate on Wednesday, March 4, wisely rejected a new war powers resolution aimed at halting or restricting President Donald Trump’s ability to carry out further milita…
thumbnail

Vince Gill threatened radio host during on-air confrontation over Amy Grant remarks: 'Going to kick your a--'

Source: foxnews — Published: 2026-03-06T17:38:11-05:00 — Original
Amy Grant discusses the meaning of her new single "Trees We'll Never See." The song is the first piece of new solo music that the singer has released in a decade. Vince Gill said he once nearly came to blows with a good friend after he "flipped" on him and started disparaging his wife, Amy Grant. "E…
thumbnail

Ben Stiller Is Unhappy With The White House (And He Has A Good Reason)

Source: huffpost — Published: 2026-03-06T17:38:02-0500 — Original
Ben Stiller blasted the White House on Friday after it used a clip from his 2008 comedy, ”Tropic Thunder,” for a social media post that seemed intended to get Americans pumped up for a war with Iran. The White House posted a 42-second testosterone-drenched clip on Thursday captioned “JUSTICE THE AME…
thumbnail

Has Donald Trump failed to sell the Iran war to the world?

Published: 2026-03-06T17:34:14+00:00 — Original
After yet another day of United States and Israeli strikes against Iran, Washington says there are more to come, warning of a “dramatic surge”. But with the exception of Israel, the US has not secured the active participation of any of its main allies, as was the case in previous conflicts like Iraq…
thumbnail

HuffPost Launches “Voices Of Disabled People” As The First National News Section Devoted Entirely To Disability Coverage

Source: buzzfeed — Published: 2026-03-06T17:32:07.000Z — Original
New Section Centers the Stories of the 1 in 4 Adults in the U.S. Living with Disabilities New York, NY — March 6, 2026 — Today, HuffPost launched Voices of Disabled People, a HuffPost Voices vertical dedicated entirely to telling the stories and experiences of people living with disability. HuffPost…
thumbnail

Meghan Markle and Netflix end lifestyle brand partnership as critics say they 'got Markled enough'

Source: foxnews — Published: 2026-03-06T17:32:07-05:00 — Original
Ingrid Seward, editor-in-chief of Majesty magazine and author of "My Mother and I," explains why the feud between the royal brothers remains unresolved five years on. Meghan Markle and Netflix have officially parted ways. The streaming giant and Markle announced the end of their partnership on Frida…
thumbnail

While UN Issues mixed signals, Witkoff exposes Iran's nuclear evasion ‘pride’

Source: foxnews — Published: 2026-03-06T17:32:05-05:00 — Original
U.S. Special Envoy to the Middle East Steve Witkoff details the nuclear negotiation talks with Iran on 'Hannity.' The stunning details revealed by Steve Witkoff on his talks with Iran and their boastful remarks about its nuclear program have seemingly fallen on deaf ears at the U.N. nuclear agency. …
thumbnail

Sorry, But Only True "Peaky Blinders" Fans Can Get 10/14 On This Trivia Quiz

Source: buzzfeed — Published: 2026-03-06T17:31:03.000Z — Original
Want to get your very own quizzes and posts featured on BuzzFeed’s homepage and app?
thumbnail

Take This Looooong Quiz And I'll Reveal Which Pokémon Type You Are!

Source: buzzfeed — Published: 2026-03-06T17:31:03.000Z — Original
Want to get your very own quizzes and posts featured on BuzzFeed’s homepage and app?
thumbnail

I Highly Doubt You Can Match These Locations To Their '90s Film, So Try And Prove Me Wrong

Source: buzzfeed — Published: 2026-03-06T17:31:02.000Z — Original
This quiz will test how sharp your memory is. An earlier version of this quiz included an incorrect question. It has now been fixed. Want to get your very own quizzes and posts featured on BuzzFeed’s homepage and app?
thumbnail

A Family Found a Strange Metal Sphere in the Woods. It Started Moving on Its Own—Then the Navy Got Involved.

Source: yahoo — Published: 2026-03-06T17:29:00.000Z — Original
"Hearst Magazines and Yahoo may earn commission or revenue on some items through these links." Here’s what you’ll learn when you read this story: Some still question the origins of the strange steel ball that a Florida family found on their property in 1974. Could it be alien technology? The militar…
thumbnail

Human rights court orders Peru to pay compensation for a 1997 forced sterilization death

Source: yahoo — Published: 2026-03-06T17:26:29.000Z — Original
LIMA, Peru (AP) — The Inter-American Court of Human Rights issued a judgment and ordered Peru to pay reparations for the death of a mother of three who died in 1997 as part of a forced sterilization program under the administration of the late Alberto Fujimori. The landmark ruling on Thursday is the…
thumbnail

2 'Lazarus' animals thought to be extinct for over 7,000 years found alive in New Guinea

Source: yahoo — Published: 2026-03-06T17:25:06.000Z — Original
Two marsupial species thought long extinct, until now known only from fossils, were found alive in New Guinea through a collaboration of scientists, indigenous communities and citizen scientists. The discovery of the pygmy long-fingered possum and the ring-tailed glider marks the first confirmation …
thumbnail

After the strikes, how would the US secure Iran’s enriched uranium?

Source: foxnews — Published: 2026-03-06T17:23:27-05:00 — Original
Fox News senior White House correspondent Peter Doocy has the latest on the response to the Iranian strikes on 'Jesse Watters Primetime.' When War Secretary Pete Hegseth was asked recently whether U.S. forces would ever move to secure enriched uranium reportedly stored at Iran’s Isfahan nuclear comp…
thumbnail

Intercontinental Exchange Inc. (ICE) Stock Forecasts

Source: yahoo — Published: 2026-03-06T17:19:31+00:00 — Original
Argus • Mar 06, 2026 Symbols Sector(s) Financial Services Rating Earnings Estimate Current Price $166.19 Price Target Summary Intercontinental Exchange is a network of regulated exchanges and clearing houses for financial and commodity markets, fixed-income pricing, and analytics. It also has a grow…
thumbnail

US gold medalist Amber Glenn says she would decline White House invitation

Source: foxnews — Published: 2026-03-06T17:17:38-05:00 — Original
Fox News Flash top sports headlines are here. Check out what's clicking on FoxNews.com. Don't expect at least one Olympic gold medalist in Washington, D.C., any time soon. After being asked about Olympians not accepting invites to the White House, 2026 Olympic gold medalist Amber Glenn told Us Weekl…
thumbnail

"He Said He Was Done 'Training' Me For Sex": Women Share The Exact Moment That Made Them Dump Their Partner, And The Bar Is In HELL

Source: buzzfeed — Published: 2026-03-06T17:16:02.000Z — Original
"He punched the wall and screamed at me for not having sex with him at 1 am." "Our mates cleaned him in the shower and then he threw up on a glass door in the living room. Apparently he was asking for me so they called me. I went there and most of the women told me that he was hitting on them. I the…
thumbnail

Scotiabank Cuts Essex Property Trust (ESS) Target, Says Multifamily Recovery Still Uneven

Source: yahoo — Published: 2026-03-06T17:15:57.000Z — Original
Essex Property Trust, Inc. (NYSE:ESS) is included among the 15 Best Stocks to Buy Now for Passive Income. On March 4, Scotiabank analyst Nicholas Yulico lowered the firm’s price recommendation on Essex Property Trust, Inc. (NYSE:ESS) to $278 from $284. The analyst reiterated an Outperform rating on …
thumbnail

Blackstone (BX) Coverage Reinstated by Barclays with $126 Price Target

Source: yahoo — Published: 2026-03-06T17:15:42.000Z — Original
Blackstone Inc. (NYSE:BX) is included among the 15 Best Stocks to Buy Now for Passive Income. Photo by Dan Dennis on Unsplash On March 5, Barclays analyst Benjamin Budish reinstated coverage of Blackstone Inc. (NYSE:BX) with an Equal Weight rating. The analyst set a $126 price target on the stock af…
thumbnail

Lincoln National (LNC) Price Target Cut to $46 at Morgan Stanley in Insurance Sector Update

Source: yahoo — Published: 2026-03-06T17:14:59.000Z — Original
Lincoln National Corporation (NYSE:LNC) is included among the 15 Best Stocks to Buy Now for Passive Income. On March 3, Morgan Stanley lowered its price recommendation on Lincoln National Corporation (NYSE:LNC) to $46 from $50. The firm reiterated an Overweight rating on the shares. The firm said it…
thumbnail

Pope Leo says he 'can't comment' on 20-year sentence of Hong Kong pro-democracy activist Jimmy Lai

Source: foxnews — Published: 2026-03-06T17:14:56-05:00 — Original
Claire Lai, daughter of imprisoned Hong Kong pro-Democracy media tycoon Jimmy Lai, discusses Olympic skier Eileen Gu’s decision to compete for China on ‘The Ingraham Angle.’ Pope Leo XIV this week said he "can’t" comment on the 20-year sentence imposed on a democracy activist in Hong Kong.  "I can’t…
thumbnail

These 14 Questions Will Reveal Which "Outlander" Man Is Your True Soulmate

Source: buzzfeed — Published: 2026-03-06T17:14:47.000Z — Original
Want to get your very own quizzes and posts featured on BuzzFeed’s homepage and app?
thumbnail

Barclays Lifts Extra Space Storage (EXR) Target as Self-Storage REIT Models Are Updated

Source: yahoo — Published: 2026-03-06T17:14:16.000Z — Original
Extra Space Storage Inc. (NYSE:EXR) is included among the 15 Best Stocks to Buy Now for Passive Income. On March 5, Barclays raised its price recommendation on Extra Space Storage Inc. (NYSE:EXR) to $170 from $164. It reiterated an Overweight rating on the shares. The firm said it updated its models…
thumbnail

VICI Properties (VICI) Price Target Cut to $34 at Baird Following Earnings Update

Source: yahoo — Published: 2026-03-06T17:14:10.000Z — Original
VICI Properties Inc. (NYSE:VICI) is included among the 15 Best Stocks to Buy Now for Passive Income. On March 2, Baird lowered its price recommendation on VICI Properties Inc. (NYSE:VICI) to $34 from $36. It kept an Outperform rating on the shares. The firm said it updated its model following the co…
thumbnail

B&G Foods (BGS) Price Target Raised to $5 at Barclays After Green Giant Sale Move

Source: yahoo — Published: 2026-03-06T17:13:46.000Z — Original
B&G Foods, Inc. (NYSE:BGS) is included among the 15 Best Stocks to Buy Now for Passive Income. On March 5, Barclays analyst Andrew Lazar raised the firm’s price recommendation on B&G Foods, Inc. (NYSE:BGS) to $5 from $4 and kept an Equal Weight rating on the shares. The firm said it believes the com…
thumbnail

Nvidia pauses new AI startup bets after backing OpenAI, Anthropic

Source: yahoo — Published: 2026-03-06T17:13:45.000Z — Original
Nvidia (NASDAQ: NVDA) appears ready to step back from making major equity investments in artificial intelligence startups. Speaking at the Morgan Stanley Technology, Media and Telecom conference in San Francisco on March 4, Nvidia CEO Jensen Huang suggested the chipmaker may have written its final b…
thumbnail

Granite Ridge (GRNT) Earnings Call Transcript

Source: yahoo — Published: 2026-03-06T17:13:28.000Z — Original
Image source: The Motley Fool. Friday, Mar. 6, 2026, at 11 a.m. ET President and Chief Executive Officer — Tyler Parkinson Chief Financial Officer — Kyle Kettler Need a quote from a Motley Fool analyst? Email pr@fool.com Tyler Parkinson, our President and Chief Executive Officer, who will review the…
thumbnail

US job market stalls, unemployment rate rises before Fed decision

Published: 2026-03-06T17:11:16Z — Original
The healthcare sector was hit the hardest while tariff expose sectors remained stagnant Share Save The United States economy unexpectedly lost 92,000 jobs in February, and the unemployment rate ticked up to 4.4 percent, marking the sixth contraction of the US job market of the Trump administration. …
thumbnail

Trump Demands “Unconditional Surrender,” Iran Says Bring On The Ground Invasion

Source: yahoo — Published: 2026-03-06T17:10:02.000Z — Original
U.S. President Donald Trump says there “will be no deal” with Iran unless it surrenders unconditionally, a day after Iran’s Foreign Minister said the country was prepared to stand up to a ground invasion. Trump has also said that any new leadership of the country would have to be “acceptable” to the…
thumbnail

Frank Talk: The AI defense supercycle has already begun

Source: yahoo — Published: 2026-03-06T17:10:00.000Z — Original
Artificial intelligence is no longer just a buzzword. It’s fueling a defense-driven spending boom that investors can’t ignore. In his latest op-ed, Frank Holmes, CEO of U.S. Global Investors (NASDAQ:GROW), argues that the AI-in-defense supercycle has already begun. From the Pentagon’s recent push fo…
thumbnail

Actor Ben Stiller asks Trump White House to remove 'Tropic Thunder' footage from war montage

Source: foxnews — Published: 2026-03-06T17:09:22-05:00 — Original
Sunday Ben Stiller took to Twitter to suggest replacing the statue of former President Theodore Roosevelt outside the American Museum of Natural History with one of late actor Robin Williams. Liberal actor Ben Stiller called out the White House on Friday for using a clip from his comedy film "Tropic…
thumbnail

Why Did Chipotle Mexican Grill Stock Drop Today?

Source: yahoo — Published: 2026-03-06T17:06:56.000Z — Original
Matt Curtis, a Wall Street analyst at DA Davidson, initiated coverage of Chipotle Mexican Grill (NYSE: CMG) stock with a buy rating and a $51 price target, reports TheFly.com today. The stock didn't react as you'd expect to the good news, however. It didn't go up. Instead, it fell 3.6% through 11:30…
thumbnail

Two moose die as Michigan DNR expands U.P. collaring study to 56 animals

Source: yahoo — Published: 2026-03-06T17:05:53.000Z — Original
MARQUETTE, Mich. – Two moose died during a wildlife research effort in Michigan’s Upper Peninsula last month, though officials say the project now has placed data-collecting tracking collars on 56 animals. Scientists are studying the herd to determine why the population has remained stagnant – and e…
thumbnail

Girl Scouts troop draws buzz after runaway cookie sales outside cannabis shop

Source: foxnews — Published: 2026-03-06T17:05:37-05:00 — Original
Fox News’ Mark Meredith joins ‘America’s Newsroom’ to break down the growing ‘California Sober’ trend among Gen Z, how increased cannabis use may be driving down alcohol consumption and the possible risks, including dependency. A New Jersey Girl Scouts troop found cookie sales in high demand outside…
thumbnail

Coast Guard rescue swimmer dies after medical evacuation mission off Washington coast turns tragic

Source: foxnews — Published: 2026-03-06T17:05:04-05:00 — Original
USCG rescue swimmer and Legion of Merit recipient Scott Ruskan discusses being honored by President Donald Trump at the State of the Union and reuniting with a girl he saved on ‘The Will Cain Show.’ The U.S. Coast Guard on Friday confirmed Petty Officer 2nd Class Tyler Jaggers, an aviation survival …
thumbnail

Two Florida students, 10 and 11, arrested over alleged shooting threats: 'Discipline your kids'

Source: foxnews — Published: 2026-03-06T17:04:18-05:00 — Original
Police arrested the two young students in separate incidents after they allegedly made threats against classmates and teachers. (Credit: Volusia Sheriff's Office via Facebook) Two Volusia County, Florida, students — ages 10 and 11 — were arrested in separate incidents this week after allegedly makin…
thumbnail

Cronos Group (CRON) Q4 2025 Earnings, Here’s a Snapshot

Source: yahoo — Published: 2026-03-06T17:02:23.000Z — Original
Cronos Group Inc. (NASDAQ:CRON) is one of the Low Risk Penny Stocks to Buy Now. On February 26, Cronos Group Inc. (NASDAQ:CRON) reported its fiscal Q4 2025 earnings. The company posted $44.53 million in quarterly revenue, up 47.1% year-over-year and ahead of expectations by $5.78 million. Management…
thumbnail

Osisko Development (ODV) Resums Activities at Cariboo Gold Project

Source: yahoo — Published: 2026-03-06T17:02:16.000Z — Original
Osisko Development Corp. (NYSE:ODV) is one of the Low Risk Penny Stocks to Buy Now. On March 2, Osisko Development Corp. (NYSE:ODV) announced resuming activities at its Cariboo Gold Project in British Columbia. The Cariboo Gold Project was temporarily suspended in January 2026 after an isolated, tra…
thumbnail

Roth Capital Lowers PT on Playtika Holding (PLTK), Keeps a Hold Rating

Source: yahoo — Published: 2026-03-06T17:02:07.000Z — Original
Playtika Holding Corp. (NASDAQ:PLTK) is one of the Low Risk Penny Stocks to Buy Now. On March 5, Roth Capital lowered the firm’s price target on Playtika Holding Corp. (NASDAQ:PLTK) from $4 to $3, while maintaining a Hold rating on the stock. ​The rating is based on the company’s fiscal Q4 2025 earn…
thumbnail

UBS Raises PT on Iovance Biotherapeutics (IOVA)

Source: yahoo — Published: 2026-03-06T17:01:58.000Z — Original
Iovance Biotherapeutics, Inc. (NASDAQ:IOVA) is one of the Low Risk Penny Stocks to Buy Now. On March 5, UBS analyst David Dai raised the firm’s price target on Iovance Biotherapeutics, Inc. (NASDAQ:IOVA) from $2 to $4, while maintaining a Neutral rating on the stock. ​The improved price target is ba…
thumbnail

BoFA Lowers PT on Recursion Pharmaceuticals (RXRX), Keeps a Hold Rating

Source: yahoo — Published: 2026-03-06T17:01:51.000Z — Original
Recursion Pharmaceuticals, Inc. (NASDAQ:RXRX) is one of the Low Risk Penny Stocks to Buy Now. On February 27, Bank of America Securities reiterated a Hold rating on Recursion Pharmaceuticals, Inc. (NASDAQ:RXRX) but lowered the price target from $7 to $6. ​The firm said in a research note that the co…
thumbnail

Baytex Energy (BTE) Releases FQ4 2025 Results, Enters 2026 as a Pure-Play Canadian Operator

Source: yahoo — Published: 2026-03-06T17:01:43.000Z — Original
Baytex Energy Corp. (NYSE:BTE) is one of the Low Risk Penny Stocks to Buy Now. On March 4, Baytex Energy Corp. (NYSE:BTE) announced its fiscal Q4 2025 results along with the strategic transformation into a pure-play Canadian operator. ​The company reported quarterly revenue of $534.08 million, refle…
thumbnail

LIVE: Celta Vigo vs Real Madrid – La Liga

Published: 2026-03-06T17:01:40Z — Original
Follow our live build-up, with team news coverage, before our text commentary stream as Real target gap to Barcelona. Share Save
thumbnail

Iranian schools, hospital and landmarks among civilian sites hit during US-Israeli strikes

Published: 2026-03-06T17:01:40.281Z — Original
Schools, a hospital and historic landmarks have been severely damaged since US and Israeli strikes on Iran began on Saturday, satellite images and verified videos show, as the number of reported civilian casualties grows. According to the US-based Human Rights Activists News Agency (HRANA) 1,168 civ…
thumbnail

Cosan (CSAN)’s JV, Raizen Discussing $765 Million Injection

Source: yahoo — Published: 2026-03-06T17:01:36.000Z — Original
Cosan S.A. (NYSE:CSAN) is one of the Low Risk Penny Stocks to Buy Now. On March 4, Reuters reported that Cosan S.A. (NYSE:CSAN)’s joint venture with Shell Plc, Raizen, is reviewing a 4 billion real ($765 million) capital injection by Shell Plc and 500 million from an investment vehicle tied to Cosan…
thumbnail

Ultrapar Participações (UGP) Reports Q4 2025 Earnings, Here’s What You Need to Know

Source: yahoo — Published: 2026-03-06T17:01:28.000Z — Original
Ultrapar Participações S.A. (NYSE:UGP) is one of the Low Risk Penny Stocks to Buy Now. On March 4, Ultrapar Participações S.A. (NYSE:UGP) reported its fiscal Q4 2025 earnings. ​The company reported quarterly revenue of $6.66 billion, surpassing estimates of $6.51 billion. The EPS of $0.0713 was larg…
thumbnail

Alarming report reveals what’s driving deadly cancer surge in young adults

Source: foxnews — Published: 2026-03-06T17:01:28-05:00 — Original
→ Origin of deadly cancer affecting young adults revealed in alarming report → Scientists make startling discovery when examining prostate cancer tissue → Seniors over 80 who eat specific diet may be less likely to reach 100 Colorectal cancer rates are surging among younger adults, with those 65 and…
thumbnail

Enel Chile (ENIC) Partners With Senapred to Improve Emergency Response Handling

Source: yahoo — Published: 2026-03-06T17:01:22.000Z — Original
Enel Chile S.A. (NYSE:ENIC) is one of the Low Risk Penny Stocks to Buy Now. On March 5, Enel Chile S.A. (NYSE:ENIC) announced signing a new partnership with Chile’s National Disaster Prevention and Response Service (Senapred) to improve emergency response handling. The main area of focus for this co…
thumbnail

Morgan Stanley Remains a Buy on Grab Holding (GRAB) Here’s Why

Source: yahoo — Published: 2026-03-06T17:01:10.000Z — Original
Grab Holdings Limited (NASDAQ:GRAB) is one of the Low Risk Penny Stocks to Buy Now. On February 20, Morgan Stanley analyst Divya Gangahar maintained a Buy rating on Grab Holdings Limited (NASDAQ:GRAB) without disclosing any price targets. ​The analyst said in a research note that her bullish rating …
thumbnail

14 Genuinely Fascinating Words In Other Languages That English Seriously Needs

Source: buzzfeed — Published: 2026-03-06T17:01:02.000Z — Original
As a full-time writer at BuzzFeed Canada, I cover all things pop culture and food. "In Polish, just like in Russian, the is a word that specifically means a 24-hour period. It's 'doba' in Polish." "And in the spirit of 'blunda,' we also have 'gapa' to have your mouth open." Note: Some responses have…
thumbnail

Someone Needs To Get These 28 Things From Etsy For Me (Or For Themselves)

Source: buzzfeed — Published: 2026-03-06T17:01:02.000Z — Original
We hope you love our recommendations! While every product is independently chosen by our editors, BuzzFeed and our publishing partners may collect a share of sales or other compensation from the links on this page. You can read more about how our affiliate partnerships work in our Editorial Standard…
thumbnail

Death and taxes: Yes, you owe the year you die

Source: yahoo — Published: 2026-03-06T17:00:41.000Z — Original
No one likes to think about death or taxes. But your tax obligations don’t disappear when you die. That means your loved ones don’t just have to think about honoring your final wishes — they may also need to file your final tax return. Maybe you’re wondering: How can the IRS come after me if I'm dea…
thumbnail

JB Pritzker Trolls Kristi Noem With Updated Job Title Referencing Her Former Dog Days

Source: huffpost — Published: 2026-03-06T16:58:43-0500 — Original
Illinois Gov. JB Pritzker joined numerous Democrats on Thursday in celebrating the ousting of now-former Homeland Security Secretary Kristi Noem, addressing her directly in a fiery video message and trolling her with an updated social media bio. Pritzker has been an outspoken critic of President Don…
thumbnail

UK immigration officers 'working for China' arrested after forcing entry into flat, court hears

Published: 2026-03-06T16:56:11.741Z — Original
Two UK immigration officers who had allegedly been hired by a Chinese-Australian woman were arrested after forcing entry into a flat in Pontefract, a jury has heard. The moment the door to the flat was forced was recorded on an audio eavesdropping device - a bug - that UK law enforcement had put in …
thumbnail

Kemi Badenoch presses Starmer to strike Iranian missile sites

Published: 2026-03-06T16:55:10.158Z — Original
Conservative leader Kemi Badenoch has stepped up her calls for the government to authorise the RAF to strike Iran's missile launch sites. The UK has given permission for the US to use British bases to conduct defensive strikes on the facilities, but has not taken part in the action itself. RAF jets …
thumbnail

Driver jailed for killing Aalia Mahomed in van crash on Strand

Published: 2026-03-06T16:52:02.447Z — Original
A driver killed a student in central London when he mistakenly pressed the accelerator pedal instead of the brakes of an electric transit van he had never driven before, the Old Bailey has heard. Aalia Mahomed, 20, who was in her second year of studying a physics and philosophy degree at King's Coll…
thumbnail

Shohei Ohtani opens World Baseball Classic with explosive grand slam as Japan annihilates Taiwan

Source: foxnews — Published: 2026-03-06T16:49:35-05:00 — Original
Dave Roberts joins Colin Cowherd on The Herd to discuss managing Shohei Ohtani, the greatest player in baseball, and what he brings to the Los Angeles Dodgers both on and off the field. Shohei Ohtani started the World Baseball Classic off with a boom.  The Team Japan captain hit a grand slam in the …
thumbnail

Three women interviewed under caution as part of Mohamed Al Fayed investigation

Published: 2026-03-06T16:42:49.756Z — Original
Three women have been interviewed under caution over offences including human trafficking and facilitating rape, as part of an investigation into former Harrods boss Mohamed Al Fayed, the Metropolitan Police have said. The Met said three women aged in their 40s, 50s and 60s were interviewed between …
thumbnail

Boomers Should Buy 5 Ultra-Safe Dividend Investments Before Total Market Meltdown

Source: yahoo — Published: 2026-03-06T16:39:26.000Z — Original
While many Baby Boomers have enjoyed a long bull market over the past 35 years, there is a point when income becomes more critical than stock appreciation. The reason is simple: those who leave their careers to enjoy a well-deserved retirement lose the benefits of a regular salary and their jobs, su…
thumbnail

What Should You Do To Relax When Losing An Hour For Daylight Saving Time?

Source: buzzfeed — Published: 2026-03-06T16:36:17.000Z — Original
Do you prefer to spring forward or fall back? Want to get your very own quizzes and posts featured on BuzzFeed’s homepage and app?
thumbnail

Virginia Dems push anti-ICE bills days after Spanberger rejects detainer for illegal immigrant murder suspect

Source: foxnews — Published: 2026-03-06T16:35:54-05:00 — Original
Gov. Abigail Spanberger, D-Va., praises anti-ICE protests and school walkouts across the country in Democrats' response to President Donald Trump's State of the Union address. Democrats in the Virginia state legislature took steps to advance laws aimed at restricting Immigration and Customs Enforcem…
thumbnail

Team Noem Fires Back at White House, Suggests Trump Lied About Ad Campaign

Source: yahoo — Published: 2026-03-06T16:35:20.000Z — Original
(AP Photo/Jeff Dean) Secretary of Homeland Security Kristi Noem’s allies are pushing a counternarrative in the wake of President Donald Trump’s announcement that she would be leaving her post at the end of this month. According to The Daily Caller’s Reagan Reese, Noem had “grievances” with the Trump…
thumbnail

Nancy Guthrie Update: Good News from Pima County Sheriff's Department

Source: yahoo — Published: 2026-03-06T16:32:14.000Z — Original
On, Friday, March 6, the search for Nancy Guthrie continued, and it entered its 34th day of the investigation with no named suspect or suspects. Nancy Guthrie, the mother of NBC "Today" show host Savannah Guthrie, disappeared from her Tucson, Arizona, residence on Feb. 1. Officials think she was tak…
thumbnail

People Are Sharing The Technology That Felt “Futureproof” But Immediately Became Outdated

Source: buzzfeed — Published: 2026-03-06T16:31:01.000Z — Original
"The Internet was for everyone; anybody could have their own space on the web and put whatever they liked up, for free! Now, like in much of life, free spaces are pretty much all gone, and everything is just an excuse to charge more money." "The subscription economy wasn’t really a thing back then. …
thumbnail

Nancy Guthrie's neighbors flag camera glitching as experts explain Wi-Fi jamming

Source: foxnews — Published: 2026-03-06T16:29:03-05:00 — Original
Heather Barnhart, a Cellebrite digital forensics expert who helped land Bryan Kohberger in prison for life, explains his big smartphone mistake and new clues in Nancy Guthrie’s suspected kidnapping. TUCSON, Ariz. — The task force investigating the February abduction of "Today" co-host Savannah Guthr…
thumbnail

Miami (OH) AD David Sayler Rips Bruce Pearl, Suggests TV ‘Disclaimer’ Over Auburn Bias In NCAA Tournament

Source: foxnews — Published: 2026-03-06T16:27:39-05:00 — Original
Fox News Flash top sports headlines are here. Check out what's clicking on FoxNews.com. In the midst of a shiny and perfect season by his men's basketball team that has caught the attention of college basketball fans across the country, Miami (OH) AD David Sayler has clapped back at former Auburn he…
thumbnail

Dem official pleads guilty to child abuse for driving drunk at triple legal limit, enters diversion program

Source: foxnews — Published: 2026-03-06T16:27:08-05:00 — Original
Bodycam video shows former mayor Gina LaPlaca taking a field sobriety test as officers move her child to the curb for safety. (Credit: Lumberton Township, N.J. Police Department) A New Jersey township official pleaded guilty Monday to child abuse and driving under the influence after prosecutors sai…
thumbnail

Residents flee as Israel pounds south Beirut

Published: 2026-03-06T16:23:57.148Z — Original
There is fear and confusion on the streets of Beirut as people displaced from their homes by sweeping Israeli evacuation orders wait to see what happens next. Communities across huge swathes of Lebanon - including the south of the country and the capital's southern suburbs - have been told by Israel…
thumbnail

Israel extending ‘Gaza playbook’ to Lebanon, charity warns

Published: 2026-03-06T16:21:39Z — Original
Medical Aid for Palestinians accuses Israel of ‘deliberately terrorising civilian populations’ across Lebanon. Share Save Israel is exporting its “Gaza playbook” to Lebanon, a nonprofit group has warned, as the Israeli military continues to attack the country after ordering the forced displacement o…
thumbnail

Can you spot the venomous snake freezing in place to avoid detection?

Source: yahoo — Published: 2026-03-06T16:16:52.000Z — Original
An expert who captures and relocates snakes for concerned residents in Newcastle, Australia, recently shared an amusing scene she documented while responding to a call. It involved a highly venomous red-bellied black snake, a brick wall, and garden hose. Can you spot the snake seemingly frozen in pl…
thumbnail

Israeli troops push into Lebanon to seize key border positions

Published: 2026-03-06T16:16:05.422Z — Original
Beside Israel's northern border fence, the bursts of machine-gun fire from inside Lebanon are loud and long, as new Israeli forces push in to take strategic positions near the border. The regular rumble of air strikes echoes over the shattered remains of Shia villages, destroyed during Israel's last…
thumbnail

Russia was behind parcel fires in UK and Europe, investigators say

Published: 2026-03-06T16:05:28.824Z — Original
Russia's military intelligence service is suspected to be behind a series of parcel fires that targeted the UK and Europe, investigators have said. European and British authorities launched a joint investigation after several self-igniting parcels detonated in Germany, Poland and at a DHL depot in t…
thumbnail

26 Products That Will Help You Create A WFH Space All Your Colleagues Will Marvel At Over Zoom

Source: buzzfeed — Published: 2026-03-06T16:01:02.000Z — Original
We hope you love our recommendations! While every product is independently chosen by our editors, BuzzFeed and our publishing partners may collect a share of sales or other compensation from the links on this page. You can read more about how our affiliate partnerships work in our Editorial Standard…
thumbnail

Flight paths squeezed as Iran conflict closes more airspace

Published: 2026-03-06T15:58:49.525Z — Original
The closure of airspace over the southern half of Azerbaijan is putting additional pressure on airlines scrambling to respond to disruption caused by the conflict in the Gulf. Flight traffic had already been severely disrupted in a region which in normal times acts as a significant hub for the globa…
thumbnail

In a bid to counter China, Trump hosts a summit for Latin America leaders

Published: 2026-03-06T15:55:29Z — Original
Experts say Trump must offer ‘tangible economic benefits’ to Latin America to curb China’s growth in the region. Share Save Over the past two decades, China has quietly eclipsed the United States as the dominant trading partner in parts of Latin America. But since taking office for a second term, Un…
thumbnail

Ex-Michigan football coach Sherrone Moore walks into court hand-in-hand with wife ahead of latest hearing

Source: foxnews — Published: 2026-03-06T15:54:31-05:00 — Original
Fox News Flash top sports headlines are here. Check out what's clicking on FoxNews.com. Former Michigan head coach Sherrone Moore was spotted holding hands with his wife, Kelli, inside an Ann Arbor district court on Friday morning. Moore is the subject of a criminal case after he was arrested shortl…
thumbnail

US signals readiness to escort tankers through Hormuz as traffic thins but no mission launched

Source: foxnews — Published: 2026-03-06T15:54:14-05:00 — Original
ClearView Energy Partners’ Kevin Book analyzes the potential impacts of U.S. strikes in Iran on global oil prices on ‘Special Report.’  Energy Secretary Chris Wright said the U.S. Navy could begin escorting commercial vessels through the Strait of Hormuz "as soon as reasonable," reinforcing Presiden…
thumbnail

Gospel and Christian music: Singers praise new official UK chart

Published: 2026-03-06T15:51:06.608Z — Original
There's no shortage of famous quotes about how much music means to people. But ask singer-songwriter Laura Ehio why she decided to pick up a guitar and it goes even deeper. "My journey as a Christian, I think that's the only thing I could ever write about," the 25-year-old says. "I've always been in…
thumbnail

Former Nickelodeon Star Compares His Stillborn Daughter To Charlie Kirk: ‘So Much More Impactful After’

Source: huffpost — Published: 2026-03-06T15:47:38-0500 — Original
Carlos PenaVega is drawing a startling parallel between the loss of his daughter and the fatal shooting of conservative activist Charlie Kirk. The actor and singer appeared on the “Upload with Brooke Taylor” podcast this week alongside his wife, Alexa PenaVega. In the interview, the pair spoke at le…
thumbnail

FLASHBACK: Dem Senate nominee called illegal aliens 'constituents,' gave advice on evading ICE

Source: foxnews — Published: 2026-03-06T15:45:47-05:00 — Original
Fox News contributor Kaylee McGhee White and former Biden White House aide Yemisi Egbewole weigh in on Texas Senate Democrat primary winner James Talarico's progressive views and conflict between GOP candidates John Cornyn and Ken Paxton. James Talarico, a Democratic candidate for Senate in Texas, o…
thumbnail

Thousands of Syrian refugees flee Lebanon after Israeli strikes

Published: 2026-03-06T15:45:36+00:00 — Original
Thousands of Syrian refugees flee Lebanon after Israeli strikes Thousands of Syrian refugees are fleeing Israeli strikes across Lebanon and trying to return to Syria. Al Jazeera’s Obaida Hitto is at the border, where there are growing fears of a humanitarian crisis. Share Save
thumbnail

Highly contagious virus with no treatment spreading rapidly through western state

Source: foxnews — Published: 2026-03-06T15:45:09-05:00 — Original
Senior medical analyst Dr. Marc Siegel weighs in after the U.S. issued a travel warning in response to the chikungunya virus outbreak in China.  Cold, flu and COVID may get the most attention, but a lesser-known, highly contagious virus is taking the West Coast by storm. Wastewater SCAN data show th…
thumbnail

White House Melds Video Game With Real War Footage To Stir Up Anger Online

Source: huffpost — Published: 2026-03-06T15:44:50-0500 — Original
Donald Trump’s White House once again blurred gaming with real-life war on Friday when the administration posted a video featuring clips from Grand Theft Auto and what appears to be real footage of strikes on Iranian targets. The post — part of a trolling social media presence intended to get a rise…
thumbnail

I Made Everyone I Know Take This Relationship Honesty Test With Me And Whew, I Was. Not. Prepared.

Source: buzzfeed — Published: 2026-03-06T15:40:38.000Z — Original
I learned more about my boyfriend in 15 questions than I did in 3 years of dating. Who has better music taste? Who takes longer to get ready? We're asking the super important questions here. 1. Answer the 15 questions honestly from your POV. 2. Share the private link with the person of your choice. …
thumbnail

Far-left podcaster goes on profane anti-ICE, anti-Trump rant after winning GLAAD award

Source: foxnews — Published: 2026-03-06T15:34:55-05:00 — Original
Far-left podcast host Jennifer Welch said during a conversation with ex-CNN host Don Lemon on her "I've Had It" podcast that Charlie Kirk "justified" his own killing. "I've had It" podcast host Jennifer Welch went on a profanity-laced tirade while speaking onstage at the GLAAD Media Awards on Thursd…
thumbnail

15 Years After "Wanted," Hunter Hayes Opens Up About Growth, Fame, and New Album "Evergreen"

Source: buzzfeed — Published: 2026-03-06T15:31:02.000Z — Original
Multi-platinum musician Hunter Hayes opens up about new album "Evergreen," his growth as an independent artist, and the lessons he’s carried since his debut. I’m a pop-culture writer covering everything from TV and movies, to music, Broadway, books, and games. Back in 2011 my twin sister heard the w…
thumbnail

Raiders to move on from Geno Smith after one season despite $75 million extension: reports

Source: foxnews — Published: 2026-03-06T15:28:10-05:00 — Original
Fox News Flash top sports headlines are here. Check out what's clicking on FoxNews.com. The Las Vegas Raiders are reportedly moving on from quarterback Geno Smith. The Raiders, if they cannot find a trade partner before the start of the new league year on Wednesday, will release the 35-year-old, acc…
thumbnail

Kurdish opposition mulls whether to trust Trump after Iran uprising call

Published: 2026-03-06T15:24:47Z — Original
Iranian Kurds weigh risks of fighting government, uncertain of US and Israeli support for any uprising. Share Save Uncertainty over US and Israeli war aims is slowing the Iranian Kurdish opposition groups urged by President Donald Trump to rise up against the Islamic Republic, Kurdish analysts have …
thumbnail

Common fruit found in American kitchens may slow deadly form of breast cancer, study says

Source: foxnews — Published: 2026-03-06T15:16:00-05:00 — Original
Fox News correspondent Alexandria Hoff reports on new dietary guidelines as the Trump administration advances food ingredient reforms led by HHS Secretary Robert F. Kennedy Jr., escalating his fight with major food companies on ‘Special Report.’ A popular fruit holds compounds that might slow the gr…
thumbnail

Revolutionary Chinese 'Gran Turismo' hyper car lets air pass through its bodywork

Source: yahoo — Published: 2026-03-06T15:15:00.000Z — Original
Revolutionary Chinese 'Gran Turismo' hyper car lets air pass through its bodywork. This revolutionary new hypercar design from Chinese firm Xiaomi allows air to pass through the car’s bodywork rather than around it. The firm, best known until now for its consumer electronics, revealed the full-scale…
thumbnail

Federal judge skeptical of Pentagon rules for reporters, saying 'asking a question is not criminal'

Source: foxnews — Published: 2026-03-06T15:13:19-05:00 — Original
Fox News Flash top headlines are here. Check out what's clicking on FoxNews.com. U.S. District Judge Paul Friedman seemed skeptical Friday of Justice Department arguments defending Pentagon restrictions on reporters covering the War Department. The New York Times and the Pentagon Press Association a…
thumbnail

Iran security forces issue shoot-to-kill orders, escalating crackdown amid growing unrest

Source: yahoo — Published: 2026-03-06T15:10:03.000Z — Original
Iranian authorities have issued direct threats against citizens as the US-Israel strikes continue, warning that security forces will use lethal force against suspected thieves and protesters. Ahmadreza Radan, commander-in-chief of Iran's Law Enforcement Forces (LEF), said Friday that police had been…
thumbnail

Tourist's bird-brained Vegas stunt with flamingo lands him behind bars on felony charges

Source: foxnews — Published: 2026-03-06T15:09:34-05:00 — Original
Fox News Flash top headlines are here. Check out what's clicking on FoxNews.com. A Canadian tourist’s late-night bender took a decidedly bird-brained turn when authorities say he waddled into a Las Vegas resort and casino and wrangled a resident flamingo before carrying it off to his room. Mitchell …
thumbnail

BlackRock Fund Limits Withdrawals As Redemptions Rattle Private Credit

Source: huffpost — Published: 2026-03-06T15:04:05-0500 — Original
NEW YORK, March 6 (Reuters) - BlackRock said on Friday it has limited withdrawals from a flagship debt fund after a surge in redemption requests, as investor worries mount around the $2 trillion private credit industry. Shares of the world’s largest asset manager fell 6.7% on the New York Stock Exch…
thumbnail

A Running List Of The Most Inspirational Trump Quotes About The Iran War

Source: huffpost — Published: 2026-03-06T15:02:11-0500 — Original
This article is part of HuffPost’s biweekly politics newsletter. Click here to subscribe. The U.S. is at war with Iran. Or, well, technically not, because that would require congressional approval, which didn’t happen. And it’s only going to last a few weeks, according to President Donald Trump. But…
thumbnail

‘No deal with Iran except unconditional surrender,’ Trump says

Published: 2026-03-06T15:01:51Z — Original
US president stakes out maximalist war aims as conflict wreaks havoc across the region amid rising death toll. Share Save Donald Trump has stressed that any deal with Iran must result in the country’s “unconditional surrender”, setting maximalist war objectives for the United States. The US presiden…
thumbnail

30 Gifts From Uncommon Goods That Are So Good, They'll Want To Cry Happy Tears

Source: buzzfeed — Published: 2026-03-06T15:01:02.000Z — Original
We hope you love our recommendations! While every product is independently chosen by our editors, BuzzFeed and our publishing partners may collect a share of sales or other compensation from the links on this page. You can read more about how our affiliate partnerships work in our Editorial Standard…
thumbnail

Which TV show have you rewatched the most?

Source: buzzfeed — Published: 2026-03-06T15:01:02.000Z — Original
For more questions like this delivered straight to your inbox (or if you want to suggest your own question!), sign up for my newsletter, Screen Time!
thumbnail

Sir Chris Whitty: Relying on weight-loss drugs to stop obesity would be 'societal failure'

Published: 2026-03-06T15:00:32.384Z — Original
Relying on weight-loss drugs like Wegovy and Mounjaro to tackle obesity would be a societal and medical failure, Prof Sir Chris Whitty says. England's chief medical officer says the drugs are "transformational" for people who need them, but this should be "a very small minority". Letting people beco…
thumbnail

Kristi Noem's firing fails to sway Democrats as DHS shutdown drags on

Source: foxnews — Published: 2026-03-06T15:00:15-05:00 — Original
Donald Trump nominates Oklahoma Sen. Markwayne Mullin as the new DHS secretary. Hugh Hewitt, Fox News contributor, joins 'Fox & Friends' to react. Democrats may be celebrating Kristi Noem's ouster from the Department of Homeland Security (DHS), but they are still digging their heels in against endin…
thumbnail

Did Earth life actually begin on Mars? Asteroid impacts could let microbes planet-hop, study suggests

Source: yahoo — Published: 2026-03-06T15:00:00.000Z — Original
When you buy through links on our articles, Future and its syndication partners may earn a commission. A remarkably hardy bacterium can survive pressures similar to those generated when asteroid impacts blast debris off Mars, a new study has found, suggesting that microbes could endure interplanetar…
thumbnail

MS NOW producer slammed for 'elitist' swipe at Trump's DHS pick Markwayne Mullin

Source: foxnews — Published: 2026-03-06T14:55:48-05:00 — Original
Donald Trump nominated Oklahoma Sen. Markwayne Mullin as the new DHS secretary. Hugh Hewitt, Fox News contributor, joins 'Fox & Friends' to react. A producer for MS NOW is under fire from critics accusing him of elitism over an X post about Sen. Markwayne Mullin, R-Okla., the newly-minted Department…
thumbnail

Seth Meyers Worries for Kristi Noem After Her Firing: ‘Where Is She Going to Get the Money for All Her Wonderful Costumes?!’ | Video

Source: yahoo — Published: 2026-03-06T14:52:33.000Z — Original
Former Homeland Security Secretary Kristi Noem was fired on Thursday, and Seth Meyers is pretty worried for her. Not for her political future or anything, the NBC host is just concerned for her costume budget. To kick off his “A Closer Look” segment on Thursday night, Meyers picked out the four issu…
thumbnail

Would We Be Book Besties? Pick All The Books You've Read To Find Out

Source: buzzfeed — Published: 2026-03-06T14:51:02.000Z — Original
Want to get your very own quizzes and posts featured on BuzzFeed’s homepage and app?
thumbnail

U.S. May Have Committed War Crime In Sinking Of Iranian Ship

Source: huffpost — Published: 2026-03-06T14:50:32-0500 — Original
WASHINGTON — The U.S. torpedoing of an Iranian frigate off Sri Lanka this week may have violated the Geneva Conventions by failing to help rescue sailors from the stricken warship, an act that could potentially endanger American service members in this and future wars. The 312-foot Dena and its 130-…
thumbnail

Aaron Rodgers Paints Ex-Girlfriends As 'Crazy' And Pleads: 'Just F**king Move On'

Source: huffpost — Published: 2026-03-06T14:49:36-0500 — Original
NFL star Aaron Rodgers on Wednesday slammed his ex-girlfriends as “relevance-seeking” opportunists and liars, and while he didn’t name them in the process, many of the famous women Rodgers has dated have certainly had a lot to say about him in the past. Rodgers touched on his dating history during a…
thumbnail

Oil price jumps after Qatar minister warns all Gulf production could stop

Published: 2026-03-06T14:46:03.593Z — Original
Oil prices have jumped after Qatar's energy minister warned he expects all oil and gas exporters in the Gulf to stop production within days. Saad al-Kaabi told the Financial Times the conflict in the Middle East - a region which plays a key role in global energy supplies and shipping routes - could …
thumbnail

Baby Boomers: The 3 Retirement Moves Financial Advisors Say You Can’t Afford to Skip

Source: yahoo — Published: 2026-03-06T14:45:53.000Z — Original
I've spent years digging into what separates thriving retirees from those scrambling in their golden years, and it's not rocket science. Indeed, I think it's more about dodging the pitfalls most folks trip over. My research has led me back to many of the same issues I see proliferate again and again…
thumbnail

The Right Is Now ‘Transvestigating’ Erika Kirk And Sydney Sweeney

Source: huffpost — Published: 2026-03-06T14:44:41-0500 — Original
For a certain paranoid slice of the internet, a cabal of “secretly” trans celebrities and public figures has been operating right under our noses. For years, they’ve claimed that Michelle Obama is a man, circulating photos of the former first lady that have been manipulated to make her features appe…
thumbnail

Former Iranian minister praises Trump assassination fatwa as daughter lives in New York

Source: foxnews — Published: 2026-03-06T14:41:06-05:00 — Original
A verbal clash unfolded at the United Nations Security Council when Iran’s representative attempted to lecture U.S. Ambassador to the U.N. Mike Waltz. (Video: UNTV.) While former Iranian Foreign Minister Manouchehr Mottaki praised in a Persian-language television interview the issuance of a fatwa ca…
thumbnail

27 Gifts For Your Pet Because, I Mean, LOOK AT THEM. They Deserve It.

Source: buzzfeed — Published: 2026-03-06T14:31:02.000Z — Original
We hope you love our recommendations! While every product is independently chosen by our editors, BuzzFeed and our publishing partners may collect a share of sales or other compensation from the links on this page. You can read more about how our affiliate partnerships work in our Editorial Standard…
thumbnail

30 Inexpensive Beauty Products That Still Feel Like A Treat To Use

Source: buzzfeed — Published: 2026-03-06T14:31:02.000Z — Original
We hope you love our recommendations! While every product is independently chosen by our editors, BuzzFeed and our publishing partners may collect a share of sales or other compensation from the links on this page. You can read more about how our affiliate partnerships work in our Editorial Standard…
thumbnail

Qatar warns Iran war could halt Gulf energy exports ‘within weeks’

Published: 2026-03-06T14:29:07Z — Original
Global economies will be affected if the war on Iran continues for weeks, according to Qatar’s energy minister. Share Save Qatar’s Energy Minister Saad al-Kaabi has said exports from the Gulf region could come to a halt “within weeks” if the war on Iran continues to escalate, throwing global energy …
thumbnail

Elementary school in Tehran hit, Iran’s foreign ministry says

Published: 2026-03-06T14:28:44Z — Original
Footage shared by Iran’s Foreign Ministry spokesman purportedly shows destruction in Shahid Hamedani School in Tehran. Share Save An elementary school in the Iranian capital Tehran’s Niloufar Square has been struck in US-Israeli attacks, according to Iranian Ministry of Foreign Affairs spokesperson …
thumbnail

Saudi flag football game featuring Tom Brady, NFL stars to move amid ongoing Middle East operations: report

Source: foxnews — Published: 2026-03-06T14:24:31-05:00 — Original
Fox News Flash top sports headlines are here. Check out what's clicking on FoxNews.com. The Fanatics Flag Football Classic is moving from Saudi Arabia to Los Angeles, according to NFL Network and The Athletic. It is likely to move to BMO Stadium, which will host flag football at the 2028 Olympics. T…
thumbnail

Marine veteran vows to stay in US Senate North Carolina race after violent Capitol arrest

Source: foxnews — Published: 2026-03-06T14:20:12-05:00 — Original
Sen. Tim Sheehy, R-Montana, leapt into action to help Capitol Police remove North Carolina Senate candidate and Marine Corps veteran Brian McGinnis, who disrupted a Senate hearing. (Credit: Josephine Guilbeau via Storyful) A Marine veteran and Green Party Senate candidate has vowed to continue his c…
thumbnail

Russia Provided Iran With Information That Can Help Tehran Strike U.S. Military: AP Report

Source: huffpost — Published: 2026-03-06T14:19:19-0500 — Original
WASHINGTON (AP) — Russia has provided Iran with information that could help Tehran strike American warships, aircraft and other assets in the region, according to two officials familiar with U.S. intelligence on the matter. The officials, who were not authorized to comment publicly on the sensitive …
thumbnail

State Department uses Patriots team plane to evacuate Americans from Middle East

Source: foxnews — Published: 2026-03-06T14:17:25-05:00 — Original
Fox News Flash top sports headlines are here. Check out what's clicking on FoxNews.com. A New England Patriots plane was used by the State Department as part of its efforts to move Americans out of the Middle East as the U.S.-Israeli joint military campaign against Iran entered its seventh day.  Dyl…
thumbnail

Whole-life term for Bradford man who killed family in fire

Published: 2026-03-06T14:12:14.550Z — Original
A man who murdered his ex-partner's sister and her children in a house fire in Bradford will spend the rest of his life in jail after being given a whole-life order. Bryonie Gawith, 29, and her children Denisty, nine, Oscar, five, and Aubree Birtle, 22 months, died when Sharaz Ali set fire to their …
thumbnail

Mandelson's bail conditions lifted after misconduct in public office arrest

Published: 2026-03-06T14:05:11.797Z — Original
Lord Peter Mandelson has had his bail conditions dropped following his arrest on suspicion of misconduct in public office, but remains under investigation. On Friday, lawyers for the former UK ambassador to the US said his passport had been returned by the Metropolitan Police, adding that he did not…
thumbnail

Surprise jobs report may push rates lower: Mortgage and refinance interest rates today, March 6, 2026

Source: yahoo — Published: 2026-03-06T14:03:54.000Z — Original
Some offers on this page are from advertisers who pay us, which may affect which products we write about, but not our recommendations. See our Advertiser Disclosure. Friday's jobs report, showing a 92,000 job loss and a higher unemployment rate, may reverse recent upward pressure on mortgage rates. …
thumbnail

Michael Kosta Sordidly Explains Why Trump Didn't Fire Kristi Noem Sooner

Source: huffpost — Published: 2026-03-06T14:03:09-0500 — Original
Michael Kosta joked that Kristi Noem’s rumored affair with Corey Lewandowski preserved her job for a bit before she got fired as homeland security secretary on Thursday. (Watch the video below.) The Wall Street Journal reported recently that Noem and her senior adviser Lewandowski, whose alleged ext…
thumbnail

Obama, Biden, Clintons remember Jesse Jackson in Chicago memorial service

Source: foxnews — Published: 2026-03-06T14:02:30-05:00 — Original
Fox News chief Washington correspondent Mike Emanuel highlights the life and legacy of the Rev. Jesse Jackson on ‘Special Report.' Former Presidents Barack Obama, Joe Biden and Bill Clinton are among the prominent guests Friday paying tribute to the late Rev. Jesse Jackson at his memorial service in…
thumbnail

The Average Man Can't Score Higher Than 12% On This Easy Health Test, And It's Kinda Sad

Source: buzzfeed — Published: 2026-03-06T14:01:03.000Z — Original
Please tell me you know what a mammogram is. Want to get your very own quizzes and posts featured on BuzzFeed’s homepage and app?
thumbnail

21 Reviewer-Loved Pieces From Amazon You Can Add To Your Wardrobe With Confidence

Source: buzzfeed — Published: 2026-03-06T14:01:02.000Z — Original
We hope you love our recommendations! While every product is independently chosen by our editors, BuzzFeed and our publishing partners may collect a share of sales or other compensation from the links on this page. You can read more about how our affiliate partnerships work in our Editorial Standard…
thumbnail

U.S. Issues A License That Authorizes Sales Of Venezuelan Gold

Source: huffpost — Published: 2026-03-06T14:00:53-0500 — Original
WASHINGTON (AP) — The U.S. issued a license Friday that authorizes dealings with Minerven, Venezuela’s state-owned gold mining company, in the latest sign of the Trump administration’s intent to exercise more control over that country’s natural resources. The license was issued after U.S. Interior S…
thumbnail

Scientists are trying to solve the mystery of whether global warming is speeding up. A new study says it has the answer

Source: yahoo — Published: 2026-03-06T14:00:33.000Z — Original
Is the world getting hotter, faster? It’s a big question which has been puzzling and dividing scientists for years. A new paper says it has the answer, and it’s not good news. Global warming has accelerated “significantly” over the past 10 years, meaning the world may barrel through crucial global w…
thumbnail

Fox News AI Newsletter: Pentagon's AI battle

Source: foxnews — Published: 2026-03-06T13:51:44-05:00 — Original
Secretary of War Pete Hegseth says U.S. and Israeli forces will fly over Tehran day and night targeting Iran’s missile network. IN TODAY’S NEWSLETTER: - Pentagon’s AI battle will help decide who controls our most powerful military tech- AI T-shirt could detect hidden heart risks- OPINION: MARGARET S…
thumbnail

Watch Some TV Shows And Find Out What Zodiac Sign You Should Be

Source: buzzfeed — Published: 2026-03-06T13:51:02.000Z — Original
Some people swear the day is wrong on their birth certificate! Want to get your very own quizzes and posts featured on BuzzFeed’s homepage and app?
thumbnail

Israel strikes slain Iranian Supreme Leader Ayatollah Ali Khamenei's underground military bunker

Source: foxnews — Published: 2026-03-06T13:49:51-05:00 — Original
Israeli Defense Forces released video Friday showing strikes on what it said was former Ayatollah Khamenei's underground bunker, "one of the Iranian leadership's most important military command centers." (Credit: @IDF/X) The Israel Defense Forces (IDF) on Friday announced that it had dismantled form…
thumbnail

FIFA, AFC urged to protect Iran women footballers after ‘traitors’ threat

Published: 2026-03-06T13:44:33Z — Original
Iran state TV presenter has threatened women’s national team for not singing anthem at opening AFC Cup match. Share Save The global representative organisation for professional footballers, FIFPRO, has urged governing bodies responsible for the 2026 Women’s Asian Football Confederation Cup to protec…
thumbnail

Why have Europe, Australia sent military assets to the Middle East?

Published: 2026-03-06T13:38:05Z — Original
France, Spain and Australia are among the countries to deploy military assets to the Middle East after Cyprus attacks. Share Save This week, several countries in Europe announced that they are sending military assistance to the Middle East and the Mediterranean amid the ongoing US-Israel-Iran war, w…
thumbnail

Daryl Hannah Shreds New JFK Jr. Series In Scathing New York Times Essay

Source: huffpost — Published: 2026-03-06T13:37:52-0500 — Original
Daryl Hannah, the former girlfriend of the late John F. Kennedy Jr., is forcefully condemning the new television series about her ex. On Friday, the “Kill Bill” actor published an essay in The New York Times in which she described “Love Story: John F. Kennedy Jr. & Carolyn Bessette” as “tragedy-expl…
thumbnail

Las Vegas tourism plummets as officials consider $6M plan to win back Canadian visitors

Source: foxnews — Published: 2026-03-06T13:37:23-05:00 — Original
Derek Stevens, owner and CEO of casinos and resorts in Las Vegas, tells Fox News Digital how dining habits are evolving as tourism drops in Sin City, with many visitors calling out high food prices in the popular vacation destination. Tourism in Las Vegas continues to decline — and officials are now…
thumbnail

Spurs crisis - who is to blame for club's struggles?

Published: 2026-03-06T13:35:45.610Z — Original
Spurs are just a point above the relegation zone less than a season after winning the Europa League Tottenham Hotspur's increasingly chaotic descent towards the Premier League relegation zone continued as thousands of supporters left early during their damaging home defeat by Crystal Palace on Thurs…
thumbnail

This Week's Pub Quiz Is Here, And Yes, I'm Trying To Catch You Out

Source: buzzfeed — Published: 2026-03-06T13:34:02.000Z — Original
Want to get your very own quizzes and posts featured on BuzzFeed’s homepage and app?
thumbnail

Exclusive-Iran spent years fostering proxies in Iraq. Now, many aren’t eager to join the war

Source: yahoo — Published: 2026-03-06T13:33:00.000Z — Original
By John Davison BAGHDAD, March 6 (Reuters) - Iran has spent decades and billions of dollars preparing foreign proxy fighters like A.J., a commander in a pro-Iranian paramilitary group in Iraq, for a moment just like this. Since the U.S. and Israel went to war on the Islamic Republic a week ago, A.J.…
thumbnail

49 Impulse Buys You’ll Forever Be Glad You Bought This Spring

Source: buzzfeed — Published: 2026-03-06T13:31:02.000Z — Original
We hope you love our recommendations! While every product is independently chosen by our editors, BuzzFeed and our publishing partners may collect a share of sales or other compensation from the links on this page. You can read more about how our affiliate partnerships work in our Editorial Standard…
thumbnail

Mark Cuban Says Nothing Gets Him More Excited Than Wanting To 'F*** Up' The Healthcare Industry. 'It Certainly Needs It'

Source: yahoo — Published: 2026-03-06T13:30:47.000Z — Original
Billionaire and investor Mark Cuban says nothing motivates him more than taking on the U.S. healthcare system. “I’m in a very unique situation,” he said in a recent PBS interview. “My next dollar’s not going to change my life and there’s nothing more that gets me more excited in the morning, after m…
thumbnail

Spotify voting scam exposed

Source: foxnews — Published: 2026-03-06T13:30:35-05:00 — Original
Fox News Flash top headlines are here. Check out what's clicking on FoxNews.com. It started with a simple favor. A friend asked for help voting so he could co-host a major podcast event with Spotify and Google. The first message looked casual. It felt personal. It even had urgency. "Hey, I need a qu…
thumbnail

A New Study May Confirm a Staggering Stat: 1 in 200 People Are Related to Genghis Khan

Source: yahoo — Published: 2026-03-06T13:30:00.000Z — Original
"Hearst Magazines and Yahoo may earn commission or revenue on some items through these links." Here’s what you’ll learn when you read this story: A new study reveals that remnants of the Y-chromosomal lineage attributed to Genghis Khan were found in a set of medieval mausoleums in Kazakstan. The tom…
thumbnail

Rapists 'dehumanised' teenage girl in joint attack

Source: yahoo — Published: 2026-03-06T13:10:27.000Z — Original
Two rapists who "dehumanised" a teenage girl when they teamed up to attack her have been jailed. Taylor Dove, 22, and Vieri Chapman, 25, subjected the young woman to a 30-minute long ordeal which they had planned and Dove bragged about afterwards, Newcastle Crown Court heard. Both denied wrongdoing …
thumbnail

'The F**k Kind Of Answer Is This': Trump's Nonchalant Response To Iran Question Has People Fuming

Source: huffpost — Published: 2026-03-06T13:03:54-0500 — Original
President Donald Trump managed to say one of the least reassuring things possible when Time magazine asked if Americans should be worried about Iran retaliating against the U.S. for its bombing of the Middle Eastern country. “I guess,” Trump told Time. “But I think they’re worried about that all the…
thumbnail

33 Reviewer-Approved Products That’ll Get Your Yard In Tip-Top Shape For Spring

Source: buzzfeed — Published: 2026-03-06T13:01:02.000Z — Original
We hope you love our recommendations! While every product is independently chosen by our editors, BuzzFeed and our publishing partners may collect a share of sales or other compensation from the links on this page. You can read more about how our affiliate partnerships work in our Editorial Standard…
thumbnail

Fox News True Crime Newsletter: Nancy Guthrie's clues, Luigi Mangione's evidence, Idaho murders tarot cards

Source: foxnews — Published: 2026-03-06T13:00:56-05:00 — Original
Nancy Guthrie disappeared from her Tucson home in the early morning hours of Feb. 1, with investigators treating the case as an apparent abduction.   (Fox Flight Team; Courtesy of NBC) CIRCLING BACK?: Nancy Guthrie's abductor may have returned to the crime scene, left critical clues at tribute: expe…
thumbnail

Democrats pressure Mike Johnson to keep House in Washington over 'rapidly developing' Iran operation

Source: foxnews — Published: 2026-03-06T13:00:43-05:00 — Original
David Nasser, who fled Iran in 1979, joins 'America's Newsroom' to discuss the future of Iran amid Operation Epic Fury as President Donald Trump pushes to help select a new leader and have the IRGC disarm. FIRST ON FOX: A group of Democrats is demanding that Speaker Mike Johnson, R-La., keep the Hou…
thumbnail

Al-Aqsa compound empty as Israel restricts access to holy sites

Published: 2026-03-06T12:58:48+00:00 — Original
Al-Aqsa compound empty as Israel restricts access to holy sites Drone video showed the Al-Aqsa Mosque compound in occupied East Jerusalem empty at the start of the third Friday in Ramadan, after Israeli authorities restricted access to holy sites. Share Save
thumbnail

Mamdani's wife liked social media posts 'cheering on' Hamas' Oct 7 massacre of Israelis: report

Source: foxnews — Published: 2026-03-06T12:58:46-05:00 — Original
During a press conference on Tuesday, New York City Mayor Zohran Mamdani dodged a reporter's question about whether Iran is better off without the Ayatollah. New York City Mayor Zohran Mamdani's wife, Rama Duwaji, allegedly liked several posts on social media "cheering on" Hamas' Oct. 7, 2023 massac…
thumbnail

Mike Johnson slams Democrats for putting 'illegal aliens' over Americans as DHS shutdown continues

Source: foxnews — Published: 2026-03-06T12:58:05-05:00 — Original
Speaker of the House Rep. Mike Johnson, R-La., discusses the ongoing battle over DHS funding and the firing of Secretary Kristi Noem on ‘Hannity.’ Speaker of the House Mike Johnson, R-La., took direct aim at Senate Democrats Thursday evening on "Hannity." saying they were putting illegal immigrants …
thumbnail

Axel Springer agrees to buy Telegraph Media Group in £575m deal

Published: 2026-03-06T12:56:32.386Z — Original
European media firm Axel Springer has agreed to purchase the Telegraph Media Group (TMG) in a deal costing £575m. The Daily Mail and General Trust proposed to buy the company in a £500m takeover, but the government ordered an investigation on public interest and competition grounds. TMG owns The Dai…
thumbnail

Newsom declares ‘Trump is in retreat’ after Noem ouster, demands Miller be ‘next’

Source: foxnews — Published: 2026-03-06T12:55:45-05:00 — Original
During a Tuesday event for his new book "Young Man in a Hurry," California Gov. Gavin Newsom suggested Israel is an "apartheid state" and that Israeli Prime Minister Benjamin Netanyahu influenced President Donald Trump’s decision to strike Iran. Democratic Gov. Gavin Newsom of California argues that…
thumbnail

Iran: Tehran residents describe aftermath of Israeli strikes

Published: 2026-03-06T12:53:52.050Z — Original
Residents of Tehran have told the BBC that Thursday night saw the heaviest wave of strikes on the capital since Israel and the US launched their attack on Iran six days ago. "The house was shaking for five minutes straight. Last night was the worst night," says a man in his 30s. He says he could bar…
thumbnail

Choose Some Baby Names And I'll Tell You How Many Kids You'll Have

Source: buzzfeed — Published: 2026-03-06T12:51:02.000Z — Original
Want to get your very own quizzes and posts featured on BuzzFeed’s homepage and app?
thumbnail

Shadow fleet under fire: Iran’s strait shutdown could squeeze Russia’s war chest, China’s oil lifeline

Source: foxnews — Published: 2026-03-06T12:48:13-05:00 — Original
White House press secretary Karoline Leavitt answers a question from Fox News senior White House correspondent Jacqui Heinrich about Americans trapped in the Middle East amid the Iran conflict. Tehran’s strike campaign threatens to disrupt shadow shipping networks and sanctions-evasion routes, raisi…
thumbnail

US companies denied refunds on Trump’s illegal tariffs, FT reports

Source: yahoo — Published: 2026-03-06T12:46:21.000Z — Original
March 6 (Reuters) - The U.S. government has declined to refund tariffs the Supreme Court ruled ‌illegal last month, the Financial Times reported ‌on Friday, citing people familiar with the matter. The customs officials are ​denying companies' requests to recover duties imposed under emergency powers…
thumbnail

‘Kurdish uprising in Iran unlikely without US-Israeli protection’

Published: 2026-03-06T12:44:10+00:00 — Original
‘Kurdish uprising in Iran unlikely without US-Israeli protection’ Yerevan Saeed says Iranian Kurdish forces would struggle without outside backing if they launched an uprising in Iran. Share Save
thumbnail

Iranian Kurd fighters ready for a ground operation ‘if opportunity arises’

Published: 2026-03-06T12:41:59+00:00 — Original
Iranian Kurd fighters ready for a ground operation ‘if opportunity arises' after Iran attack Al Jazeera’s Assed Baig reports from Erbil in Iraq where an Iranian Kurdish group was targeted with drones, as President Trump gave his backing to an armed uprising against Iran’s government. Share Save
thumbnail

Illegal immigrant charged with voting in Pennsylvania in 5 presidential elections

Source: foxnews — Published: 2026-03-06T12:41:34-05:00 — Original
Fox News White House correspondent Aishah Hasnie has the latest on the woman convicted of voter fraud amid the national debate over voter ID on Capitol Hill on ‘The Story.’ An illegal immigrant from Mauritania was charged with fraudulent voting after allegedly casting ballots in Pennsylvania in the …
thumbnail

Messi censured for meeting and applauding Trump amid US attacks on Iran

Published: 2026-03-06T12:40:09Z — Original
Inter Miami and Messi were honoured at the White House, where Trump boasted the US military’s might. Share Save Lionel Messi has been criticised for meeting United States President Donald Trump and applauding his latest brief on the Iran war at an White House event honouring the Argentinian supersta…
thumbnail

Emirates resumes some Dubai flights – what's the latest on travel to UK?

Published: 2026-03-06T12:37:55.109Z — Original
Airlines Etihad and Emirates have confirmed they will be running a limited number of services from Abu Dhabi and Dubai to the UK over the next few days. And Emirates said it was working to restore full network operations, following the partial re-opening of regional airspace. Thousands of flights in…
thumbnail

Moscow sees significant rise in demand for Russian oil, gas amid Iran war

Published: 2026-03-06T12:37:42Z — Original
International Energy Agency warns against a politically and economically wrong return to reliance on Russian energy. Share Save The Kremlin has said the United States-Israeli war on Iran had prompted “a significant increase in demand” for Russian energy products, a day after the ⁠US Treasury issued …
thumbnail

Mullin promises to earn Dem votes as GOP colleagues pounce on his seat

Source: foxnews — Published: 2026-03-06T12:35:44-05:00 — Original
Border security and immigration expert Lora Ries breaks down the nomination of Sen. Markwayne Mullin as the new DHS secretary, replacing Kristi Noem. President Donald Trump's move to fire Homeland Security Secretary Kristi Noem and tap Sen. Markwayne Mullin, R-Okla., as her replacement triggered a d…
thumbnail

‘We know Shaheds’: Inside Ukraine’s bid to support US in Iran attacks

Published: 2026-03-06T12:35:15Z — Original
Ukraine, which has four years of experience in downing Iranian-made drones, says it stands ready to assist the US and Israel. Ukraine offers defence swap help to Gulf states Share Save Kyiv, Ukraine – Experts estimate that Iran has tens of thousands of Shahed drones. Recently released footage from I…
thumbnail

Skip The Hot Tools And Just Use These 27 "Lazy" Hair Products Instead

Source: buzzfeed — Published: 2026-03-06T12:31:02.000Z — Original
We hope you love our recommendations! While every product is independently chosen by our editors, BuzzFeed and our publishing partners may collect a share of sales or other compensation from the links on this page. You can read more about how our affiliate partnerships work in our Editorial Standard…
thumbnail

DOJ appeals Biden-appointed judge’s block on third-country deportations after Supreme Court steps in — twice

Source: foxnews — Published: 2026-03-06T12:28:24-05:00 — Original
Acting U.S. Immigration and Customs Enforcement Director Todd Lyons reveals the number of illegal aliens with deportation orders during Senate testimony. The Department of Justice is turning to an appeals court for relief after a Biden-appointed federal judge blocked the Trump administration from de…
thumbnail

Chevron’s grave warning about fuel prices in CA

Source: yahoo — Published: 2026-03-06T12:27:00.000Z — Original
Chevron, the energy company that began relocating its headquarters from the Bay Area to Texas in 2024, wrote a letter Tuesday to Gavin Newsom’s office warning about the proposed changes to the state’s Cap-and-Invest regulations. The industry giant warned that if enacted, the new regulations will “cr…
thumbnail

WWE NXT star Kelani Jordan taking advice of MMA vet ahead of underground match vs Lola Vice

Source: foxnews — Published: 2026-03-06T12:26:13-05:00 — Original
WWE NXT star Kelani Jordan opens up about how she's training for her Vengeance Day underground match against Lola Vice Kelani Jordan and Lola Vice’s feud will come to a head on Saturday when the two meet in an underground match at NXT Vengeance Day. In an underground match, WWE officials remove the …
thumbnail

Iran proxies wage war on Israel, threaten US interests as Iraq slammed for not disarming them

Source: foxnews — Published: 2026-03-06T12:25:04-05:00 — Original
‘Fox News @ Night’ panelists discuss President Donald Trump’s comments saying he should be ‘involved’ in choosing Iran’s next leader and Operation Epic Fury.  The Israeli military spokesman confirmed to Fox News Digital this week that multiple unmanned aerial vehicles, UAVs, have been launched into …
thumbnail

We Know Your Age Based On Your Choice Of TV Show Characters

Source: buzzfeed — Published: 2026-03-06T12:21:02.000Z — Original
Just pick your favorite character: it's that simple. Want to get your very own quizzes and posts featured on BuzzFeed’s homepage and app?
thumbnail

Daryl Hannah slams JFK Jr. drama 'Love Story' for 'false' portrayal of tumultuous relationship

Source: foxnews — Published: 2026-03-06T12:17:49-05:00 — Original
Fox News Flash top entertainment and celebrity headlines are here. Daryl Hannah forcefully rejected the portrayal of her relationship with John F. Kennedy Jr. in Ryan Murphy's "Love Story," claiming the show is "not even a remotely accurate representation." While "Love Story" focused on the relation…
thumbnail

Former MLB player suffers gruesome leg injury in freak chainsaw accident, skips trip to hospital

Source: foxnews — Published: 2026-03-06T12:16:55-05:00 — Original
Fox News Flash top sports headlines are here. Check out what's clicking on FoxNews.com. Former MLB player and Philadelphia Phillies announcer Ben Davis had a harrowing experience with a chainsaw, but didn’t go to the hospital. Davis, 48, said that he cut himself to the bone when cutting through tree…
thumbnail

People Are Revealing The "Outdated" Home Design Trends That Are 1,000% Better Than Modern Trends

Source: buzzfeed — Published: 2026-03-06T12:16:02.000Z — Original
"No more open-concept kitchens. I haven't had a closed kitchen since the early '80s. I don't even remember what it looked like." As a Senior Staff Writer at BuzzFeed, I cover real-life stories that explore relationships, lifestyle (including travel and beauty), and the internet's most fascinating tr…
thumbnail

This Quiz Will Reveal The Exact Vibe You Give Off The Second You Walk Into A Room

Source: buzzfeed — Published: 2026-03-06T12:16:02.000Z — Original
I hope I give off the same vibe as a Golden Retriever. Want to get your very own quizzes and posts featured on BuzzFeed’s homepage and app?
thumbnail

Surge in jet fuel prices could push up airfares, analysts warn

Published: 2026-03-06T12:10:27.029Z — Original
A dramatic surge in jet fuel prices could push up costs for air travellers ahead of the summer holidays and even lead to flight cancellations, analysts have warned. Disruption to supplies from the Gulf, in the wake of the US and Israeli air strikes on Iran, has pushed the cost of aviation kerosene u…
thumbnail

MetLife, Inc. (MET) Stock Forecasts

Source: yahoo — Published: 2026-03-06T12:08:48+00:00 — Original
Argus • Mar 06, 2026 Symbols Sector(s) Financial Services Rating Earnings Estimate Current Price $72.94 Price Target Summary MetLife, based in New York, is a leading provider of insurance, as well as of employee benefit plans and other financial services Exclusive reports, detailed company profiles,…
thumbnail

Target Corporation (TGT) Stock Forecasts

Source: yahoo — Published: 2026-03-06T12:08:48+00:00 — Original
Argus • Mar 06, 2026 Symbols Sector(s) Consumer Defensive Rating Earnings Estimate Current Price $120.36 Price Target Summary Target Corp. is the second-biggest U.S. discount retailer. It differentiates itself by selling stylish products at reasonable prices. The company has partnerships with an evo…
thumbnail

Amid Iran war, will Russia exploit Ukraine’s shortage of Patriot missiles?

Published: 2026-03-06T12:07:27Z — Original
Zelenskyy says more US-made Patriot defence systems were used in three days of the Iran war than in Ukraine since 2022. Share Save Kyiv, Ukraine – As Washington’s Middle Eastern allies use US-made Patriot air defence systems to shoot down Iranian missiles and drones, Ukraine is about to face a dire …
thumbnail

Timothée Chalamet Under Fire For Tasteless Comment About Ballet And Opera

Source: huffpost — Published: 2026-03-06T12:03:39-0500 — Original
Timothée Chalamet may be one of Hollywood’s most sought-after young actors, but his recent thoughts on other realms of the performing arts aren’t likely to win him new fans. Last week, Chalamet dropped by the University of Texas at Austin to be interviewed by his “Interstellar” co-star, Matthew McCo…
thumbnail

I’m Honored To Be The One To Put These 37 Underrated Products On Your Radar

Source: buzzfeed — Published: 2026-03-06T12:01:02.000Z — Original
We hope you love our recommendations! While every product is independently chosen by our editors, BuzzFeed and our publishing partners may collect a share of sales or other compensation from the links on this page. You can read more about how our affiliate partnerships work in our Editorial Standard…
thumbnail

Coca-Cola under fire after report exposes its ties to controversial industry: 'The cost is irreversible damage to our children's health'

Source: yahoo — Published: 2026-03-06T12:00:00.000Z — Original
Research reveals that several brands, including Coca-Cola, are linked to plastic production processes that rely on fracking. Euronews reported that Stand.earth found over 25 well-known consumer brands linked to fracking operations in the Permian Basin of Texas, one of the world's biggest "carbon bom…
thumbnail

Suns star Dillon Brooks arrested in Phoenix on suspicion of DUI

Source: foxnews — Published: 2026-03-06T11:59:09-05:00 — Original
Fox News Flash top sports headlines are here. Check out what's clicking on FoxNews.com. Phoenix Suns forward Dillon Brooks was arrested early Friday morning in Scottsdale on suspicion of driving under the influence. Scottsdale police told Fox News Digital that officers conducted a routine stop for t…
thumbnail

KFOR 4Warn Storm trackers injured in crash during tornadic storms

Source: yahoo — Published: 2026-03-06T11:58:58.000Z — Original
OKLAHOMA CITY (KFOR)—Tracking storms in Oklahoma is dangerous, and Thursday night was a stark reminder. Photos show the destruction after one of the 4 Warn Storm Team’s chase crews was T-boned by a driver, who reportedly ran a stop sign. We can tell you everyone involved in the accident is going to …
thumbnail

What is the PrSM missile that the US used for the first time in Iran?

Published: 2026-03-06T11:58:33Z — Original
US CENTCOM said Precision Strike Missiles were used in Operation Epic Fury. Share Save The United States used Precision Strike Missiles (PrSMs) for the first time during its ongoing war with Iran, US Central Command (CENTCOM) said on Wednesday. The war entered its seventh day on Friday, with attacks…
thumbnail

Project Helix: New Xbox console project confirmed

Published: 2026-03-06T11:56:02.512Z — Original
Microsoft's Xbox division has confirmed it's working on a new console, code-named Project Helix. The company said the "next-generation" device would "lead in performance" and play both Xbox and PC games, in a departure from its previous machines. Rumours have swirled for some time that the company -…
thumbnail

Iranians mourn Khamenei as they gather for first Friday prayers during war

Published: 2026-03-06T11:51:45Z — Original
Worshippers wave Iranian flags and chant slogans against the US and Israel, as they gather to pray amid attacks. Share Save Iranian worshippers, many holding portraits of the assassinated Supreme Leader Ayatollah Ali Khamenei, have gathered in Tehran and other cities for the first Friday prayers sin…
thumbnail

Which Romance Subgenre Matches Your Personality 100%?

Source: buzzfeed — Published: 2026-03-06T11:51:02.000Z — Original
Want to get your very own quizzes and posts featured on BuzzFeed’s homepage and app?
thumbnail

March Madness starts early with Lehigh's miraculous half-court buzzer-beater

Source: foxnews — Published: 2026-03-06T11:48:02-05:00 — Original
Fox News Flash top sports headlines are here. Check out what's clicking on FoxNews.com. Both the calendar and basketball court say it is March. Lehigh University advanced to the Patriot League tournament semifinals on Thursday night after a half-court prayer went nothing but net at the buzzer. Nasir…
thumbnail

San Francisco mayor admits city 'needs a reset' hours before attack on security detail

Source: foxnews — Published: 2026-03-06T11:44:52-05:00 — Original
Former DHS advisor Charles Marino joined 'Fox & Friends First' to discuss the latest on the Trump administration's crime crackdown in Democrat-led cities and what location officials could target next.  A tense encounter turned violent in San Francisco’s troubled Tenderloin neighborhood Thursday even…
thumbnail

The end of Iran’s strategic patience

Published: 2026-03-06T11:44:23Z — Original
Years of US and Israeli pressure pushed Tehran from calibrated restraint to open regional confrontation. Humanitarian leader and political analyst from South Africa. Share Save Since October 7, 2023, the United States and Israel believed that sustained diplomatic and military pressure on Iran would …
thumbnail

Hegseth's comments are a reminder that government isn't always eager to show the human cost to war

Source: yahoo — Published: 2026-03-06T11:38:09.000Z — Original
Remarks by Defense Secretary Pete Hegseth that the American press emphasizes U.S. casualties in the Iran war because it “wants to make the president look bad” are a reminder of something that has endured across many decades and conflicts: the tension and trepidation about news that reminds Americans…
thumbnail

Russell Westbrook turns tables on reporters in heated postgame confrontation after Kings suffer 50th loss

Source: foxnews — Published: 2026-03-06T11:38:09-05:00 — Original
Fox News Flash top sports headlines are here. Check out what's clicking on FoxNews.com. Russell Westbrook unloaded on members of the media following the Sacramento Kings’ loss to the New Orleans Pelicans on Thursday night, marking the team's 50th defeat of a season that has left them with the NBA’s …
thumbnail

NJ Senate votes 38–0 to require free menstrual products at public colleges under ‘menstrual equity’ bill

Source: foxnews — Published: 2026-03-06T11:32:46-05:00 — Original
Education Secretary Linda McMahon discusses the Trump administration’s actions on transgender athletes in women’s sports on ‘The Faulkner Focus.’ Lawmakers in New Jersey have advanced what they call a "menstrual equity" mandate that would require public colleges and universities to provide free mens…
thumbnail

‘It’s segregation’: Row over S Africa’s multimillion-dollar crime wall plan

Published: 2026-03-06T11:31:36Z — Original
As Cape Town plans security measures along the N2 highway, shack dwellers say the project will separate the poor from the rich. Share Save Cape Town, South Africa – Thandi Jolingana, 46, beams with pride as she shows off the bathroom she built in her corrugated iron shack, after her husband went out…
thumbnail

30 Fashion Basics You Might Want To Buy In Every Color

Source: buzzfeed — Published: 2026-03-06T11:31:03.000Z — Original
We hope you love our recommendations! While every product is independently chosen by our editors, BuzzFeed and our publishing partners may collect a share of sales or other compensation from the links on this page. You can read more about how our affiliate partnerships work in our Editorial Standard…
thumbnail

Appeals court declares DC ban on certain gun magazines unconstitutional

Source: foxnews — Published: 2026-03-06T11:23:59-05:00 — Original
Gov. JB Pritzker dismissed a call from former D.C. police officer Michael Fanone, who was injured during the Jan. 6 Capitol riot, for Americans to use Second Amendment rights to protect themselves from ICE, who he said was "lawless." An appeals court struck down a local law in the District of Columb…
thumbnail

Lenders lift mortgage rates as Iran war hits borrowing costs

Published: 2026-03-06T11:21:32.378Z — Original
UK lenders have begun raising mortgage interest rates as the ongoing conflict in the Middle East has raised fears that inflation will rise and curb further Bank of England rate cuts. Nationwide has increased rates some of its products by up to 0.25%, while HSBC UK and Coventry Building Society have …
thumbnail

Where Should You Go On Vacation?

Source: buzzfeed — Published: 2026-03-06T11:21:02.000Z — Original
It's time to start planning your dream vacation, but where should you go? Want to get your very own quizzes and posts featured on BuzzFeed’s homepage and app?
thumbnail

Cabaletta Bio, Inc. (CABA) Stock Forecasts

Source: yahoo — Published: 2026-03-06T11:17:30+00:00 — Original
Argus • Mar 06, 2026 Sector(s) Communication Services, Financial Services, Technology, Healthcare, Consumer Cyclical Summary The Vickers Top Insider Picks is a daily report that utilizes a proprietary algorithm to identify 25 companies with compelling insider purchase historie Exclusive reports, det…
thumbnail

E.W. Scripps Company (The) (SSP) Stock Forecasts

Source: yahoo — Published: 2026-03-06T11:17:30+00:00 — Original
Argus • Mar 06, 2026 Sector(s) Communication Services, Financial Services, Energy, Industrials, Consumer Defensive Summary The Vickers Top Buyers & Sellers is a daily report that identifies the five companies the largest insider purchase transactions based on the dollar value of the transactions as …
thumbnail

Interior Designers Just Revealed Their 2026 Home Trend Predictions

Source: buzzfeed — Published: 2026-03-06T11:16:02.000Z — Original
People want to deck out their spaces with pieces that tell a story — one that goes beyond, "I got it off Amazon." From left: Christina Kim is the founder of Christina Kim interior design firm and studio, which specializes in new construction and custom homes; Julieta Alvarez is the founder of Juliet…
thumbnail

“I Don’t Think I Have Ever Seen Them Together”: Ryan Gosling And Eva Mendes Just Made An Official Appearance For The First Time In Over A Decade, And It’s Pretty Wild

Source: buzzfeed — Published: 2026-03-06T11:13:32.000Z — Original
Eva and Ryan last walked a red carpet together in 2012.
thumbnail

WATCH: Walz, Ellison, Omar refuse to answer when pressed on fraud after contentious fraud hearing

Source: foxnews — Published: 2026-03-06T11:13:20-05:00 — Original
All three Minnesota lawmakers declined to answer questions when approached by Fox News Digital. (Credit: Nicholas Ballasy for Fox News Digital) Following the highly anticipated House Oversight Committee hearing on fraud Wednesday, Fox News Digital pressed Minnesota Gov. Tim Walz and Attorney General…
thumbnail

Kristi Noem: Five times she made headlines, from luxury jets to 'blanketgate'

Published: 2026-03-06T11:12:07.733Z — Original
Kristi Noem is being removed as homeland security secretary after months of controversy and bipartisan criticism. She was the official in charge of delivering on President Donald Trump's mass deportation agenda. Noem boosted deportations to 675,000 in the president's first year, though that fell bel…
thumbnail

Teamsters boss praises Mullin DHS nomination despite past heated hearings

Source: foxnews — Published: 2026-03-06T11:08:40-05:00 — Original
Oklahoma Sen. Markwayne Mullin and Teamster President Sean O’Brien were involved in a heated argument on the Senate floor broken up by Sen. Bernie Sanders. Nearly two and a half years after they nearly came to blows in a viral Senate hearing, Teamsters President Sean O’Brien offered praise for Sen. …
thumbnail

A weak Iran would backfire on the United States

Published: 2026-03-06T11:08:38Z — Original
Destabilising Iran risks triggering internal fragmentation, regional instability and global economic shock. Founder and director of the Global Political Research Center. Share Save Supporters of the United States and Israeli military campaign against Iran argue that weakening Tehran by degrading its…
thumbnail

Nigeria: ‘Renewed Hope’ or ‘Hopelessness’? | Mehdi Hasan and Daniel Bwala

Published: 2026-03-06T11:02:44+00:00 — Original
Nigeria’s Bola Tinubu was elected on promises to tackle the nation’s widespread violence and address two of its root causes: Poverty and corruption. But with the country going to the polls next year, has he delivered on his “Renewed Hope” agenda? Mehdi Hasan goes head-to-head with Daniel Bwala, Tinu…
thumbnail

‘Kim Jong Un-level insanity’: Trump plans to build a 100K-seat stadium near White House to host a UFC fight on his birthday

Source: yahoo — Published: 2026-03-06T11:02:06.000Z — Original
President Donald Trump says he plans to build a 100,000-seat stadium near the White House to host a UFC fight on his birthday. The president confirmed the MMA event last year, although his critics have branded the plan to build an arena for the event as “Kim Jong Un-level insanity.” “They are going …
thumbnail

29 Products Reviewers Say They Never Travel Without

Source: buzzfeed — Published: 2026-03-06T11:01:05.000Z — Original
We hope you love our recommendations! While every product is independently chosen by our editors, BuzzFeed and our publishing partners may collect a share of sales or other compensation from the links on this page. You can read more about how our affiliate partnerships work in our Editorial Standard…
thumbnail

Trump voter whose son was killed by ICE is calling for an end to "abuse and impunity"

Source: yahoo — Published: 2026-03-06T11:00:06.000Z — Original
Rachel Reyes' son, 23-year-old American citizen Ruben Ray Martinez, was shot and killed by a U.S. Immigration and Customs Enforcement agent nearly one year ago. But she told CBS News she's still trying to understand why.
thumbnail

Watch Japan's 1st HTV-X cargo craft leave the International Space Station today

Source: yahoo — Published: 2026-03-06T11:00:00.000Z — Original
When you buy through links on our articles, Future and its syndication partners may earn a commission. Japan's new HTV-X cargo spacecraft will depart the International Space Station today (March 6) after a four-month stay, and you can watch the action live. The vehicle — known as HTV-X1, because it'…
thumbnail

Trump rallies defense titans to surge weapons output as Iran War rages

Source: foxnews — Published: 2026-03-06T10:57:02-05:00 — Original
Brian Kilmeade explains Israel's precision strike on Ayatollah Khamenei using Blue Sparrow missile technology. Former CENTCOM Deputy Commander Vice Admiral Robert Harward details what's next for the U.S. strategy. President Donald Trump is meeting Friday with top U.S. defense industry executives as …
thumbnail

Trump says defense giants will quadruple production of ‘Exquisite Class’ weapons after White House meeting

Source: foxnews — Published: 2026-03-06T10:57:02-05:00 — Original
Brian Kilmeade explains Israel's precision strike on Ayatollah Khamenei using Blue Sparrow missile technology. Former CENTCOM Deputy Commander Vice Admiral Robert Harward details what's next for the U.S. strategy. President Donald Trump said Friday that during a meeting with defense executives they …
thumbnail

Pastors pray for Trump as strikes on Iran continue

Published: 2026-03-06T10:54:36+00:00 — Original
Pastors pray for Trump as strikes on Iran continue Video shows pastors praying over US President Donald Trump in the Oval Office amid US strikes on Iran. Share Save
thumbnail

'Truly extraordinary coincidence' as three cousins born on same day

Published: 2026-03-06T10:51:13.946Z — Original
"A truly extraordinary coincidence" occurred when three cousins were all born in the same hospital in a single day, an NHS spokesperson has said. Georgie, from Bridgeyate, South Gloucestershire, gave birth to identical twin girls Frankie and Connie, while her brother Billy welcomed his son Maddox sh…
thumbnail

Can You Finish The Lyrics To These Sabrina Carpenter Songs?

Source: buzzfeed — Published: 2026-03-06T10:51:02.000Z — Original
Want to get your very own quizzes and posts featured on BuzzFeed’s homepage and app?
thumbnail

Billionaires Are Loading Up on Index Funds While Retail Investors Chase Crypto. Here's Which Side I'd Bet on for 2035.​

Source: yahoo — Published: 2026-03-06T10:50:00.000Z — Original
The richest investors don't need to hunt for the next moonshot all of the time. Some of the most successful billionaires, like Ray Dalio, the founder of Bridgewater Associates, are currently piling capital into exchange-traded funds (ETFs) that track the market, precisely while retail investors keep…
thumbnail

People Are Praising Brendan Fraser’s “Vulnerability” After He Reflected On Being Relentlessly “Objectified” During His Early Career — And Admitted It Was A “Relief To Get Older”

Source: buzzfeed — Published: 2026-03-06T10:46:39.000Z — Original
“It's really refreshing to hear a male Hollywood actor describe the torture of having to strive for an unattainable body.”
thumbnail

Huge explosion seen in Tehran as strikes on Iran continue

Published: 2026-03-06T10:39:15+00:00 — Original
Huge explosion seen in Tehran as strikes on Iran continue Video from Tehran showed a huge explosion in Iran’s capital as US and Israeli air attacks continued. Al Jazeera’s Tohid Asadi is there. Share Save
thumbnail

Trump, Putin pose as peacemaker in each other’s war as Ukraine gains ground

Published: 2026-03-06T10:38:53Z — Original
Ukraine has won back some of its territory this year for the first time since 2023 amid claims of soaring Russian losses. Share Save Russia has called for a “cessation of hostilities” in US President Donald Trump’s “aggression against Iran”, after the United States and Israel launched unprovoked, co…
thumbnail

DOJ Releases FBI Interviews With Woman Who Accused Trump Of Sexual Assault

Source: huffpost — Published: 2026-03-06T10:34:45-0500 — Original
The Justice Department added files to its public Epstein Library on Thursday recounting an unsubstantiated allegation against President Donald Trump. The files memorialize interviews with a woman who spoke to FBI agents several times in 2019, after the federal government had charged Jeffrey Epstein …
thumbnail

27 Shoes So Comfy, You’ll Be Tempted To Buy Multiple Pairs Of Them

Source: buzzfeed — Published: 2026-03-06T10:31:03.000Z — Original
We hope you love our recommendations! While every product is independently chosen by our editors, BuzzFeed and our publishing partners may collect a share of sales or other compensation from the links on this page. You can read more about how our affiliate partnerships work in our Editorial Standard…
thumbnail

Gas station receives backlash after posting alarming notice on its door: 'How could this possibly be legal?'

Source: yahoo — Published: 2026-03-06T10:30:00.000Z — Original
"No shoes, no shirt, no service" is a phrase that reportedly became popular in the 1960s and 1970s (along with similar variations) when businesses sought to regulate their patrons. It has since opened the gates for all sorts of rules dictated by businesses — some less blatantly pointed than others. …
thumbnail

Plan An A-Z Movie Marathon And We'll Guess Your Fave Movie Snack

Source: buzzfeed — Published: 2026-03-06T10:21:02.000Z — Original
I need chocolate covered raisins RIGHT NOW! Want to get your very own quizzes and posts featured on BuzzFeed’s homepage and app?
thumbnail

Haunting note on Vegas hotel door hinted at tragedy before cheer mom, daughter found dead

Source: foxnews — Published: 2026-03-06T10:20:57-05:00 — Original
Fox News Flash top headlines are here. Check out what's clicking on FoxNews.com. Newly released dispatch records show authorities were alerted to a possible suicide attempt after a note was found on the door of a Las Vegas hotel room — shortly before an 11-year-old girl and her mother were found sho…
thumbnail

Major city doubles its visitor tax to become one of highest amid overtourism concerns

Source: foxnews — Published: 2026-03-06T10:07:09-05:00 — Original
With warmer months on the way, it's time to think about summer travel. FOX Business correspondent Kelly Saberi reports. As popular vacation destinations continue their crackdown on overtourism, one major city has recently raised its traveler tax — making it one of the highest in Europe. The city of …
thumbnail

New video shows rescue of Iran sailors after US attack on ship

Published: 2026-03-06T10:03:44+00:00 — Original
New video shows rescue of Iran sailors after US attack on ship New video released by the Sri Lankan navy shows Iranian sailors being rescued after a US submarine attack sank their ship in international waters. Share Save
thumbnail

27 Pieces Of Home Decor So Beautiful, Your Place Will Become The Inspo For Your Friends

Source: buzzfeed — Published: 2026-03-06T10:01:02.000Z — Original
We hope you love our recommendations! While every product is independently chosen by our editors, BuzzFeed and our publishing partners may collect a share of sales or other compensation from the links on this page. You can read more about how our affiliate partnerships work in our Editorial Standard…
thumbnail

53 Dems vote against declaring Iran a state sponsor of terror

Source: foxnews — Published: 2026-03-06T09:56:12-05:00 — Original
Fox News chief congressional correspondent Chad Pergram reports on the failed resolution vote as the House backs President Donald Trump on his Iran actions and more on ‘Special Report.’ Dozens of Democrats have voted against a nonbinding resolution in the House that reaffirms Iran as the "largest st…
thumbnail

Epstein files with claims against Trump released by US Justice Department

Published: 2026-03-06T09:45:51Z — Original
Documents summarise interviews with an unidentified woman making accusations against US president over an alleged sexual encounter when she was aged between 13 and 15. Share Save The United States Justice Department has published additional FBI documents, describing interviews with a woman who said …
thumbnail

“You Don’t Feel Shame?”: Bebe Rexha Just Inexplicably Asked Her Fans To Buy Her A Pizza And Sides And, Unsurprisingly, Immediately Got Called Out

Source: buzzfeed — Published: 2026-03-06T09:45:51.000Z — Original
“You can go to X, but can't open the dominoes app?” If I put my location here can someone send me @dominos Wisconsin 6 cheese pie with the garlic crust please and maybe thrown in the Parmesan bread bites. On set and starving Always get what I want pic.twitter.com/6kCAO62ZMh
thumbnail

Jessie Buckley Walked Back Her Divisive Comments On Cats After Backlash, But People Aren’t Buying It

Source: buzzfeed — Published: 2026-03-06T09:40:26.000Z — Original
“I woke up this morning to the world thinking that I really don’t love cats,” said Jessie, who stated during a recent podcast appearance: “I don’t like cats.” As a Celebrity Reporter, I cover everything from fashion and award shows to TV, film, and cultural conversations. One Reddit user said, “Gett…
thumbnail

Capitol Hill Dems hail Trump's DHS ouster of Noem after heated Senate hearing

Source: foxnews — Published: 2026-03-06T09:30:47-05:00 — Original
Democrats cheer her removal while Republicans defend the president’s decision and back Sen. Markwayne Mullin as her replacement. (Credit: Nicholas Ballasy for Fox News Digital) Capitol Hill exploded with reactions on Thursday as news spread that President Donald Trump had ousted Department of Homela…
thumbnail

Iranian vessel suffers engine failure, offloads crew days after US submarine sank other ship

Source: foxnews — Published: 2026-03-06T09:30:15-05:00 — Original
A U.S. submarine sunk an Iranian warship in international waters in the Indian Ocean, War Secretary Pete Hegseth confirmed Wednesday. (Credit: @DeptofWar/X) An Iranian ship offloaded more than 200 members of its crew to Sri Lanka on Friday after suffering an engine failure at sea, just days after a …
thumbnail

Stocks Slide As Oil Price Fears, U.S. Jobs Data Rattle Markets

Source: huffpost — Published: 2026-03-06T09:28:16-0500 — Original
NEW YORK/LONDON, March 6 (Reuters) - Stocks sank on Friday as the U.S.-Israeli war against Iran drove oil prices sharply higher, while an unexpected loss of U.S. jobs in February increased hopes for Federal Reserve rate cuts but did little to cheer investors worried about economic weakness. Trading …
thumbnail

Is BRICS bloc divided over US-Israel attacks on Iran?

Published: 2026-03-06T09:16:36Z — Original
Since India took over as chair, the normally outspoken BRICS grouping of countries appears to be more cautious. Share Save Nearly a week into the United States-Israel war on Iran and the BRICS bloc, a multi-country alliance that includes Tehran, has not reacted in any form to the conflict. To analys…
thumbnail

Will the Houthis join Iran’s war?

Published: 2026-03-06T09:12:59Z — Original
As the regional conflict escalates, Abdel-Malik al-Houthi faces a strategic choice: intervene or stay out. Al Jazeera’s Yemen affairs editor. Share Save The United States-Israeli military strike against Iran on February 28, 2026, was not merely another episode in the region’s long cycle of tensions.…
thumbnail

Hungary temporarily detains 7 Ukrainians and seizes $80 million cash shipment, angering Kiev

Source: yahoo — Published: 2026-03-06T09:02:17.000Z — Original
BUDAPEST, Hungary (AP) — Hungarian authorities temporarily detained seven Ukrainian citizens and seized two armored cars carrying tens of millions of euros (dollars) in cash across Hungary on suspicion of money laundering, officials said Friday. The Ukrainians were released Friday, following their d…
thumbnail

Just 33 Cute Products You Totally Deserve For Making It Through The Week

Source: buzzfeed — Published: 2026-03-06T09:01:02.000Z — Original
We hope you love our recommendations! While every product is independently chosen by our editors, BuzzFeed and our publishing partners may collect a share of sales or other compensation from the links on this page. You can read more about how our affiliate partnerships work in our Editorial Standard…
thumbnail

Country star Brantley Gilbert's kids homeschooled on Georgia farm to avoid learning what 'certain people want'

Source: foxnews — Published: 2026-03-06T09:00:25-05:00 — Original
Brantley Gilbert told Fox News Digital his three kids are homeschooled and learn 'what kids need to know.' Country star Brantley Gilbert has built a life for himself on his South Georgia farm and does everything in his power not to leave it. During an interview with Fox News Digital, Gilbert — who r…
thumbnail

Here come the big bombs as US escalates strikes on Iran's huge military arsenal

Source: foxnews — Published: 2026-03-06T09:00:08-05:00 — Original
Secretary of War Pete Hegseth addresses concerns around homeland security as former DHS Secretary Kristi Noem was fired while war ensues in Iran. "Our stockpiles of defensive and offensive weapons allow us to sustain this campaign as long as we need to," Secretary of War Pete Hegseth said at U.S. Ce…
thumbnail

Four arrested on suspicion of assisting Iran's intelligence service

Published: 2026-03-06T08:53:48.313Z — Original
Four people have been arrested as part of a counter-terrorism investigation relating to Iran, the Metropolitan Police has said. Police arrested one Iranian and three dual British-Iranian nationals on suspicion of assisting a foreign intelligence service. The investigation relates to the suspected su…
thumbnail

JD Vance admits he spoke 'too harshly' against US bishops on immigration issue

Source: foxnews — Published: 2026-03-06T08:43:34-05:00 — Original
Archbishop of New York Timothy Cardinal Dolan joins Fox & Friends to discuss the end of his tenure after 17 years and what his plans are going forward. Vice President JD Vance admitted that he should have worded his criticism of U.S. Catholic bishops "more carefully" after claiming they may have bee…
thumbnail

Cost to US for war on Iran is $3.7bn in first 100 hours, says think tank

Published: 2026-03-06T08:35:27Z — Original
Most of the costs are not budgeted for, meaning the Pentagon will need to request more funding soon, researchers say. Share Save The United States-Israeli war on Iran is estimated to have cost Washington $3.7bn so far in its first 100 hours alone, or nearly $900m a day, driven largely by the huge ex…
thumbnail

Kristi Noem's ouster sparks rare bipartisan agreement on Capitol Hill

Source: foxnews — Published: 2026-03-06T08:35:07-05:00 — Original
Former White House Deputy Chief of Staff Karl Rove explains why the firing of Kristi Noem as DHS secretary was smart and recaps her ad campaign expenses on ‘The Story.’ President Donald Trump took Washington by surprise Thursday with his decision to remove Department of Homeland Security Secretary K…
thumbnail

Tens of thousands in scramble for flights out of Middle East amid Iran war

Published: 2026-03-06T08:29:52Z — Original
Wealthy travellers are paying up to $200,000 to charter flights out of the region. Share Save Tens of thousands of people are scrambling to leave the Middle East after being left stranded by the United States-Israeli war on Iran, with some wealthy travellers spending huge sums to charter private fli…
thumbnail

Chargers' Justin Herbert gushes over Madison Beer in heartfelt birthday tribute: 'Changed my life forever'

Source: foxnews — Published: 2026-03-06T08:28:41-05:00 — Original
Los Angeles Chargers QB Justin Herbert joins Colin Cowherd to discuss the Chargers’ 3-0 start, working under Jim Harbaugh, and preview the matchup between Oregon and Penn State. Los Angeles Chargers quarterback Justin Herbert gushed over 27-year-old singer Madison Beer in a heartfelt birthday tribut…
thumbnail

AI T-shirt could detect hidden heart risks

Source: foxnews — Published: 2026-03-06T08:21:24-05:00 — Original
Fox News Flash top headlines are here. Check out what's clicking on FoxNews.com. Your next heart test might not happen in a hospital. It could start with something you pull from your dresser. Researchers at Imperial College London are developing an artificial intelligence (AI)-powered T-shirt that m…
thumbnail

Look Mum No Computer: UK's Eurovision entrant says his song Eins, Zwei, Drei, is 'a risk'

Published: 2026-03-06T08:18:02.229Z — Original
Experimental musician Look Mum No Computer, who will represent the UK at the Eurovision Song Contest, says he's surprised the BBC chose his "completely wacky" song as this year's entry. Titled Eins, Zwei, Drei, it's an overstuffed sandwich of a song - full of chanted hooks and crunchy keyboards that…
thumbnail

Why did Trump fire Kristi Noem as DHS secretary; who is Markwayne Mullin?

Published: 2026-03-06T08:17:24Z — Original
Noem will serve as special envoy for the Shield of the Americas, while Trump said Markwayne Mullin will lead the Department of Homeland Security. Share Save United States President Donald Trump has announced that Kristi Noem will be replaced as secretary of the Department of Homeland Security (DHS),…
thumbnail

Passengers describe 'surreal' scramble to reach first government flight out of Middle East

Published: 2026-03-06T08:13:44.742Z — Original
British nationals who landed in the UK on the first government flight out of the Middle East since the widespread conflict began six days ago have told how they scrambled across borders to get on the plane. The flight, originally scheduled to leave Oman's capital Muscat on Wednesday night, had its d…
thumbnail

Trump admin squashes controversial Biden rule forcing foster homes to affirm children's LGBTQ+ status

Source: foxnews — Published: 2026-03-06T08:13:39-05:00 — Original
Ainsley Earhardt discusses the Supreme Court's decision to halt California's policy regarding parent notification on student gender identity changes with Thomas More Society executive vice president Peter Breen. A rule implemented during the Biden administration, requiring prospective foster homes t…
thumbnail

Amateur rugby players say 'no help' after early onset dementia diagnoses

Published: 2026-03-06T08:11:32.099Z — Original
Former amateur rugby players with early onset dementia say they have been left with "no help and no hope". Ex-soldier and police officer Ross Coombs, 43, who captained British Army and club teams in south Wales, has been diagnosed with early onset dementia and probable Chronic Traumatic Encephalopat…
thumbnail

‘British Bases Out’: Anger in Cyprus over UK bases after drone strike

Published: 2026-03-06T08:03:18Z — Original
Protests grow as attack on British military site stirs fears that Cyprus is being dragged into a regional conflict. Cyprus security fears: EU sends military aid to island Share Save Chants of “British bases out” have rung out in recent days in Limassol, as protesters call for the removal of UK milit…
thumbnail

The Iran conflict will be the ’straw that breaks the camel’s back’ for the U.S. economy if it goes on much longer, Nobel laureate Paul Krugman warns

Source: yahoo — Published: 2026-03-06T08:03:00.000Z — Original
The U.S. economy has been on unsteady footing for a while now, but the catalyst to tip it over the edge could be an event playing out on the other side of the world. The conflict in Iran is not even a week old, but observers are already seeing ways the war could cascade and contribute to a broader e…
thumbnail

31 Useful Products Thirtysomethings Say They 'Love, Love, Love'

Source: buzzfeed — Published: 2026-03-06T08:01:03.000Z — Original
We hope you love our recommendations! While every product is independently chosen by our editors, BuzzFeed and our publishing partners may collect a share of sales or other compensation from the links on this page. You can read more about how our affiliate partnerships work in our Editorial Standard…
thumbnail

Man who was on parole after prior violent offenses now accused in 4 murders

Source: foxnews — Published: 2026-03-06T08:00:26-05:00 — Original
Fox News Flash top headlines are here. Check out what's clicking on FoxNews.com. A Colorado parolee once classified as a "very high" risk to reoffend is now charged in four separate killings across three counties — including three counts of first-degree murder tied to an alleged 2025 crime spree. Ri…
thumbnail

Thousands displaced in Beirut after Israeli forced evacuation order

Published: 2026-03-06T08:00:11+00:00 — Original
Thousands displaced in Beirut after Israeli forced evacuation order Al Jazeera’s Zeina Khodr is in Beirut where more people have been sleeping on the streets due to Israel’s forced evacuation orders and bombing of the southern suburbs, an area seen as a Hezbollah stronghold. Share Save
thumbnail

1 in 5 Americans admit to sneaking in own sauces as hot restaurant trend goes viral

Source: foxnews — Published: 2026-03-06T08:00:10-05:00 — Original
Indiana restaurateur Ed Schwartzman shares the details about his newest menu item, revealing how smashed beef, melted cheese, grilled onions and an unconventional protein choice came together after hands-on testing with Fernando and Alberto Mendoza. Americans are getting saucy — and restaurants are …
thumbnail

Among Young Climate Scientists, a Growing Interest In Geoengineering

Source: yahoo — Published: 2026-03-06T08:00:00.000Z — Original
Fed up with a lack of action on climate change, some students are researching dimming the sun despite the pushback from other scientists. Yashas Raj and Jake Chapman are hunkered down in a basement laboratory at the University of Cambridge’s Department of Engineering — tinkering with a handheld nozz…
thumbnail

Dream vacation becomes nightmare as dozens fall ill in suspected norovirus outbreak on cruise ship

Source: foxnews — Published: 2026-03-06T07:24:31-05:00 — Original
Footage provided by a U.S. Coast Guard member shows the heavy icebreaker Polar Star maneuvering through dense Antarctic ice to free the Scenic Eclipse II after the expedition cruise ship became immobilized near McMurdo Sound. Nearly 80 people fell ill with a suspected norovirus outbreak on a major c…
thumbnail

More than 120 killed in Israel’s Lebanon attacks as Beirut, south, east hit

Published: 2026-03-06T07:23:30Z — Original
Lebanon’s Hezbollah group urges Israelis to evacuate border areas as Israel continues to bomb the country. Share Save The death toll from Israeli attacks on Lebanon this week has risen to at least 123 people, the Lebanese Ministry of Public Health says, as a new wave of strikes pounded the country a…
thumbnail

AEW star Dustin Rhodes shares health update, why company's on hot streak

Source: foxnews — Published: 2026-03-06T07:16:26-05:00 — Original
Fox News Flash top sports headlines are here. Check out what's clicking on FoxNews.com. Dustin Rhodes was lifted onto the shoulders of his pro wrestling colleagues when he won the vacated All Elite Wrestling (AEW) TNT Championship at All In, outlasting Sammy Guevara, Daniel Garcia and Kyle Fletcher.…
thumbnail

Trump Posts Transgender Edict That Angers Conservatives — And Then Changes It

Source: huffpost — Published: 2026-03-06T07:11:41-0500 — Original
President Donald Trump was blasted by conservatives for posting a Truth Social message Thursday that approved of transgender surgery for minors with parental consent. “NO TRANSGENDER MUTILATION SURGERY FOR CHILDREN, WITHOUT THE EXPRESS WRITTEN APPROVAL OF THE PARENTS” was listed in Trump’s promotion…
thumbnail

US allows India to buy Russian oil during US-Israel war with Iran

Published: 2026-03-06T07:11:25.643Z — Original
The US government has temporarily eased sanctions to allow India to buy Russian oil currently stranded at sea, amid escalating tensions in the Middle East. Treasury Secretary Scott Bessent said the 30-day waiver was a "deliberate short-term measure" to allow oil to keep flowing in the global market.…
thumbnail

American speedskaters Erin Jackson, Jordan Stolz reflect on Winter Olympics, patriotism

Source: foxnews — Published: 2026-03-06T07:09:27-05:00 — Original
Fox News Flash top sports headlines are here. Check out what's clicking on FoxNews.com. Speedskaters Erin Jackson and Jordan Stolz proudly represented Team USA at the 2026 Winter Olympics last month. Jackson, who was the first Black woman to win speedskating gold when she did it at the 2022 Olympics…
thumbnail

Trump Straight-Out Says Which Country Could Be Next For Regime Change

Source: huffpost — Published: 2026-03-06T07:05:51-0500 — Original
Cuba appears to be next on Donald Trump’s hit list. But not just yet. The president appeared to suggest U.S.-assisted regime change in the communist-run Caribbean island is on his agenda during a speech Thursday while hosting Argentine soccer star Lionel Messi and his Inter Miami teammates at the Wh…
thumbnail

Soros-backed, pro-China network fuels protests against US tech firms

Source: foxnews — Published: 2026-03-06T07:04:42-05:00 — Original
On March 3, the Party for Socialism and Liberation, a protest wing of a network funded by pro-China tycoon Neville Roy Singham, and the All-African People's Revolutionary Party co-organized a demonstration against Palantir Technologies' new headquarters in Florida. (AJ Skuy for Fox News Digital) As …
thumbnail

28 Problem-Solving Products To Keep You Comfy So You Don't Have To Suffer In Silence

Source: buzzfeed — Published: 2026-03-06T07:01:02.000Z — Original
We hope you love our recommendations! While every product is independently chosen by our editors, BuzzFeed and our publishing partners may collect a share of sales or other compensation from the links on this page. You can read more about how our affiliate partnerships work in our Editorial Standard…
thumbnail

Jewish leaders want Chicago mayor to create antisemitism task force

Source: foxnews — Published: 2026-03-06T07:00:55-05:00 — Original
U.S. Ambassador Mike Waltz says the United Nations has an "atrocious history" on antisemitism and urges institutional change. Jewish leaders are pressuring Chicago Mayor Brandon Johnson to establish an antisemitism task force because they believe he’s not doing enough to protect the Jewish community…
thumbnail

Brain aging may accelerate after cancer treatment, study suggests

Source: foxnews — Published: 2026-03-06T07:00:10-05:00 — Original
Fox News senior correspondent Jonathan Serrie discusses the increase in colon cancer rates among young adults on ‘Special Report.’ Surviving cancer as a child or young adult may have a lasting impact on aging, new research suggests. Researchers at the University of Rochester Medical Center looked at…
thumbnail

MARGARET SPELLINGS: AI is here — and America's schools aren't preparing our kids to survive it

Source: foxnews — Published: 2026-03-06T07:00:10-05:00 — Original
Fox News anchor Bret Baier explores how the technology is changing how the world operates on 'Special Report.' Hardly a day passes without a new headline about the potential for artificial intelligence to dramatically change the workforce and the economy. AI can write code and generate photorealisti…
thumbnail

DAVID MARCUS: SCOTUS gets case on transing kids right, despite three clueless justices

Source: foxnews — Published: 2026-03-06T06:59:04-05:00 — Original
Ainsley Earhardt discusses the Supreme Court's decision to halt California's policy regarding parent notification on student gender identity changes with Thomas More Society executive vice president Peter Breen. The Supreme Court ruled earlier this week in a 6-3 decision that California teachers can…
thumbnail

US sinks over 30 Iranian ships in Operation Epic Fury and more top headlines

Source: foxnews — Published: 2026-03-06T06:55:46-05:00 — Original
1. US sinks over 30 Iranian ships as Operation Epic Fury devastates Tehran's military 2. President Trump fires DHS Secretary Kristi Noem 3. House votes against restraining Trump's Iran strikes  RELATIONS RESTORED — US restores diplomatic relations with Venezuela weeks after Maduro capture. Continue …
thumbnail

Is Enphase Energy, Inc. (ENPH) One of the Best Solar Stocks to Buy Now?

Source: yahoo — Published: 2026-03-06T06:50:51.000Z — Original
Enphase Energy, Inc. (NASDAQ:ENPH) is one of the best solar stocks to buy now. On February 25, analysts at Jefferies upgraded Enphase Energy, Inc. (NASDAQ:ENPH) to a Buy from a Hold and raised the price target to $57 from $42. The upgrade is in response to what the research firm believes is improvin…
thumbnail

First Solar, Inc. (FSLR) 2026 Guidance Disappoints Wall Street Firms, Triggers Downgrades

Source: yahoo — Published: 2026-03-06T06:50:50.000Z — Original
First Solar, Inc. (NASDAQ:FSLR) is one of the best solar stocks to buy now. First Solar (NASDAQ:FSLR) has a consensus rating of Moderate Buy from 24 analysts. The 12-month price target averages $251.49, ranging from $150 to $312, implying a potential 25.8% upside from its current price of $199.86. O…
thumbnail

Array Technologies, Inc. (ARRY) Expands Solar Tracker Business with Record Order Book

Source: yahoo — Published: 2026-03-06T06:50:48.000Z — Original
Array Technologies, Inc. (NASDAQ:ARRY) is one of the best solar stocks to buy now. On February 26, Array Technologies, Inc. (NASDAQ:ARRY) reported fourth-quarter and full-year results with a record $2.2 billion order book and 35% annual volume growth, demonstrating the payoff from investments in pro…
thumbnail

Tigo Energy, Inc. (TYGO) Reports Strong Revenue Growth and Secures New Capital

Source: yahoo — Published: 2026-03-06T06:50:45.000Z — Original
Tigo Energy Inc. (NASDAQ:TYGO) is one of the best solar stocks to buy now. On February 25, Tigo Energy Inc. (NASDAQ:TYGO) entered into a definitive agreement with an institutional investor for the purchase and sale of 5 million shares at $3 a share. The company is poised to generate $15 million in g…
thumbnail

Sunrun Inc. (RUN) Reports Strong Revenue Growth but Faces Cautious 2026 Outlook

Source: yahoo — Published: 2026-03-06T06:50:43.000Z — Original
Sunrun Inc. (NASDAQ:RUN) is one of the best solar stocks to buy now. On February 26, CFO Danny Abajian affirmed Sunrun Inc. (NASDAQ:RUN) is on pace for another strong year, having surpassed its cash generation midpoint for 2025. The remarks coincide with the company delivering fourth-quarter revenue…
thumbnail

Beam Global (BEEM) Advances Off-Grid EV Charging and Autonomous Vehicle Technology

Source: yahoo — Published: 2026-03-06T06:50:41.000Z — Original
Beam Global (NASDAQ:BEEM) is one of the best solar stocks to buy now. On February 24, Beam Global (NASDAQ:BEEM), in partnership with HEVO Inc., unveiled a combined technology solution that provides the first integrated autonomous wireless charging system. The solution is powered by the EV ARC off-gr…
thumbnail

FTC Solar, Inc. (FTCI) Inks Multi-Year Solar Tracker Supply Agreement in South Africa

Source: yahoo — Published: 2026-03-06T06:50:40.000Z — Original
FTC Solar Inc. (NASDAQ:FTCI) is one of the best solar stocks to buy now. On February 24, FTC Solar Inc. (NASDAQ:FTCI) entered into a three-year supply agreement with Lubanzi Inala, a South African solar procurement company. The agreement is for the provision of solar tracker systems for multiple uti…
thumbnail

Shoals Technologies Group, Inc. (SHLS) Partners with ON.energy for AI Data Center Opportunities Backed by Record Backlog

Source: yahoo — Published: 2026-03-06T06:50:38.000Z — Original
Shoals Technologies Group, Inc. (NASDAQ:SHLS) is one of the best solar stocks to buy now. On February 26, Shoals Technologies Group, Inc. (NASDAQ:SHLS) announced a strategic collaboration with ON.energy for the deployment of multiple gigawatts of critical power systems into the AI data center market…
thumbnail

Sudanese army retakes Bara, secures el-Obeid in North Kordofan

Published: 2026-03-06T06:40:54Z — Original
Source tells Al Jazeera that army destroyed 32 RSF combat vehicles, killed dozens of RSF fighters in clashes, drone attacks. Share Save The government-aligned Sudanese Armed Forces (SAF) have announced they have retaken the city of Bara, the second-largest city in North Kordofan state in the west of…
thumbnail

Dem Senate hopeful holds event at bookstore selling 'ABOLISH ICE' merch despite pledge to 'secure the border'

Source: foxnews — Published: 2026-03-06T06:30:26-05:00 — Original
Pittsburgh-based columnist Salena Zito discusses President Donald Trump's 'these people are crazy' remark from his State of the Union address. A Democratic U.S. Senate hopeful in Iowa is pitching himself as a candidate who believes in the party's "old Democratic values." However, on Saturday, state …
thumbnail

Israel pounds Hezbollah targets, daring Lebanon to reclaim sovereignty from Iran-backed terror proxy

Source: foxnews — Published: 2026-03-06T06:30:00-05:00 — Original
Israel Defense Forces arrive in southern Lebanon, Wednesday, as thousands flee fighting with Iranian-backed proxy terrorist group, Hezbollah. (Credit: IDF) Amid the ongoing conflict with Iran, analysts say the Trump administration should pressure Lebanon to fulfill its commitments to disarm the Iran…
thumbnail

Tehran hit by heavy bombing on day seven of US-Israel war on Iran

Published: 2026-03-06T06:28:39Z — Original
An Al Jazeera correspondent in Tehran describes the bombardment in Iran’s capital as more intense than previously seen. Share Save Intense air attacks have pounded Tehran and other Iranian cities on the seventh day of the US-Israeli war on the country, amid warnings from United States Defense Secret…
thumbnail

'If it wasn't for CPR, I wouldn't be here today', says Witney GP

Published: 2026-03-06T06:25:00.364Z — Original
"I found the shock of what happened to me difficult to get my head round." In August 2023, Oxfordshire GP Dr Nick Thomas was playing his usual weekly Thursday evening game of football with friends when he suddenly collapsed. Having had a cardiac arrest, his life was saved by three of his teammates –…
thumbnail

Iran war: What is happening on day seven of US-Israel attacks?

Published: 2026-03-06T06:18:53Z — Original
After six days of US-Israeli attacks on Iran, the conflict is escalating as regional tensions rise. Share Save The war between the United States, Israel and Iran has entered its seventh day, with attacks continuing across Iran and other countries in the Middle East. Iran continues its missile and dr…
thumbnail

Maggi Hambling painting raffle raises £22k for Suffolk church fund

Published: 2026-03-06T06:18:02.212Z — Original
A Grade I listed church has raised £22,300 towards a new heating system by raffling off a Maggi Hambling painting. St Mary's Church in Woodbridge, Suffolk, said last December it needed to raise £200,000 after its boiler broke and needed to be placed. To help towards that, the church sold raffle tick…
thumbnail

Forcibly displaced Lebanese seek food, clothing, and comfort in shelters

Published: 2026-03-06T06:04:16+00:00 — Original
Forcibly displaced Lebanese seek food, clothing, and comfort in shelters Fouad George is one of the many people stepping to help their fellow Lebanese citizens, forcibly displaced by Israel’s growing military campaign. Share Save
thumbnail

London doctor carries out first UK remote robotic surgery

Published: 2026-03-06T06:02:06.435Z — Original
A surgeon in London says he has performed the UK's first long‑distance robotic operation on a patient located 1,500 miles (2,400km) away in Gibraltar. Leading robotic urological surgeon Professor Prokar Dasgupta said it felt "almost as if I was there" as he carried out a prostate removal on Paul Bux…
thumbnail

Calling All Homebodies: These 25 Products Will Give You (Another) Reason Not To Leave Your House This Weekend

Source: buzzfeed — Published: 2026-03-06T06:01:01.000Z — Original
We hope you love our recommendations! While every product is independently chosen by our editors, BuzzFeed and our publishing partners may collect a share of sales or other compensation from the links on this page. You can read more about how our affiliate partnerships work in our Editorial Standard…
thumbnail

Trump Rules Out Talks Absent Iran’s ‘Unconditional Surrender’

Source: huffpost — Published: 2026-03-06T06:01:00-0500 — Original
DUBAI, United Arab Emirates (AP) — U.S. President Donald Trump said Friday that he would not seek a deal with Iran without the country’s “unconditional surrender” as Washington warned of a forthcoming bombing campaign that officials said would be the most intense of the weeklong conflict. Israel sai…
thumbnail

Mayors for a Guaranteed Income push to solve affordability crisis with no-strings attached cash assistance

Source: foxnews — Published: 2026-03-06T06:00:50-05:00 — Original
Fox News senior White House correspondent Jacqui Heinrich reports on President Donald Trump’s midterm messaging, highlighting his focus on affordability during remarks in Texas, on 'Special Report.' The president of the Mayors for a Guaranteed Income tells Fox News Digital that working-class America…
thumbnail

Father of girl injured by illegal migrant truck driver slams ‘insensitive’ rhetoric during Noem hearing

Source: foxnews — Published: 2026-03-06T06:00:39-05:00 — Original
Marcus Coleman, Ileana Krause and Dalilah Coleman join 'Fox & Friends' to discuss their appearance at President Donald Trump's State of the Union address following Dalilah's traumatic experience being critically injured by an illegal migrant truck dr The father of a California girl who sustained a t…
thumbnail

California voter ID initiative clears signature threshold, setting up November showdown with Newsom

Source: foxnews — Published: 2026-03-06T06:00:36-05:00 — Original
Michigan congressional candidate Amir Hassan weighs in as Democratic lawmakers, including Sen. Chuck Schumer and Gov. Gavin Newsom, criticize the SAVE Act as racist and a 'Jim Crow 2.0' voter suppression tactic. A petition to require voter I.D. and allow only U.S. citizens to vote has gained momentu…
thumbnail

Spanberger refuses to honor ICE detainer in murder case, escalating showdown with Trump DHS

Source: foxnews — Published: 2026-03-06T06:00:34-05:00 — Original
Gov. Abigail Spanberger, D-Va., praises anti-ICE protests and school walkouts across the country in Democrats' response to President Donald Trump's State of the Union address. Democratic Virginia Gov. Abigail Spanberger is taking heat for telling the Department of Homeland Security that if it wants …
thumbnail

Fox News Digital's News Quiz: March 6, 2026

Source: foxnews — Published: 2026-03-06T06:00:22-05:00 — Original
Test your news knowledge with this week's Fox News Digital News Quiz, in which James Talarico defeated this candidate in the Texas Democrats' primary race for the U.S. Senate, and a pizza chain announced plans to close hundreds of underperforming restaurants in North America. Looking for another cha…
thumbnail

Sarah Ferguson is a ‘loose cannon’ who ‘knows where the bodies are buried,’ royal experts warn

Source: foxnews — Published: 2026-03-06T06:00:07-05:00 — Original
Author Russell Myers told Fox News Digital Prince William warned the monarchy faced lasting damage if Andrew Mountbatten-Windsor remained, citing the BBC "Newsnight "interview. Myers is the author of a new book, "William and Catherine." Sarah Ferguson has a "toxic reputation" and could do "further d…
thumbnail

Asia struggles to find fuel oil as Middle East exports plummet, sources say

Source: yahoo — Published: 2026-03-06T05:54:47.000Z — Original
By Jeslyn Lerh SINGAPORE, March 6 (Reuters) - Fuel oil traders in Asia are struggling to secure alternative supply as the Iran war curtails shipments from key Middle Eastern suppliers through the Strait of Hormuz, prompting them to look to the ‌West for replacement cargoes. The shortage of Middle Ea…
thumbnail

Federal Realty (FRT) Price Target Raised to $125 at Ladenburg amid Retail REIT Re-Rating

Source: yahoo — Published: 2026-03-06T05:51:59.000Z — Original
Federal Realty Investment Trust (NYSE:FRT) is included among the 15 Best Stocks to Buy Now for Passive Income. Image by Alexsander-777 from Pixabay On March 5, Ladenburg raised its price recommendation on Federal Realty Investment Trust (NYSE:FRT) to $125 from $115. It kept a Buy rating on the share…
thumbnail

Trump Spanked On Magazine Cover

Source: huffpost — Published: 2026-03-06T05:48:04-0500 — Original
Donald Trump is depicted receiving a spanking from U.S. Supreme Court Chief Justice John Roberts on the cover of this week’s edition of The Week. In the cartoon, Trump is shown bent over Roberts’ knees as the justice delivers the punishment. The headline reads: “A Supreme Spanking: Why the Roberts c…
thumbnail

UBS Cuts Harley-Davidson (HOG) Price Target; Morgan Stanley Sees Uneven Consumer Environment

Source: yahoo — Published: 2026-03-06T05:44:34.000Z — Original
Harley-Davidson, Inc. (NYSE:HOG) is included among the 15 Best Stocks to Buy Now for Passive Income. On March 4, UBS lowered its price recommendation on Harley-Davidson, Inc. (NYSE:HOG) to $19 from $27. The firm maintained a Neutral rating on the shares. Earlier, on February 18, Morgan Stanley analy…
thumbnail

Oil surges to its highest price since 2023, and stocks drop after a weak update on the US job market

Source: yahoo — Published: 2026-03-06T05:41:43.000Z — Original
NEW YORK (AP) — Oil shot to its highest price since 2023 after surging again Friday because of the Iran war, and a weak update on the U.S. job market knocked stocks lower to cap Wall Street’s worst week since October. The S&P 500 dropped 1.3% after a report showed U.S. employers cut more jobs last m…
thumbnail

34 Beauty Products Reviewers Say Are Their “Go-To”

Source: buzzfeed — Published: 2026-03-06T05:31:02.000Z — Original
We hope you love our recommendations! While every product is independently chosen by our editors, BuzzFeed and our publishing partners may collect a share of sales or other compensation from the links on this page. You can read more about how our affiliate partnerships work in our Editorial Standard…
thumbnail

Dem lawmaker's illegal alien SOTU guest part of records dispute involving police reports: report

Source: foxnews — Published: 2026-03-06T05:30:43-05:00 — Original
Rep. Seth Moulton tells CNN that comparisons of the U.S. to Nazi Germany in the current climate aren't extreme. Rep. Seth Moulton, D-Mass., invited an illegal immigrant guest to this year’s State of the Union address who's referenced in two police reports that Massachusetts authorities have declined…
thumbnail

Iran targets Israeli embassy in Bahrain, Al Udeid airbase in Qatar

Published: 2026-03-06T05:16:24Z — Original
Multiple Gulf nations, Arab states, as well as Turkiye and Azerbaijan have been caught in the crosshairs of the war. Share Save Iran’s semi-official Fars News Agency has reported that overnight attacks on Bahrain’s capital, Manama, targeted the Financial Harbour Towers commercial complex, the locati…
thumbnail

Sports Icon’s Trip To See Trump Gets Kicked Around Online

Source: huffpost — Published: 2026-03-06T05:13:31-0500 — Original
Argentine soccer legend Lionel Messi’s trip to the White House with his Inter Miami teammates drew backlash on social media Thursday. The visit — held to celebrate the David Beckham-co-owned club’s 2025 MLS Cup title — came just five months after Messi’s great rival, Portuguese star Cristiano Ronald…
thumbnail

Texas Shocker? Longtime GOP Pollster Warns State Has 'Exact Ingredient' For Dem Upset.

Source: huffpost — Published: 2026-03-06T05:08:06-0500 — Original
Longtime Republican pollster Frank Luntz is warning the GOP that Texas has the “exact ingredient” for a potential Democratic upset in November’s election for a U.S. Senate seat. “The assumption has been for the last 20, 25 years, that Texas is solidly Republican,” he told NewsNation’s Leland Vittert…
thumbnail

The Surprising Retirement Planning Mistake that Starts at the SSA

Source: yahoo — Published: 2026-03-06T05:03:00.000Z — Original
Just give us your best guess. Most financial advisors let the software do the heavy lifting when it comes to stress-testing a client’s retirement income plan with modern tools that can quickly run Monte Carlo simulations to address longevity risks. Useful as they are, though, a common problem has be…
thumbnail

XYPN’s Michael Kitces Talks Retirement and Flipping the Psychological Switch

Source: yahoo — Published: 2026-03-06T05:02:00.000Z — Original
Retirement sometimes conjures up images of a smiling, silver-haired couple walking the beach. For others, however, it’s the fear of running out of money late in life. Others struggle to picture life after work at all. Michael Kitces, the self-professed financial planning nerd and co-founder of the X…
thumbnail

It's National Oreo Day! So, if you could invent ANY Oreo flavor, what would it be?

Source: buzzfeed — Published: 2026-03-06T05:01:03.000Z — Original
No matter what, it's gotta be double stuffed.
thumbnail

31 Practical Things You’ve Probably Never Thought To Buy Before

Source: buzzfeed — Published: 2026-03-06T05:01:02.000Z — Original
We hope you love our recommendations! While every product is independently chosen by our editors, BuzzFeed and our publishing partners may collect a share of sales or other compensation from the links on this page. You can read more about how our affiliate partnerships work in our Editorial Standard…
thumbnail

401(k) Balances Are Way Up. But Withdrawals Have Reached Record Levels

Source: yahoo — Published: 2026-03-06T05:01:00.000Z — Original
It was the best of times, it was the worst of times. The stock market and peoples’ retirement savings may be up, but that doesn’t mean inflation and day-to-day expenditures are any less painful. Last year, the S&P 500 climbed more than 16%, and average retirement account balances increased 13%, acco…
thumbnail

BlackRock’s Writedown of Small Loan Fuels Private Credit Alarm

Source: yahoo — Published: 2026-03-06T05:01:00.000Z — Original
BlackRock just proved that in private credit, the distance between “perfectly fine” and “worthless” is roughly 90 days. Investors were jolted by the investment giant’s recent writedown of a $25 million loan to an Amazon storefront aggregator from 100 cents on the dollar to nothing. It had marked the…
thumbnail

Parents, not bureaucrats, raise America’s children and the Supreme Court agrees

Source: foxnews — Published: 2026-03-06T05:00:46-05:00 — Original
Ainsley Earhardt discusses the Supreme Court's decision to halt California's policy regarding parent notification on student gender identity changes with Thomas More Society executive vice president Peter Breen. The United States Supreme Court (SCOTUS) issued a landmark ruling that should strike fea…
thumbnail

Construction workers uncover chilling remains at flagship public university, halting project

Source: foxnews — Published: 2026-03-06T05:00:09-05:00 — Original
Archaeologists in Brussels, Belgium, recently came across the remnants of an old cemetery located in a busy part of the city. The remains date back to the Middle Ages. (Source: @mijnmivb via Facebook) Construction workers at the University of Oklahoma came across century-old human remains while on t…
thumbnail

KEN CUCCINELLI: Biden opened our border to Iranian terrorism threats

Source: foxnews — Published: 2026-03-06T05:00:02-05:00 — Original
Jonathan Fahey, former DHS deputy assistant secretary, expresses concern about Iranian nationals illegally crossing the border and the millions of 'gotaways' who are unvetted. In the tense days following the U.S. drone strike that killed Iranian Gen. Qasem Soleimani on Jan. 3, 2020, Iran responded w…
thumbnail

Ask an Advisor: What Are My Options for Managing My Retirement Account After I Retire?

Source: yahoo — Published: 2026-03-06T05:00:00.000Z — Original
When entering retirement, would it be best to transfer your pension fund and 401(k) from your employer account to your own personal individual retirement account (IRA), keeping them under one roof?  -Randy There are a couple of things to be aware of as you consider whether to move your retirement ac…
thumbnail

STEVE FORBES: The AI Cold War has begun and America cannot afford to lose

Source: foxnews — Published: 2026-03-06T05:00:00-05:00 — Original
FOX Business correspondent Max Gorden explains how Happy Returns is using artificial intelligence to audit legitimacy of customer returns on ‘America Reports.’ History teaches a simple lesson: the nation that sets the standards sets the future. In the 20th century, America wrote the rulebook for avi…
thumbnail

ICE Arrested Journalist In Nashville Without Warrant, Her Lawyers Say

Source: huffpost — Published: 2026-03-06T04:59:50-0500 — Original
WASHINGTON, March 5 (Reuters) - A reporter working for local news outlet Nashville Noticias was arrested by the U.S. Immigration and Customs Enforcement in Nashville without a warrant, an emergency petition filed by her attorneys in federal court said. Nashville Noticias said on Thursday the journal…
thumbnail

'I'm still haunted that he died alone': The last voices of the Covid inquiry

Published: 2026-03-06T04:52:33.492Z — Original
Rivka Gottlieb said she still felt "haunted" by the fact that her father, Michael, died alone. He was a fit and active 73-year-old, she said, working part-time in a golf shop and teaching children at his local synagogue. Her story was one of the last to be told at the Covid inquiry, which heard its …
thumbnail

Which "Zootopia" Character Are You Most Like?

Source: buzzfeed — Published: 2026-03-06T04:51:02.000Z — Original
Want to get your very own quizzes and posts featured on BuzzFeed’s homepage and app?
thumbnail

People Who Love To Cook Are Sharing Tiny Tweaks That Make Recipes Taste A Million Times Better

Source: buzzfeed — Published: 2026-03-06T04:46:02.000Z — Original
"You need less than a pinch, but when I use it, my food gets compliments every time." Hi, I’m Hannah Loewentheil, and as a Senior Writer at BuzzFeed I write about all things lifestyle, especially parenting, travel, and food.
thumbnail

Appeals court lifts injunction on Trump’s Chicago immigration operation

Source: foxnews — Published: 2026-03-06T04:39:54-05:00 — Original
Border czar Tom Homan joins Jimmy Failla on Fox Across America to shed light on how the Trump administration's approach to enforcing immigration laws has exponentially improved the situation at the U.S. southern border. A federal appeals court on Thursday lifted a lower court’s injunction that had r…
thumbnail

Prediction Markets Are Pricing in Pennies for a $150,000 Bitcoin by March -- Here's Why I Still Wouldn't Bet Against This Crypto Wild Card

Source: yahoo — Published: 2026-03-06T04:35:00.000Z — Original
Things look a bit grim for Bitcoin (CRYPTO: BTC) right now. It's down 42% from its all-time high of $126,000 from a few months ago and trades for just $72,000. No wonder prediction market traders on Polymarket are only giving Bitcoin a 1% chance of hitting the $150,000 price level by the end of Marc…
thumbnail

"DON'T STOP TAKING THEM!!!!": People Are Sharing The Body Warnings That Demand Immediate Attention, And I Didn't Know Half Of These

Source: yahoo — Published: 2026-03-06T04:31:03.000Z — Original
—Next-Independence905 "A family friend who was staying with us short term was at home by herself, making a pumpkin pie. She suddenly felt ill, and I believe she was feeling short of breath. She went to lie down (for how long I can't remember, but it was after she finished making the pie, because I r…
thumbnail

15 Warning Signs Your Body Is Sending That You Need To Take Seriously Right Now

Source: buzzfeed — Published: 2026-03-06T04:31:03.000Z — Original
"He almost died because the doctors refused to take him seriously." I’m an award-winning writer and editor living in New York City, where I currently work at BuzzFeed as the Senior Lifestyle Editor. "A family friend who was staying with us short term was at home by herself, making a pumpkin pie. She…
thumbnail

Invest In Your Nest: 30 Home Upgrades From Wayfair That'll Pay Off In Comfort And Value

Source: buzzfeed — Published: 2026-03-06T04:31:03.000Z — Original
We hope you love our recommendations! While every product is independently chosen by our editors, BuzzFeed and our publishing partners may collect a share of sales or other compensation from the links on this page. You can read more about how our affiliate partnerships work in our Editorial Standard…
thumbnail

SoftBank eyes up to $40 billion loan to fund OpenAI investment, Bloomberg News reports

Source: yahoo — Published: 2026-03-06T04:27:31.000Z — Original
March 6 (Reuters) - Japanese conglomerate SoftBank is seeking a loan of up to $40 billion, primarily ‌to finance its investment in ChatGPT-maker ‌OpenAI, Bloomberg News reported on Friday, citing people familiar ​with the matter. The bridge loan would hold a roughly 12-month tenor, Bloomberg reporte…
thumbnail

US and Venezuela agree to resume diplomatic ties after Maduro capture

Published: 2026-03-06T04:23:12.487Z — Original
The US and Venezuela have agreed to re-establish diplomatic and consular relations. The agency said in a statement that the two sides would make joint efforts to promote stability, support economic recovery and advance political reconciliation. While their diplomatic relations have been improving si…
thumbnail

Jeff Green Loads Up on The Trade Desk's Beaten-Down Stock. Should You Buy, Too?

Source: yahoo — Published: 2026-03-06T04:23:00.000Z — Original
A huge insider buy usually gets investors' attention. And when that insider is a founder and CEO, it gets even more attention. That is exactly what happened with The Trade Desk (NASDAQ: TTD) on Thursday. Shares rose about 18% on Thursday after CEO Jeff Green disclosed purchases totaling 6 million sh…
thumbnail

Sheep are disappearing from the UK's hills - and its dinner plates

Published: 2026-03-06T04:22:00.696Z — Original
For four generations, Neil Heseltine's family have worked on Hill Top Farm, perched on the hillside of Malhamdale amid the dramatic landscape of the Yorkshire Dales. And for most of that time, sheep were the mainstay of the business. But, Neil says, over the past 20 years there has been "a complete …
thumbnail

What Color Mane Would You Have?

Source: buzzfeed — Published: 2026-03-06T04:21:02.000Z — Original
Not to make you jealous, but my mane is blue! Want to get your very own quizzes and posts featured on BuzzFeed’s homepage and app?
thumbnail

Homeowners Are Sharing The Wildest Things They’ve Found Left Behind By Previous Owners

Source: buzzfeed — Published: 2026-03-06T04:15:02.000Z — Original
A husky puppy was left in the basement. A woman helped her dad bury a body in the backyard. "Our house has original 1949 wood windows, double hung. We like them and didn't want the new ones...so we just called up Habitat for Humanity and told them that if they picked them up, they're free. They had …
thumbnail

Pete Hegseth’s ‘Politically Correct Wars’ Rant Has People Asking 1 Big Question

Source: huffpost — Published: 2026-03-06T04:11:05-0500 — Original
Defense Secretary Pete Hegseth faced backlash and mockery Thursday over a speech about the war with Iran in which he railed against what he called the “dumb, politically correct wars of the past” and insisted the timeline of the U.S.-Israeli military operations is “ours and ours alone to control.” “…
thumbnail

Israel strikes Beirut after evacuation warning sparks panic

Published: 2026-03-06T04:08:48.267Z — Original
Israel has launched airstrikes on Beirut, Lebanon, after ordering hundreds of thousands of people to leave the city's southern suburbs. There were no immediate reports of casualties. The Israeli military says it is targeting Hezbollah across Lebanon, with Beirut's south seen as a stronghold for the …
thumbnail

JPMorgan has a surprising message about markets and war

Source: yahoo — Published: 2026-03-06T04:07:00.000Z — Original
War headlines have a way of sending investors running for the exits. Oil spikes, markets sell off, and the panic feels entirely rational in the moment. But JPMorgan has a message that might surprise you. In its geopolitical market analysis, the bank argues that concerns about war's lasting impact on…
thumbnail

SoftBank Seeks Record Loan of Up to $40 Billion for OpenAI Stake

Source: yahoo — Published: 2026-03-06T04:06:34.000Z — Original
(Bloomberg) -- SoftBank Group Corp. is seeking a loan of as much as $40 billion to mostly help finance its investment in US tech giant OpenAI, according to people familiar with the matter, in what would be its largest-ever borrowing denominated solely in dollars. The bridge loan would have a tenor o…
thumbnail

OptimizeRx Q4 Earnings Call Highlights

Source: yahoo — Published: 2026-03-06T04:05:58.000Z — Original
Strong FY2025 results: OptimizeRx reported fiscal 2025 revenue of $109.4 million and adjusted EBITDA of $24.3 million, with Q4 revenue of $32.2 million, a Q4 gross margin of 74.8% and operating cash flow of $18.7 million, while cash rose to $23.4 million. Updated 2026 outlook and contracting headwin…
thumbnail

Try Making It Through This Post Without Adding A Single Item To Your Cart, I Dare You

Source: buzzfeed — Published: 2026-03-06T04:01:02.000Z — Original
We hope you love our recommendations! While every product is independently chosen by our editors, BuzzFeed and our publishing partners may collect a share of sales or other compensation from the links on this page. You can read more about how our affiliate partnerships work in our Editorial Standard…
thumbnail

Locals stunned as major US reservoir reaches maximum levels following 'great rainstorms': 'That was [an] empty mud hole'

Source: yahoo — Published: 2026-03-06T04:00:00.000Z — Original
Despite historically low snowpack across the state, Gunlock Reservoir in Utah was at about 100% capacity in early February, offering relief to those concerned about the impact of dry conditions on the state's water resources. According to ABC4 Utah, several reservoirs in the state's southern region …
thumbnail

Based On Your Reading Preferences, Which Personality Type Are You?

Source: buzzfeed — Published: 2026-03-06T03:51:02.000Z — Original
Remember: people may judge you, but books never will! Want to get your very own quizzes and posts featured on BuzzFeed’s homepage and app?
thumbnail

How Travelodge in Maidenhead gave sex attacker key to woman's room

Published: 2026-03-06T03:42:22.910Z — Original
A woman who woke up to a man sexually assaulting her in her hotel bed has said she was "failed" by Travelodge after staff gave him a key card and her room number. Kyran Smith had been at the same party as the woman during a night out in December 2022 when they and others retired to their rooms at th…
thumbnail

I Asked My 'Libertarian' Friend A Question About Trump. His Response Told Me Everything.

Source: buzzfeed — Published: 2026-03-06T03:31:02.000Z — Original
"I truly believe it’s healthy to be friends with people you disagree with politically, but this wasn’t politics anymore. It was about morals and ethics..." Going to school full-time and working nights as a security guard would barely cover the rent, and with a new baby in the house, it wouldn’t cove…
thumbnail

If You’re In Your “It’s Time To Think About My Future” Era, You’ll Love These 29 Products

Source: buzzfeed — Published: 2026-03-06T03:31:02.000Z — Original
We hope you love our recommendations! While every product is independently chosen by our editors, BuzzFeed and our publishing partners may collect a share of sales or other compensation from the links on this page. You can read more about how our affiliate partnerships work in our Editorial Standard…
thumbnail

Stephen Colbert Reveals Whom He Hopes Trump Fires Next, And The Audience Loves It

Source: huffpost — Published: 2026-03-06T03:28:06-0500 — Original
“Late Show” host Stephen Colbert on Thursday said he thinks he knows the exact moment that cost Homeland Security Secretary Kristi Noem her job. Noem was fired earlier in the day by President Donald Trump after she testified this week in contentious House and Senate committee hearings in which she w…
thumbnail

Trump DHS Pick’s Wildest Moments Resurface In Damning Montage

Source: huffpost — Published: 2026-03-06T03:26:40-0500 — Original
Conservative-led nonprofit Home of the Brave introduced Sen. Markwayne Mullin (R-Okla.) to the wider public on Thursday with a brutal montage of some of his most eyebrow-raising moments. The supercut arrived after Mullin — a former MMA fighter — was announced as President Donald Trump’s pick to repl…
thumbnail

Isolated and under fire: Iran strikes out as Russia and China stand aside

Source: yahoo — Published: 2026-03-06T03:23:32.000Z — Original
(Corrects reporter location to Beijing, not Hong Kong, in reporting credits) By Samia Nakhoul DUBAI, March 5 (Reuters) - With its supreme leader killed and its war machine under relentless U.S. pressure, Iran now stands largely alone - its longtime partners Russia and China offering nothing more tha…
thumbnail

Build Your Coffee To Reveal Which Jacob Elordi Character Would Love You

Source: buzzfeed — Published: 2026-03-06T03:21:02.000Z — Original
Your coffee order says everything. Are you soft and nostalgic? Dark and obsessive? Golden and untouchable? Want to get your very own quizzes and posts featured on BuzzFeed’s homepage and app?
thumbnail

US House joins Senate to vote down war powers resolution

Published: 2026-03-06T03:20:48+00:00 — Original
US House joins Senate to vote down war powers resolution The US House of Representatives has joined the Senate in killing a war powers resolution that would have forced Donald Trump to end his war on Iran. Although the vote was largely symbolic, Al Jazeera’s Patty Culhane says Democrats are using it…
thumbnail

Choose A Film From Every Decade And We'll Reveal Your Perfect Netflix Watch

Source: buzzfeed — Published: 2026-03-06T03:16:03.000Z — Original
Find out what your '80s film selection means for your next movie night... Want to get your very own quizzes and posts featured on BuzzFeed’s homepage and app?
thumbnail

Older People Are Sharing The Normal Aspects Of Life That Are Quietly Destroying Society

Source: buzzfeed — Published: 2026-03-06T03:16:02.000Z — Original
"We're raising an entire generation that has never been alone with their own thoughts, and nobody's talking about what that does long-term." I'm a Southern California-based writer on the Lifestyle team who likes to try and rank viral foods and read and recommend awesome books. "The more things that …
thumbnail

I Tried The Internet's Favorite No-Fold Dumpling Trick, And Now I'm Obsessed

Source: buzzfeed — Published: 2026-03-06T03:12:05.000Z — Original
And yes, they are as easy and worth it as they look! 1 medium-sized lotus root, finely chopped (see note below) I’ll also note here that not all the filling fit into my eight-inch cast iron skillet, so I had to work in two batches. If you’d like to do it all in one pan, I suggest a large cast-iron s…
thumbnail

Style Disney Princesses To Reveal Your Marvel Heroine Match

Source: buzzfeed — Published: 2026-03-06T02:51:02.000Z — Original
Some of us are totally Scarlet Witches, but others give major Gamora vibes. Want to get your very own quizzes and posts featured on BuzzFeed’s homepage and app?
thumbnail

Peaky Blinders: The Immortal Man - Cillian Murphy says love for characters is 'humbling'

Published: 2026-03-06T02:31:09.150Z — Original
Cillian Murphy has said it's "wonderfully humbling" to see the passion for Peaky Blinders, as he reprises his long-running role as Tommy Shelby in a feature film. The Irish actor has returned to play the Birmingham gangster in Peaky Blinders: The Immortal Man, 13 years after he first took on the par…
thumbnail

16 Shocking Revelations About Celebrity Couples That Only Came Out After They Split

Source: buzzfeed — Published: 2026-03-06T02:31:03.000Z — Original
Content warning: This post mentions abuse, infidelity, addiction, and abortion.  "I have really beautiful friendships with people that I was once romantically involved with," Hunter said. "She's family no matter what." Cher has said she even lived with Tom for a while, and that he was in the "top 5"…
thumbnail

38 Random Products From Amazon Our Readers Are Loving In 2026

Source: buzzfeed — Published: 2026-03-06T02:31:03.000Z — Original
We hope you love our recommendations! While every product is independently chosen by our editors, BuzzFeed and our publishing partners may collect a share of sales or other compensation from the links on this page. You can read more about how our affiliate partnerships work in our Editorial Standard…
thumbnail

Jimmy Kimmel Nails Real Reason Republicans Will Never Put Trump Under Oath On Epstein

Source: huffpost — Published: 2026-03-06T02:28:07-0500 — Original
Jimmy Kimmel on Thursday revealed his theory on why Republicans don’t want President Donald Trump testifying under oath about his relationship with late convicted sex offender Jeffrey Epstein, who was once a close friend. Trump’s name appears in the files frequently, with Rep. Jamie Raskin (D-Md.) s…
thumbnail

If Your Bathroom Needs A Refresh But You Have A Small Budget, These 36 Products Are For You

Source: buzzfeed — Published: 2026-03-06T02:01:03.000Z — Original
We hope you love our recommendations! While every product is independently chosen by our editors, BuzzFeed and our publishing partners may collect a share of sales or other compensation from the links on this page. You can read more about how our affiliate partnerships work in our Editorial Standard…
thumbnail

Solve These Mini Mysteries, And We’ll Reveal Which “Young Sherlock” Character You Are

Source: buzzfeed — Published: 2026-03-06T02:01:02.000Z — Original
Let’s see how sharp your detective skills really are. Want to get your very own quizzes and posts featured on BuzzFeed’s homepage and app?
thumbnail

What Celestial Object Are You The Guardian Of?

Source: buzzfeed — Published: 2026-03-06T01:51:02.000Z — Original
Want to get your very own quizzes and posts featured on BuzzFeed’s homepage and app?
thumbnail

45 Pretty Innovative Home Products You’ll Probably Want Now That You’ve Learned They Exist

Source: buzzfeed — Published: 2026-03-06T01:46:02.000Z — Original
We hope you love our recommendations! While every product is independently chosen by our editors, BuzzFeed and our publishing partners may collect a share of sales or other compensation from the links on this page. You can read more about how our affiliate partnerships work in our Editorial Standard…
thumbnail

Experts issue warning as historic crisis threatens US cattle industry — here's what's happening

Source: yahoo — Published: 2026-03-06T01:45:00.000Z — Original
The Southern Plains are entering a sixth straight year of drought, and experts say the historic dry spell could permanently reshape one of the United States' most important industries: cattle ranching. Large swaths of Oklahoma, Texas, and beyond have been locked in severe drought conditions. Accordi…
thumbnail

Apple’s latest product is a game-changer

Source: yahoo — Published: 2026-03-06T01:37:00.000Z — Original
Apple (AAPL) stock has gained about 11% in the past year, at the time of writing, Thursday morning, March 5, according to Yahoo Finance. Meanwhile, the SPDR S&P 500 index (SPY) is up almost 19% in the same period. Lagging behind the S&P 500 isn’t exactly a good result for the company. However, it is…
thumbnail

Video shows projectile exploding near Ali al-Salem Air Base in Kuwait

Published: 2026-03-06T01:32:29+00:00 — Original
Video shows projectile exploding near Ali al-Salem Air Base in Kuwait Videos showed a projectile striking near Kuwait’s Ali al-Salem Air Base, which has hosted a substantial number of US forces. Earlier on Thursday, the United States announced it was closing its embassy in the country and is reporte…
thumbnail

A Snot Sucker And 37 Other Things That'll Make You Say “Ew, I’m Impressed”

Source: buzzfeed — Published: 2026-03-06T01:31:02.000Z — Original
We hope you love our recommendations! While every product is independently chosen by our editors, BuzzFeed and our publishing partners may collect a share of sales or other compensation from the links on this page. You can read more about how our affiliate partnerships work in our Editorial Standard…
thumbnail

First UK government flight for Britons stranded in Middle East departs

Published: 2026-03-06T01:30:06.356Z — Original
A flight chartered by the government to bring back some Britons stranded in the Middle East has arrived in the UK. The flight, originally scheduled to leave Oman's capital Muscat on Wednesday, had its departure delayed following some technical issues. It eventually took off nearly 24 hours late on T…
thumbnail

23 Activities And Hands-On Products You Might Enjoy Even More Than A Reality Show Marathon

Source: buzzfeed — Published: 2026-03-06T01:16:02.000Z — Original
We hope you love our recommendations! While every product is independently chosen by our editors, BuzzFeed and our publishing partners may collect a share of sales or other compensation from the links on this page. You can read more about how our affiliate partnerships work in our Editorial Standard…
thumbnail

How US sinking of Iranian warship blew hole in Modi’s ‘guardian’ claims

Published: 2026-03-06T01:09:29Z — Original
India sees itself a security provider in the Indian Ocean. On Wednesday, it couldn’t save even its own guest. Share Save New Delhi, India — Dressed in a blue Navy uniform and sleek sunglasses, Indian Prime Minister Narendra Modi, in late October, addressed a gathering of the country’s sea warriors. …
thumbnail

ICE Barbie’s Alleged Lover Cornered on Why She Was Fired

Source: yahoo — Published: 2026-03-06T01:05:38.000Z — Original
“ICE Barbie” Kristi Noem’s alleged lover Corey Lewandowski has spoken out on President Donald Trump’s decision to oust her as the homeland security secretary. Lewandowski, 52, a top aide to Noem, was cornered on why Trump unceremoniously ousted the DHS secretary, 54, in a phone interview with the Ne…
thumbnail

40 Beauty Products That Deliver Champagne Results On A Beer Budget

Source: buzzfeed — Published: 2026-03-06T01:01:02.000Z — Original
We hope you love our recommendations! While every product is independently chosen by our editors, BuzzFeed and our publishing partners may collect a share of sales or other compensation from the links on this page. You can read more about how our affiliate partnerships work in our Editorial Standard…
thumbnail

Who is Ahmad Vahidi, the IRGC’s new commander?

Published: 2026-03-06T01:00:38Z — Original
Ahmad Vahidi takes command of Iran's Revolutionary Guards as the country battles a devastating US-Israeli assault Share Save Brigadier General Ahmad Vahidi has a job that’s among the most powerful and influential in Iran – and one in which the shadow of death constantly hovers. Vahidi has taken comm…
thumbnail

24 Things We Learned From Sarah J. Maas's "Call Her Daddy" Interview

Source: buzzfeed — Published: 2026-03-06T00:56:59.000Z — Original
Sarah J. Maas spilled on Call Her Daddy — including news of not one, but TWO new ACOTAR books! Here's everything we learned from the interview. Contributor for HuffPost Books and Editor of The Lit Drop ***Note: For anyone who hasn't read every SJM book series, there are plenty of spoilers ahead. Tho…
thumbnail

Britney Spears arrested in California on suspicion of driving under the influence

Published: 2026-03-06T00:51:38.604Z — Original
Britney Spears has been arrested in California under suspicion of driving under the influence of alcohol and drugs. The singer was detained by California Highway Patrol (CHP) at around 21:30 local time (05:30 GMT) on Wednesday. A representative for her told the BBC: "This was an unfortunate incident…
thumbnail

Which Energy Drink Brand Matches Your Vibe?

Source: buzzfeed — Published: 2026-03-06T00:51:02.000Z — Original
There's a BIG difference between an Alani person and a Monster person. Want to get your very own quizzes and posts featured on BuzzFeed’s homepage and app?
thumbnail

Just 27 Cute Tops From Amazon… Because That’s The Only Thing People See When You WFH

Source: buzzfeed — Published: 2026-03-06T00:46:02.000Z — Original
We hope you love our recommendations! While every product is independently chosen by our editors, BuzzFeed and our publishing partners may collect a share of sales or other compensation from the links on this page. You can read more about how our affiliate partnerships work in our Editorial Standard…
thumbnail

Newspaper headlines: 'PM vows to shield Brits' and 'Panic in Dubai'

Published: 2026-03-06T00:45:52.096Z — Original
Sign up for our morning newsletter and get BBC News in your inbox.
thumbnail

US says Iran missile attacks down 90% after strikes from B-2 bombers

Published: 2026-03-06T00:39:14+00:00 — Original
US says Iran missile attacks down 90% after strikes from B-2 bombers The head of US Central Command says B-2 bombers have dropped dozens of 2,000-pound bombs on buried Iranian ballistic missile launchers, contributing to a 90% drop in missile attacks. The commander added an Iranian “drone carrier sh…
thumbnail

Army reservist, 20, killed in Iranian drone strike in Kuwait, spent final hours reassuring family: ‘I’m good’

Source: yahoo — Published: 2026-03-06T00:33:42.000Z — Original
Fallen U.S. Army Reserve Sgt. Declan Coady, 20, spent his final hours in Kuwait sending steady updates home to ease his family’s fears amid the war with Iran and before silence replaced his messages and uniformed officers arrived at his parents’ door. Coady, a Drake University student from Des Moine…
thumbnail

26 Controversial American Foods That People Claim Are The Worst Things They've Ever Tasted

Source: buzzfeed — Published: 2026-03-06T00:31:02.000Z — Original
Angelica Martinez is the Latine Editorial Lead at BuzzFeed and covers a little bit of everything, from quizzes and true crime to celebrities and pop culture. Hey, you! Yeah, you. Do you have a regional dish you think is the absolute worst in the U.S.? Join the conversation in the comments or anonymo…
thumbnail

Just 50 Products That Are Actually Worth Every Penny You'll Spend On Them

Source: buzzfeed — Published: 2026-03-06T00:31:02.000Z — Original
We hope you love our recommendations! While every product is independently chosen by our editors, BuzzFeed and our publishing partners may collect a share of sales or other compensation from the links on this page. You can read more about how our affiliate partnerships work in our Editorial Standard…
thumbnail

Rocket Lab launches mystery satellite for 'confidential commercial customer'

Source: yahoo — Published: 2026-03-06T00:29:43.000Z — Original
When you buy through links on our articles, Future and its syndication partners may earn a commission. Rocket Lab launched a mystery satellite for a secretive private customer this evening (March 5). An Electron rocket lifted off from Rocket Lab's New Zealand site today at 6:53 p.m. EST (2353 GMT; 1…
thumbnail

Trump White House's Attempt To Use A Pokémon Meme Backfires Spectacularly

Source: huffpost — Published: 2026-03-06T00:27:37-0500 — Original
President Donald Trump’s White House social media team tried to capitalize on a popular new Pokémon meme. It didn’t go well. Tweeting from the official account on X, the White House social media team used a meme generator to place Trump’s MAGA slogan into a scene from the new “Pokémon Pokopia” game:…
thumbnail

Most English Professors Can't Even Define These 12 *Extremely* Long Words — Can You?

Source: buzzfeed — Published: 2026-03-06T00:16:03.000Z — Original
For anyone who can recite the alphabet backwards — or can casually spell supercalifragilisticexpialidocious without blinking — this 12-question quiz about long words is for you! Want to get your very own quizzes and posts featured on BuzzFeed’s homepage and app?
thumbnail

35 Products I Know You’ll Love Because I'm Friends With Your Algorithm

Source: buzzfeed — Published: 2026-03-06T00:16:02.000Z — Original
We hope you love our recommendations! While every product is independently chosen by our editors, BuzzFeed and our publishing partners may collect a share of sales or other compensation from the links on this page. You can read more about how our affiliate partnerships work in our Editorial Standard…
thumbnail

Billy Porter Said He Was “Dead For 3 Days,” And His Story Is Truly Chilling

Source: buzzfeed — Published: 2026-03-06T00:11:29.000Z — Original
"There was so much puss, and bile, and infection." If you must know, I based my entire personality on Seasons 2-5 of "Girls," and I'm a huge gamer.
thumbnail

Five ways the Iran war could affect you - in charts

Published: 2026-03-06T00:05:31.314Z — Original
The eruption of the Iran conflict has brought with it consequences that extend far beyond the Middle East. The region plays a key role in global energy supplies and shipping routes, prompting concerns that everything from heating bills to supermarket shopping baskets could become more expensive. Her…
thumbnail

2024 TfL hack affected around 10 million people, BBC can reveal

Published: 2026-03-06T00:05:12.921Z — Original
Around 10 million people had their data stolen when Transport for London (TfL) was hacked in 2024, the BBC has discovered, making it one of the biggest hacks in British history. At the time the company only disclosed that "some" customers had been affected, but has now confirmed that millions of peo…
thumbnail

47 Practical Things You Don't Realize You Need Until You Buy A House

Source: buzzfeed — Published: 2026-03-06T00:01:02.000Z — Original
We hope you love our recommendations! While every product is independently chosen by our editors, BuzzFeed and our publishing partners may collect a share of sales or other compensation from the links on this page. You can read more about how our affiliate partnerships work in our Editorial Standard…
thumbnail

Trump says Iran being ‘demolished’; Tehran warns US against ground invasion

Published: 2026-03-06T00:00:00Z — Original
Iran’s Foreign Minister Abbas Araghchi says ‘no reason why we should negotiate with the US’ as Washington cannot be trusted. Al Jazeera Live Share Save
thumbnail

Here's What Trump's New DHS Pick Said About Alex Pretti's Killing

Source: huffpost — Published: 2026-03-05T23:58:35-0500 — Original
Questions are already emerging about ousted Homeland Security Secretary Kristi Noem’s named successor, Sen. Markwayne Mullin (R-Okla.), and how DHS could change under his leadership — or what might stay the same. President Donald Trump, in his Thursday social media post announcing Noem’s firing, did…
thumbnail

Rep. Tony Gonzales announces he will not seek re-election amid House Ethics investigation into affair

Source: foxnews — Published: 2026-03-05T23:57:27-05:00 — Original
Fox News Flash top headlines are here. Check out what's clicking on FoxNews.com. Rep. Tony Gonzales, R-Texas, announced Thursday evening he will not seek re-election amid a House Ethics investigation into an affair he admitted to having with a former staffer. Gonzales, a married father of 6, admitte…
thumbnail

Russell Wilson escalates feud with Sean Payton, labels Broncos coach 'classless'

Source: foxnews — Published: 2026-03-05T22:05:39-05:00 — Original
Super Bowl champion QB Drew Brees joins Colin Cowherd to reflect on his playoff moments with Sean Payton. Russell Wilson and Sean Payton spent just one NFL season together, but tension lingered after a rocky year. And it appears the tension that built up from that tumultuous stretch continues to lin…
thumbnail

Legendary former Packers President and CEO Bob Harlan dead at 89

Source: foxnews — Published: 2026-03-05T21:50:05-05:00 — Original
Nick Wright, Kevin Wildes, Chris Broussard and Danny Parkins discuss concern over a potential Super Bowl hangover for Patriots fans. Bob Harlan, who served as Green Bay Packers president and CEO for almost two decades, has died. He was 89.  The Packers announced Harlan’s death earlier Thursday, sayi…
thumbnail

Federal agents arrest 12 alleged members of LA's massive 18th Street gang drug trafficking operation

Source: foxnews — Published: 2026-03-05T21:47:39-05:00 — Original
Fox News Flash top headlines are here. Check out what's clicking on FoxNews.com. A dozen alleged members and associates of a notorious Los Angeles street gang were arrested in a sweeping federal takedown Thursday, the U.S. Attorney’s Office for the Central District of California announced. Authoriti…
thumbnail

Investigation Points To Likely U.S. Responsibility In Iran School Strike, Sources Say

Source: huffpost — Published: 2026-03-05T21:30:14-0500 — Original
March 5 (Reuters) - U.S. military investigators believe it is likely that U.S. forces were responsible for an apparent strike on an Iranian girls’ school that killed scores of children on Saturday but have not yet reached a final conclusion or completed their investigation, two U.S. officials told R…
thumbnail

Trump criticizes modern MLB during White House event: 'They do things wrong'

Source: foxnews — Published: 2026-03-05T21:29:23-05:00 — Original
President Donald Trump recalls with late New York Yankees owner George Steinbrenner. The celebration revolved around a soccer team, but President Donald Trump was talking baseball at the White House on Thursday afternoon.  More specifically, his displeasure with the current MLB product.  Trump was h…
thumbnail

Ohio mother charged with murdering two daughters found buried in suitcases near Cleveland

Source: foxnews — Published: 2026-03-05T21:18:34-05:00 — Original
Fox News Flash top headlines are here. Check out what's clicking on FoxNews.com. An Ohio mother was charged Thursday with aggravated murder after the bodies of her two young daughters were found buried in separate suitcases in shallow graves in Cleveland earlier this week, officials said. Aliyah Hen…
thumbnail

Private flights account for 30% of departures from Oman airport as wealthy evacuate Middle East

Source: foxnews — Published: 2026-03-05T21:14:58-05:00 — Original
FlightRadar24 on Thursday reported a growing number of private flights in Oman as the war in Iran continues, grounding commercial flights at major Middle Eastern airports. (Flightradar24) Long border crossings, SUV convoys and six-figure jet charters have become the new escape route out of the Middl…
thumbnail

Jayson Tatum, 10 months after Achilles injury, expected to return to Celtics Friday vs Mavericks: report

Source: foxnews — Published: 2026-03-05T21:09:21-05:00 — Original
Jason McIntyre unveils his list of Top 10 American NBA players to build around, featuring Cooper Flagg, Cade Cunningham and Kawhi Leonard. Jayson Tatum’s return to an NBA court appears to be coming much sooner than anyone expected.   The Boston Celtics superstar could be suiting up as early as Frida…
thumbnail

Katie Couric asks Gavin Newsom if being 'ridiculously good-looking' is a problem

Source: foxnews — Published: 2026-03-05T20:58:04-05:00 — Original
Journalist Katie Couric asked Democratic California Gov. Gavin Newsom on her podcast if being "ridiculously good-looking" was a problem for his image. Longtime journalist Katie Couric asked if Gov. Gavin Newsom, D-Calif., had a problem with being "ridiculously good-looking." During an interview on C…
thumbnail

White House Posts Video Mixing Real Iran Strikes With Call Of Duty Footage — And The Backlash Is Brutal

Source: huffpost — Published: 2026-03-05T20:42:23-0500 — Original
The White House is facing criticism after it posted a montage of clips from the popular video game series Call of Duty alongside what appeared to be real footage of the missile strikes in Iran — just days after the U.S. entered an armed conflict with the Middle Eastern country. The video posted by t…
thumbnail

Carville doubles down on urging Ilhan Omar to leave the Democratic party after she blasted White males

Source: foxnews — Published: 2026-03-05T20:35:06-05:00 — Original
During a SiriusXM interview with Stephen A. Smith, Veteran Democratic strategist James Carville doubled-down on past criticism of Rep. Ilhan Omar, warning it is not politically viable to alienate White males. Veteran Democratic strategist James Carville condemned Rep. Ilhan Omar, D-Minn., for attack…
thumbnail

The Totally Unexpected Way Canadian Icon And Diva "Anne Of Green Gables" Became A Cultural Phenomenon In Japan

Source: buzzfeed — Published: 2026-03-05T20:28:21.000Z — Original
Anne of Green Gables was the original Heated Rivalry. In this essay I will... Hi I'm Bella, an Aries sun, Pisces moon, Libra rising AND also BF Canada's entertainment host and celeb interviewer—a job I've been destined for ever since I forced my mom to help me write fan mail to Rosie O'Donnell at ag…
thumbnail

DOJ continues Biden autopen probe despite former president being unlikely to face charges

Source: foxnews — Published: 2026-03-05T20:25:04-05:00 — Original
Former Deputy Assistant Attorney General Tom Dupree discusses the Supreme Court's case on birthright citizenship, President Donald Trump's criticism of Cuellar and concerns over former President Joe Biden’s autopen pardons. The Department of Justice (DOJ) is continuing its investigation into former …
thumbnail

US restores diplomatic relations with Venezuela amid push for democratic transition

Source: foxnews — Published: 2026-03-05T20:22:38-05:00 — Original
Exclusive: FOX Business correspondent Edward Lawrence has the latest on Interior Secretary Doug Burgum's visit to Venezuela to forge rare earth mineral and energy deals on 'America Reports.' The United States and Venezuela’s interim authorities have agreed to re-establish diplomatic and consular rel…
thumbnail

Trump pays tribute to Lou Holtz after legendary football coach's death

Source: foxnews — Published: 2026-03-05T20:09:17-05:00 — Original
Legendary Notre Dame national championship-winning football coach Lou Holtz dies at age 89. President Donald Trump paid respects to late legendary football coach Lou Holtz Thursday after Holtz's death Wednesday at the age of 89.  Trump shared a tribute to Holtz in a Truth Social post.  Former Notre …
thumbnail

Operation Epic Fury destroys Iran's navy and cuts missile attacks by 90% in ongoing campaign

Source: foxnews — Published: 2026-03-05T19:58:35-05:00 — Original
CENTCOM Commander Adm. Brad Cooper says 30 ships were destroyed, B-2 bombers hit buried launchers and the next phase will dismantle Tehran’s missile production base. Secretary of War Pete Hegseth said Thursday that U.S. forces have delivered devastating blows to Iran’s military in the opening days o…
thumbnail

Trash Talk Can't Shatter Tucker Carlson's Love For Trump

Source: huffpost — Published: 2026-03-05T19:55:08-0500 — Original
Tucker Carlson says his fondness for President Donald Trump will never fade, despite being at odds over American foreign policy. Not long after Trump knocked Carlson as a Make America Great Again traitor during a Thursday interview, the former Fox News pundit told Status’ Oliver Darcy, “There are ti…
thumbnail

Logan Paul escalates Tom Brady feud, offers $1M to any NFL opponent willing to step into boxing ring

Source: foxnews — Published: 2026-03-05T19:41:17-05:00 — Original
Fox News Flash top sports headlines are here. Check out what's clicking on FoxNews.com. As his feud with Tom Brady over a flag football gama continues, Logan Paul says he’s willing to put his money on the line against any former or current NFL player.  Despite limited competitive boxing activity the…
thumbnail

Army reservist, 20, killed in Iranian drone strike in Kuwait spent final hours reassuring family: ‘I’m good’

Source: foxnews — Published: 2026-03-05T19:33:42-05:00 — Original
The family of Sgt. Declan Coady, 20, of West Des Moines, lowa, shared memories following his death Sunday in the war with Iran. (The Associated Press) Fallen U.S. Army Reserve Sgt. Declan Coady, 20, spent his final hours in Kuwait sending steady updates home to ease his family’s fears amid the war w…
thumbnail

Capitol Rioter Pardoned By Trump Sentenced For Molesting 2 Children

Source: huffpost — Published: 2026-03-05T19:28:11-0500 — Original
WASHINGTON (AP) — A Florida handyman who was sentenced on Thursday to life in prison for molesting two children had been convicted of storming the Capitol on Jan. 6, 2021, but was pardoned by President Donald Trump. Andrew Paul Johnson, 45, is among several Jan. 6 defendants who have been charged wi…
thumbnail

Aaron Rodgers appears to call out FBI Director Kash Patel for celebrating with US men's hockey team

Source: foxnews — Published: 2026-03-05T19:27:21-05:00 — Original
Rep. Seth Moulton, D-Mass., said Monday that FBI Director Kash Patel "does not love America," when asked about Patel attending the Winter Olympics in Italy and cheering on the U.S. Men's Hockey Team as they won gold after defeating Canada. Aaron Rodgers appeared to criticize FBI Director Kash Patel …
thumbnail

'Jeopardy' Host Ken Jennings Unleashes Sharp-Tongued Reply To Kristi Noem's Firing

Source: huffpost — Published: 2026-03-05T19:26:01-0500 — Original
“Jeopardy” host Ken Jennings fired off a sarcastic set of instructions for air travelers after news broke that President Donald Trump had fired Homeland Security Secretary Kristi Noem on Thursday. “If you’re at the airport, and Kristi Noem is doing the ominous little message from the TSA screens, yo…
thumbnail

$163K in fake medical bill charges, AI uncovers it for you

Source: foxnews — Published: 2026-03-05T19:23:19-05:00 — Original
Former Trump economic advisor Steve Moore joins 'Fox & Friends' to discuss the 'historic' White House meeting with AI leaders and how 'energy independence' is fueling both the tech revolution and U.S. military operations. Last summer, a man’s brother-in-law suffered a fatal heart attack. The hospita…
thumbnail

California man fires gun near school zone, barricades in home before surrendering to SWAT pantless

Source: foxnews — Published: 2026-03-05T19:19:34-05:00 — Original
Fox News Flash top headlines are here. Check out what's clicking on FoxNews.com. Footage captured a bizarre incident that unfolded in California Wednesday morning when an armed suspect surrendered to SWAT teams while wearing everything but pants.  The incident occurred in a Santa Clarita neighborhoo…
thumbnail

Drew Carey says misconceptions led him to ignore heart attack symptoms

Source: foxnews — Published: 2026-03-05T19:19:05-05:00 — Original
Fox News Flash top entertainment and celebrity headlines are here. Drew Carey said that he didn’t realize he was having a heart attack during the run of his ‘90s to early 2000s hit "The Drew Carey Show" because he believed the misconception that a person is supposed to clench their heart and fall do…
thumbnail

Planned Parenthood starts offering Botox and fillers to make up for lost Trump federal funding cuts

Source: foxnews — Published: 2026-03-05T19:00:58-05:00 — Original
Live Action president Lila Rose exposes Planned Parenthood's 'cash cow' role in cross-sex hormone therapy for minors in an undercover recording on 'The Will Cain Show.' A California Planned Parenthood affiliate is entering the cosmetic services market in what officials describe as an effort to stabi…
thumbnail

33 Things To Basically Transform Your Backyard Into A 5-Star Resort

Source: buzzfeed — Published: 2026-03-05T03:01:02.000Z — Original
We hope you love our recommendations! While every product is independently chosen by our editors, BuzzFeed and our publishing partners may collect a share of sales or other compensation from the links on this page. You can read more about how our affiliate partnerships work in our Editorial Standard…
thumbnail

Which Dog Is Best Suited For Your Personality And Lifestyle?

Source: buzzfeed — Published: 2026-03-04T10:16:04.000Z — Original
Something energetic like a border collie or something more low-key like a spaniel? Want to get your very own quizzes and posts featured on BuzzFeed’s homepage and app?
thumbnail

Winter Paralympics: Day-by-day guide

Published: 2026-03-02T13:52:35.814Z — Original
The Winter Paralympics will feature almost 660 athletes from 50 countries competing for 79 medals at Milan-Cortina. Competitors will take part in six sports - Para-Alpine skiing, Para-biathlon, Para-cross-country skiing, Para-ice hockey, Para-snowboard and wheelchair curling. Great Britain's team fe…
thumbnail

This 10-Question Quiz Will Reveal Which Famous Movie Romance Is Actually Your Future Love Story

Source: buzzfeed — Published: 2026-02-24T16:46:02.000Z — Original
Calling all Wuthering Heights fans… Is your future love story giving major Cathy-and-Heathcliff vibes? Want to get your very own quizzes and posts featured on BuzzFeed’s homepage and app?