yahoo Press
Brain-infecting worms, known as 'rat lungworm,' detected in San Diego County
Images
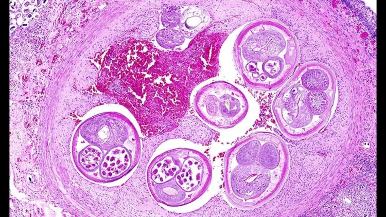
Brain-eating worms known as 'rat lungworm' have been found in San Diego County, the first time the parasitic worms have been found in any state west of Texas. According to new research from the CDC, the parasite, Angiostrongylus cantonensis, better known as rat lungworm, was first detected in a 7-year-old male parma wallaby at the San Diego Zoo in December 2024. The wallaby, according to the CDC, was experiencing neurological issues, including head shaking, blindness, and limb rigidity. The wallaby died 11 days following the diagnosis. Following the discovery, researchers began testing wild animals in and around the San Diego Zoo. From January 2025 through February 2025, researchers tested 64 dead wild rats at the Zoo. Three of the 64 rats tested positive for the lungworms. At the same time, wildlife rehabilitation programs contacted researchers, reporting illnesses in 10 Virginia opossums. The opossums were euthanized. Seven of the ten tested positive for the rat lungworm. The discovery in opossums and rats now leads researchers to believe the rat lungworms have a lasting foothold in San Diego County, with the potential to spread elsewhere. "Whereas [local infections] had not previously been documented in the United States west of Texas, identifying [rat lungworm] cases in wildlife in San Diego County provides support that A. cantonensis lungworm could now be considered endemic in this portion of southern California, with the potential to spread to other parts of the western continental United States," reads the CDC report. The CDC says rat lungworm can be fatal to humans and animals, but deaths are very uncommon. Researchers say the lungworm is typically contracted by animals or people who eat or handle frogs, small slugs, lizards, rats, and freshwater crabs and shrimp. The CDC recommends that residents wash fruits and vegetables thoroughly when rat lungworm is present. In a statement, a spokesperson from the California Department of Public Health said the agency did not participate in the CDC study and could not confirm the presence of rat lungworm in San Diego and throughout the state. The CDPH did, however, say the CDC findings show the presence of rat lungworm is possible. "The San Diego study affirms that the parasite can be introduced to California through movement of infected animals from endemic areas. Because some species of snails and slugs present in California are capable of serving as hosts for rat lungworm, and the presence of the parasite in other parts of the state is unknown, it is advised to take certain food safety precautions. Persons should not consume any raw or undercooked wild snails or slugs, and should thoroughly wash all produce before consuming," reads the CDPH statement to CBS 8. CBS 8 reached out to the County of San Diego for more information on the presence of rat lungworms in San Diego County. The article will be updated with the County's response. Watch: What is Rat Lungworm (Angiostrongylus) Disease?